(PDF) A case of primary lymphangiectasia of the small intestine associated with coeliac disease
А.Т.Камилова и др. / Вопросы детской диетологии, 2016, т. 14, №5, с. 65–69
66
и девочки болеют одинаково часто. Этиология заболевания
не выяснена, определенную роль играют наследственная
предрасположенность, сенсибилизация, пороки развития
лимфатической системы [1].
Для заболевания характерна повышенная потеря белка,
не только поступающего с пищей, но и белков плазмы крови
через эктазированные лимфатические сосуды слизистой
оболочки тонкой кишки. Потеря плазменного белка приво-
дит к возникновению полидефицитного состояния, проявля-
ющегося гипопротеинемией, гипоальбуминемией и лимфо-
пенией [4].
Кишечная лимфангиэктазия также ведет к нарушению
всасывания жиров, вследствие чего плохо усваиваются жиро-
растворимые витамины и ионы кальция [4]. Генез отечного
синдрома, в первую очередь, связан с низким онкоти ческим
давлением плазмы крови вследствие гипоальбуминемии [4].
Первичная интестинальная лимфангиэктазия в основном
диагностируется в раннем возрасте, реже – у пациентов
более старшего возраста [3]. Заболевание проявляется диа-
реей, стеатореей, гипотрофией и развитием отечного синд-
рома вследствие гипопротеинемии. Со стороны ЖКТ типич-
ны полифекалия, упорный неконтролируемый понос без
примеси крови, вздутие живота, тошнота [5]. У 80% больных
наблюдается хроническая диарея со стеатореей [6]. В ре-
зультате потери белка при его экссудации в просвет ЖКТ
появляются генерализованные отеки, хилезный асцит, хи-
лезный плеврит. Потеря белка плазмы приводит к снижению
содержания альбумина, иммуноглобулинов, уровня церуло-
плазмина, трансферрина, липидов. За счет потерь микроэ-
лементов развиваются остеопороз, гиповитаминоз, полиде-
фицитная анемия. У детей первичная интестинальная лим-
фангиэктазия может проявляться повышенной утомляемо-
стью, слабостью, абдоминальными болями, тошнотой, рво-
той, потерей массы тела, задержкой физического развития.
Описаны случаи ассоциации с целиакией [2].
Диагностика заболевания основана на наличии у больного
отечного синдрома, диареи со стеатореей, гипотрофии [1].
При биохимических исследованиях выявляют характерную
триаду признаков: гипопротеинемию, гипогаммагло булине-
мию с дефицитом IgA, IgM, IgG, гипокальциемию, в меньшей
степени – гиполипидемию [5]. Определение α1-антитрипсина
в кале является скрининг-тестом потери белка с калом [5].
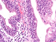
Эндоскопическое исследование является наиболее чувст-
вительным методом для подтверждения первичной лимфан-
гиэктазии. В двенадцатиперстной кишке видны белесоватые
участки – лимфангиэктазы типа «манной крупы», выступаю-
щие над слизистой оболочкой [5]. Результаты эндоскопи-
ческого исследования могут быть негативными, если пато-
логический процесс сегментарный или локализованный.
В этом случае информативна видеокапсульная эндоскопия,
которая может быть использована и у детей [2].
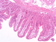
Решающим в диагностике является гистологическое ис-
следование биоптата тонкой кишки, которое выявляет рас-
ширение лимфатических сосудов в слизистом и подсли-
зистом слоях. Стенка мезентериальных лимфатических со-
судов утолщена, их мышечный слой гипертрофирован.
Лимфатические сосуды могут быть дилатированы во всех
ворсинках либо только в некоторых. Ни признаков атрофии,
ни микроорганизмов обычно не выявляют [3, 7].
Вспомогательное значение имеют ультразвуковое иссле-
дование и компьютерная томография, при которых можно
выявить диффузный отек и утолщение стенки тонкой кишки.
Лимфосцинтиграфия позволяет выявить аномалии лимфа-
тической системы [2].
Дифференциальную диагностику проводят с болезнями,
сопровождающимися отечным синдромом и сходными био-
химическими изменениями – нефротическим синдромом,
хроническим энтеритом, болезнью Менетрие [1].
Для исключения вторичной экссудативной энтеропатии
проводят диагностический поиск заболеваний, сопровожда-
ющихся лимфостазом в сосудах брыжейки. Причинами вто-
ричной лимфангиэктазии могут быть: абдоминальная или
ретроперитонеальная карцинома, констриктивный перикар-
дит, лимфома кишечника, болезнь Крона и неэрозивный
язвенный колит, туберкулез мезентериальных лимфоузлов,
саркоидоз, болезнь Уиппла, хронический панкреатит, скле-
родермия, СКВ, целиакия, пострезекционные синдромы
с ретроперитонеальным фиброзом, кишечный эндометриоз,
лимфентерическая фистула [5], ВИЧ-ассоциированная энте-
ропатия [2].
Терапия заключается в первую очередь в диетическом
питании. Исключается даже умеренно жирная пища, упот-
ребление которой приводит к учащению стула, что связано
с особенностями всасывания жиров – жирные кислоты, со-
держащие не более 10 атомов углерода (средне- и коротко-
цепочечные), поступают в кровь неэстерифицированном
виде, а длинноцепочечные преобразуются в ди- и триглице-
риды и в виде хиломикронов поступают в лимфу.
Это вы-
зывает еще большее расширение патологически увеличен-
ных лимфатических сосудов в ворсинках кишечника с про-
потеванием лимфы в просвет кишки [5]. Среднецепочечные
тригицериды абсорбируются непосредственно в воротную
вену, что позволяет избежать перегрузки лимфатических
сосудов кишечника и воспрепятствовать их перерастяжению
и разрыву [2], поэтому при лечении заболевания применяют
питательные смеси, обогащенные среднецепочечными три-
глицеридами, например «Humana HN mit MCT», «Нутрилон
Пепти Гастро»[8].
Использование диет, обогащенных среднецепочечными
триглицеридами, может улучшить клинические и биохимиче-
ские показатели. Эффективность этой диеты выше у детей,
чем у взрослых [7]. Пациентам, не отвечающим на низкожи-
ровую диету, может быть рекомендовано энтеральное пита-
ние элементными, полуэлементными и полимерными смеся-
ми. В некоторых случаях требуется полное парентеральное
питание [2].
Диета с низким содержанием жира назначается
постоянно, так как при ее отмене клинические проявления
болезни вновь рецидивируют. Учитывая наличие отеков,
в пище ограничивают количество соли. Диету обогащают
микроэлементами, особенно кальцием. Дополнительно на-
значают жирорастворимые витамины A, D, E.
Основным методом устранения гипопротеинемии являет-
ся длительное внутривенное введение белоксодержащих
растворов, в первую очередь альбумина и γ-глобулина.
Лечение проводят курсами 2–3 раза в год по 1 мес. [6].
Всем больным показаны препараты кальция, железа [6].
Для контроля диареи используют аналоги соматостатина,
например, октреотид, обладающий способностью к кратков-
Пример этиологического фактора хронической диареи у собаки
Лужецкая А.И., ветеринарный врач-терапевт. Ветеринарная клиника неврологии, травматологии и интенсивной терапии, г. Санкт-Петербург.
Пациент
Порода: лабрадор, возраст — 1 год 10 месяцев
Основные жалобы: постепенное снижение веса, диарея на протяжении трех недель.
Анамнез жизни: проживает в квартире, вакцинирован, последняя обработка от гельминтов проводилась 6 месяцев назад, кормление коммерческими кормами.
Анамнез болезни: два месяца назад обратились в стороннюю клинику после 3-недельной диареи. По совету ветеринарного врача в этот период давали животному бисептол и но-шпу, преднизолон. Аппетит периодически отсутствовал, бывала рвота после еды или питья. Начал худеть, за последний месяц потерял около 7 кг.
По результатам лабораторных тестов, проведенных ранее, отмечено наличие гипоальбуминемии, умеренное повышение уровня трансаминаз и лейкоцитов.
На данный момент вес снижается, при этом аппетит сохранен, диарея (чередуется кашицеобразный и жидкий кал) 4 раза в день, желтоватого цвета, слизи и крови в кале нет.
Рвоту не замечали. В настоящее время ест гастроинтестинальный корм. Трижды проводилось паразитологическое исследование кала, по результатам которого не обнаружены яйца гельминтов и простейших.
Данные осмотра
В результате физикального осмотра обнаружены бледные слизистые оболочки, выраженная кахексия. При пальпации брюшной стенки наблюдается болезненность в области мезогастрия.
Проведённые исследования
УЗИ брюшной полости: свободная жидкость лоцируется диффузно по всей брюшной полости. Печень на 3 см выступает за пределы реберной дуги, гиперэхогенна, диффузно однородна. Стенка тонкого кишечника утолщена до 7 мм, перистальтика усилена на всем протяжении.
Ультразвуковые признаки стероидного гепатита, воспалительного заболевания кишечника.
Результаты ПЦР на возможные инфекционные заболевания — отрицательно (табл.2).
Было принято решение о проведении минилапаротомии с целью забора биоптатов толстого и тонкого отделов кишечника для гистологического исследования.
Таблица 1. Измененные биохимические показатели.
|
|
|
|
|
|
|
|
|
|
|
|
|
|
|
|
|
|
|
|
|
|
|
|
|
|
|
|
|
|
|
|
|
|
|
|
|
|
|
|
|
|
|
|
|
|
|
|
Таблица 2.
Результаты ПЦР.
|
|
|
|
|
|
|
|
|
|
|
|
|
|
|
Лечение: энтеросорбент, ингибитор протонной помпы, лечебная противопаразитарная обработка, фармазин.
Терапия вторичного гепатита не проводилась.
Гистологический диагноз
Рис 2. Анкилостомы данного пациента.
Двенадцатиперстная кишка, тонкая кишка: млечные капилляры слизистой диффузно расширены и окружены небольшими количествами макрофагов, нейтрофилов, лимфоцитов и плазмоцитов. Собственная пластинка диффузно инфильтрована многочисленными плазмоцитами и лимфоцитами, а также наблюдается отек слизистой. Кишечные железы расширены, заполнены базофильным пенистым материалом и иногда содержат внутриэпителиальные лимфоциты. Поверхностный эпителий во многих очагах поврежден.
Толстая кишка: собственная пластинка диффузно инфильтрована слегка увеличенными количествами плазмоцитов и лимфоцитов, также наблюдается отек слизистой.
Морфологический диагноз:
-
Двенадцатиперстная кишка, тонкая кишка: энтерит, лимфоплазмоцитарный, диффузный, хронический, сильный, сопровождается лимфангиэктазией слизистой.
-
Толстая кишка: колит, лимфоплазмоцитарный, диффузный, хронический, легкий.
Комментарий: изменения в присланных тканях соответствуют сильному лимфоплазмоцитарному энтериту, сопровождающемуся с лимфангиэктазией слизистой. Это частично соответствует “кишечной лимфангиэктазии собак”, однако патолог не обнаружил твердых доказательств воспаления лимфатических сосудов (лимфангита), что является признаком этого синдрома. Учитывая макрокартину в кишке и сальнике вместе с признаками энтерита, можно предположить, что это — случай “кишечной лимфангиэктазии» у собаки.
После второй лечебной обработки фенбендазолом в стандартной дозировке владелица обнаружила в фекалиях животного подвижных гельминтов до 15 мм. Длинной, после чего состояние пациента значимо улучшилось, появилась положительная динамика.
Мы не можем доподлинно утверждать, что именно паразиты явились причиной подобного состояния собаки, однако, исходя из клинической картины, наиболее вероятно, что именно они стали фактором, запустившим и поддерживающим патологический процесс в кишечнике данного пациента.
Рис. 3. Собака через месяц после выздоровления. Постепенное возвращение в нормальную физическую форму.
Клинический диагноз: «лимфоцитарно-плазмоцитарный энтероколит на фоне анкилостомоза, осложненный вторичной лимфангиэктазией и стероидным гепатитом».
Гипокальциемия у таких пациентов возникает не только на фоне снижения ионизированного кальция, связанного с белками плазмы, но и в связи с нарушение всасывания витамина D и кальция.
Формирование нейтрофильного инфильтрата может быть следствием проникновения бактерий через разрушенный барьер слизистой оболочкой кишечника из-за присутствия эрозийного или язвенного поражения. По этой причине не рекомендуется применение иммуносупрессивных препаратов.
Заключение
Анкилостомоз – крайне редкое для нашей страны заболевание собак, кошек и людей. Наиболее частый путь заражения этими гельминтами – через подушечки лап на прогулке и при поедании земли, а также возможна передача с молоком матери.
Развитие болезни возможно в любом возрасте животного, но более склонны к заболеванию молодые собаки (до 2 лет). В связи с этим важны регулярные (не менее одного раза в 3 месяца!) противопаразитарные обработки животного, ведь любую болезнь желудочно-кишечного тракта проще профилактировать, чем лечить.
Лимфангиэктазии — Lymphangiectasia — qaz.wiki
Лимфангиэктазия , также известная как «лимфангиэктазия», представляет собой патологическое расширение лимфатических сосудов. Когда это происходит в кишечнике собак и, реже, человека, это вызывает заболевание, известное как «кишечная лимфангиэктазия». Это заболевание характеризуется расширением лимфатических сосудов , хронической диареей и потерей белков, таких как сывороточный альбумин и глобулин . Считается, что это хроническая форма энтеропатии с потерей белка .
Признаки и симптомы
Хроническая диарея почти всегда сопровождается лимфангиэктазией, но большинство других признаков связаны с низким уровнем белка в крови ( гипопротеинемия ), что вызывает низкое онкотическое давление .
Эти признаки включают асцит , плевральный выпот и отек конечностей и туловища. Потеря веса наблюдается при длительном течении болезни.
Причина
Биопсии из тонкой кишки шоу дилатации млечных в ворсинках и растяжение из лимфатических сосудов . Снижение лимфотока приводит к синдрому мальабсорбции тонкой кишки, особенно жиров и жирорастворимых витаминов . Разрыв лимфатических сосудов вызывает потерю белка в кишечнике.
Наиболее частой причиной лимфангиэктазий были врожденные аномалии лимфатических сосудов. Вторичная лимфангиэктазия может быть вызвана гранулемами или раком, вызывающим лимфатическую обструкцию, или повышенным центральным венозным давлением (ЦВД), вызывающим аномальный лимфодренаж. Повышенное ЦВД может быть вызвано перикардитом или правосторонней сердечной недостаточностью . Воспалительное заболевание кишечника также может приводить к воспалению лимфатических сосудов и лимфангиэктазии из-за миграции воспалительных клеток через лимфатические сосуды.
Диагностика
Диагноз ставится на основании биопсии. Наличие гипопротеинемии, снижение лимфоцитов крови и снижение холестерина подтверждают диагноз. Гипокальциемия (низкий уровень кальция ) также наблюдается из-за плохой абсорбции витамина D и кальция, а также из-за низкого связывания кальция с белками. Медицинское ультразвуковое исследование может показать полосы на слизистой оболочке кишечника, указывающие на расширенные млечные железы.
лечение
Лечение многофакторное. Очень важно соблюдать диету с очень низким содержанием жиров и высоким содержанием белка. Ограничивая потребление жира собакой, уменьшается количество образующейся кишечной лимфы, что также снижает давление в этих поврежденных протоках. Меньшее давление означает меньшую утечку лимфы и уменьшение симптомов. В рационе собак с лимфангиэктазией не должно быть более 20% калорий, поступающих из жира. Лечение людей также может включать использование масла MCT ( триглицериды со средней длиной цепи ) и / или лекарственного средства октреотида .
У собак следует принимать жирорастворимые витамины ( A , D , E и K ). Лечение кортикостероидами может потребоваться пожизненно. Для лечения избыточного бактериального роста можно использовать антибиотики . С очень низкой сывороточного альбумина , переливание с плазмой крови или вливания гетакрахмалов может быть необходимо лечить симптомы , пока диета не может вступить в силу. Лимфангиэктазия редко поддается лечению, но может оставаться в стадии ремиссии в течение длительного времени. Отсутствие реакции на лечение может привести к летальному исходу.
У животных
Породы собак, обычно страдающие от лимфангиэктазии и / или энтеропатии с потерей белка, включают мягкошерстных пшеничных терьеров , норвежских лундехундов , басенджи и йоркширских терьеров .
Рекомендации
внешние ссылки
<img src=»https://en.wikipedia.org//en.wikipedia.org/wiki/Special:CentralAutoLogin/start?type=1×1″ alt=»» title=»»>
Энтеропатии с потерей белка
При подозрении на потерю белка, обусловленную любой причиной, необходимо измерять концентрации альбумина в сыворотке, а не общую концентрацию белка.
Не обращайтесь в клинические лаборатории, которые специализируются на исследовании анализов у людей, поскольку их технология иногда не обнаруживает собачий альбумин; это означает, что они постоянно будут сообщать о концентрациях альбумина в сыворотке
В целом, если исключены тяжелое экссудативное кожное заболевание, нефропатия с потерей белка и печеночная недостаточность, то ЭПБ является разумным предварительным диагнозом исключения у пациентов с концентрацией альбумина в сыворотке
Возможно, самым важным моментом данной дискуссии является то, что (многократно сообщалось), хотя гипоальбуминемия и является плохим прогностическим признаком у пациентов с хроническим заболеванием ЖКТ, все же существуют одна или несколько подгрупп пациентов, хорошо реагирующих на соответствующую терапию. Поэтому диагноз «ЭПБ» не должен являться поводом для отчаяния. Тем не менее, поскольку многие из этих животных имеют тяжелое заболевание пищеварительного тракта, которое необходимо быстро диагностировать, чтобы максимизировать вероятность успешной терапии, правильной рекомендацией обычно является использование агрессивных диагностических мероприятий.
Хотя вместо классических диагностических анализов при многих распространенных заболеваниях пищеварительного тракта (например, при пищевой аллергии, пищевой непереносимости, антибиотик-реактивной энтеропатии, паразитах) может быть выбрано пробное лечение, такой подход обычно не рекомендуют, если концентрация альбумина в сыворотке ниже 2,0 г/дл. Это правильно, поскольку может потребоваться проведение пробной антибиотикотерапии и/или диетотерапии в течение 3-6 недель, чтобы убедиться в ее эффективности, а пациенту с тяжелой ЭПБ за это время станет гораздо хуже, особенно если концентрация альбумина в сыворотке быстро снижается.
Любое желудочно-кишечное заболевание может вызвать ЭПБ, если оно является достаточно тяжелым. Многие острые желудочно-кишечные заболевания вызывают ЭПБ (например, парвовирусный энтерит), однако эти заболевания обычно лечить сравнительно легче, чем хроническое желудочно-кишечное заболевание, вызвавшее ЭПБ. Поэтому центром внимания в данной статье является ЭПБ у животных с хроническими заболеваниями ЖКТ.
Основными причинами ЭПБ у взрослых собак являются кишечная лимфангиоэктазия, воспалительное заболевание кишечника (ВЗК), лимфома пищеварительного тракта (ЛПТ) и грибковые инфекции (гистоплазмоз и фитиоз). Другими причинами являются язвы и эрозии пищеварительного тракта, тяжелое заболевание кишечных крипт, антибиотик-реактивная энтеропатия и паразиты. Основными причинами ЭПБ у молодых собак, по-видимому, являются паразиты и хроническая инвагинация. У кошек с ЭПБ обычно имеются ВЗК или лимфома пищеварительного тракта.
У многих собак с ЭПБ имеется гипохолестеролемия. У домашних животных, имеющих нефропатии с потерей белка, обычно присутствует гиперхолестеролемия, тогда как у животных с печеночной недостаточностью часто имеется гипохолестеролемия. Целесообразны исследования кала на паразитов. Хотя паразиты являются нечастой причиной ЭПБ у взрослых животных, домашние животные в избранных средах (например, в замкнутых помещениях, где велик риск повторного инфицирования пациентов) могут подвергаться значительным паразитарным нагрузкам.
Диагностический подход к пациенту
После того как диагностирована ЭПБ, основным средством для подтверждения диагноза является биопсия кишечника. Биопсию можно выполнить посредством лапаротомии, лапароскопии или эндоскопии. Скармливание небольшого количества жирной пищи (используйте не сухой, а баночный корм с добавлением в него сливок или кукурузного масла) вечером перед процедурой может (?) облегчить диагностику лимфангиоэктазии. Для получения диагностических образцов обычно более чем достаточно гибкой эндоскопии, выполненной специалистом, умеющим получать диагностические образцы тканей и интерпретировать их. Однако, если эндоскопию используют для биопсии тонкого кишечника, предпочтительно сначала провести ультразвуковое исследование брюшной полости, чтобы убедиться в отсутствии фокальных инфильтратов, расположенных за пределами досягаемости эндоскопа или диагностируемых с использованием тонкоигольной аспирации под контролем ультразвука. Кроме того, существуют ультрасонографические изменения (исчерченность подслизистой оболочки), которые могут быть диагностическими.
Рентгеновские снимки и серийные снимки с барием редко являются такими же чувствительными, как ультразвук. Если выполняется гибкая эндоскопия, то необходимо биопсировать двенадцатиперстную и подвздошную кишку. Было много случаев, когда лимфангиоэктазия, ВЗК или лимфосаркома были очевидными в подвздошной, а не в двенадцатиперстной кишке. Нет необходимости проникать в подвздошную кишку эндоскопом, чтобы получить хорошие образцы ткани ее слизистой оболочки.
Лапаротомия и лапароскопия являются хорошими способами получения диагностических образцов, но благодаря использованию этих методов можно неожиданно легко получить недиагностические образцы (т.е. «образец на всю толщину стенки кишечника» не является синонимом «диагностического образца»). Эндоскопия обладает преимуществом, так как позволяет визуализировать те повреждения слизистой оболочки, которые являются «невидимыми» при изучении серозной оболочки. В некоторых случаях диагноз можно поставить только на основании биопсии этих фокальных повреждений.
Если у животных с тяжелой гипоальбуминемией получают биоптаты на всю толщину стенки кишечника, то трансплантат в виде заплаты на серозную оболочку минимизирует риск утечек по линии шва. Кроме того, следует использовать неабсорбируемый или плохо абсорбируемый шовный материал (PDS).
Кишечная лимфангиоэктазия
Кишечная лимфангиоэктазия наиболее часто встречается у йоркширских терьеров и мягкошерстных пшеничных терьеров, но может возникнуть у собак любых пород. Иногда у этих собак обнаруживают определенные ультрасонографические результаты: «стейки» в слизистой, которые представляют собой расширенные лимфатические сосуды. Хотя гистопатология явно является желательным диагностическим средством, иногда можно поставить дефинитивный диагноз на основании макроскопических изменений, обнаруживаемых при эндоскопии (т.е. многочисленные рассеянные, наполненные жидкостью млечные сосуды, выглядящие как большие белые пузыри на слизистой). Эти поражения могут разрушаться при их биопсировании (как эндоскопическом, так и хирургическом), если эндоскопист или хирург недостаточно опытен.
Важно учесть, что лимфангиоэктазия может быть относительно локализованным заболеванием в кишечнике, представленным только в подвздошной, только в тощей или только в двенадцатиперстной кишке, поэтому важно биопсировать как можно большее число отделов желудочно-кишечного тракта. Кроме того, если проведена биопсия кишечника и не выявлена причина ЭПБ, то иногда предположительный диагноз «лимфангиоэктазия» может быть поставлен методом исключения ВЗК, лимфомы, паразитов, инвагинации, грибковых инфекций и т.п.
Диагностика посредством эндоскопической биопсии, несомненно, возможна в том случае, если эндоскопист обучен брать высококачественные образцы тканей. Однако недавно опубликованная работа показала, что некачественные биоптаты слизистой оболочки (т.е. преимущественно содержащие кончики микровилл или со значительным артефактом «сжатия») очень затрудняют или делают невозможным обнаружение поражений. При получении высококачественных биоптатов (т.е. на всю длину микровилл плюс слизистая оболочка, лежащая под микровиллами, до границы слизистой оболочки и мышечной пластинки слизистой оболочки) обычно необходимо 6-7 образцов тканей, чтобы иметь 90-99%-ю уверенность в обнаружении лимфангиоэктазии.
Для сравнения: чтобы достичь того же уровня надежности, необходимо взять в 5-7 раз больше образцов ткани, если вы получаете некачественные образцы тканей, преимущественно состоящие из кончиков микровилл.
При выполнении эндоскопии важно, чтобы в дополнение к типичным биоптатам двенадцатиперстной кишки были взяты биоптаты подвздошной кишки. Мы выяснили, что биоптаты подвздошной кишки часто выявляют поражения, не обнаруженные в биоптатах двенадцатиперстной кишки. Это имеет место в случае лимфангиоэктазии, а также лимфомы и других поражений. При достаточном опыте эндоскопист способен получать биоптаты подвздошной кишки в течение по меньшей мере 85% времени. Часто биоптаты подвздошной кишки имеют более высокое качество, чем биоптаты двенадцатиперстной кишки.
Лечение лимфангиоэктазии кишечника сводится к диете с ультранизким содержанием жира, предпочтительно совместно с противовоспалительной терапией, направленной на предотвращение образования липогранулемы, которая обычно возникает в стенке кишечника и/или брыжейке.
Можно рекомендовать добавление в рацион триглицеридного масла со средней длиной цепей (МСТ), поскольку MCT-масло предположительно обходит кишечные лимфатические сосуды, предотвращая дальнейшее повреждение млечных сосудов. Часто в рацион добавляют панкреатические ферменты, чтобы обеспечить переваривание триглицеридного масла со средней длиной цепей. Сейчас МСТ-масло используют редко, по-видимому, из-за того, что соответствующей диетотерапии обычно более чем достаточно. Кормление пищей, приготовленной в домашних условиях, которая хорошо переваривается и содержит очень мало жира (например, белым мясом индейки с картофелем или рисом), или коммерческими кормами часто очень помогает таким пациентам. Коммерческие корма с низким содержанием жира можно использовать с большим успехом, но они должны иметь минимально возможное содержание жира. Данная диета может принести такую пользу, что ее иногда можно использовать в качестве пробного лечения. Очень важно правильно подобрать корм для собак с нужным содержанием жира.
У собак с лимфангиэктазией часто обнаруживается заметное возрастание концентрации альбумина в сыворотке через 7-14 дней после начала этой диеты.
Значение липогранулем в стенке кишечника и брыжейке остается неясным. Однако была выдвинута гипотеза о том, что некоторые пациенты не реагируют на соответствующую диетотерапию из-за образования очень крупных или многочисленных липогранулем, которые настолько сильно закупоривают лимфатические сосуды кишечника, что даже диета с ультранизким содержанием жира не может предотвратить разрыв млечных сосудов. Поэтому после постановки диагноза «лимфангиоэктазия» (гистологически, макроскопически, при эндоскопии или экспериментально – по реакции на диету с ультранизким содержанием жира) целесообразно использовать противовоспалительную терапию, направленную на предотвращение образования или увеличения гранулем. С этой целью обычно используют преднизолон, азатиоприн и/или циклоспорин. Я не люблю преднизолон из-за побочных эффектов, которые он оказывает на этих пациентов.
Если вы используете циклоспорин, то необходимо измерять концентрации этого лекарственного средства в крови. Существуют большие различия между пациентами в количестве препарата, всасываемого в кишечнике; кроме того, биодоступность продукта может меняться по мере заживления кишечника.
Если уровень альбумина в сыворотке очень низок (≤ 1,3 г/дл), часто возникает искушение произвести переливание плазмы в процессе ожидания эффекта, который окажет диета. Однако очень трудно повысить концентрацию альбумина в сыворотке посредством переливаний плазмы больным ЭПБ, поскольку альбумин быстро выводится из кишечника. Нужно будет ввести по меньшей мере две единицы плазмы собаке, масса которой равна 15 фунтам, чтобы увеличить концентрацию альбумина в сыворотке с 1,0 г/дл до 1,8 г/дл, а иногда вам придется ввести 3-4 единицы. Если критично повысить онкотическое давление плазмы, то предпочтительным может быть введение гетакрахмала, поскольку он стоит дешевле плазмы и остается во внутрисосудистом компартменте дольше, чем альбумин.
У таких пациентов может быть повышен риск гипомагниемии, которая может потенцировать проблему гипокальциемии. В настоящее время мы не знаем, насколько важно вводить магний пациентам, однако тяжелую гипомагниемию можно устранить посредством инфузии сульфата магния с постоянной скоростью. Неожиданно оказалось, что октреотид может помочь некоторым пациентам, не реагирующим на стандартную терапию.
Повреждения крипт
Общепризнано, что повреждения кишечных крипт у собак связаны с ЭПБ. Мы идентифицировали два различных вида повреждений крипт тонкого кишечника, которые могут вызвать ЭПБ. Один тип характеризуется криптами (обычно в двенадцатиперстной кишке), которые заполнены и несколько растянуты белковой жидкостью и некротическими воспалительными клетками. Хотя такие расширенные крипты можно обнаружить у многих животных, включая клинически нормальных собак, обнаружение больших количеств таких крипт во многих образцах ткани, по-видимому, устойчиво связано с ЭПБ. Мы не знаем, имеется ли здесь причинно-следственная связь, или расширенные крипты просто являются маркером какого-то другого процесса, а не самостоятельно вызывают потерю белка.
Некоторые из таких пациентов реагируют на лечение элементными диетами, полностью парентеральное питание, преднизолон, азатиоприн и/или метронидазол. Мы видели такие повреждения, связанные с ВЗК и лимфангиоэктазией (в частности, у йоркширских терьеров).
Второй тип повреждения крипт, который, вероятно, является менее частым, чем первый, характеризуется фокальными скоплениями слизи, вызывающей массивное расширение крипт. Такое явление было однократно описано ранее, и мы встретились с двумя такими случаями. Наиболее важным диагностическим аспектом является тот факт, что повреждение может быть фокальным, выглядящим как язва, если рассматривать слизистую оболочку кишечника через эндоскоп. Успешным может быть лечение, сходное с тем, которое используется у животных с другой формой повреждения крипт. Мы применяли циклоспорин, но не знаем, был ли вызван клинический ответ этим препаратом или другими лекарственными средствами, которые получал пациент.
Подобные повреждения описывают редко.
Недавно проведенное исследование показало, что эти повреждения очень легко пропустить, если получены эндоскопические биоптаты плохого качества, состоящие преимущественно из кончиков микровилл. Если 7-12 высококачественных образцов тканей (то есть, на всю длину микровилл плюс слизистая оболочка, лежащая под микровиллами, до уровня мышечной пластинки слизистой) позволяют обнаружить эти повреждения с 90-99%-ой надежностью, то в случае образцов плохого качества, состоящих из кончиков микровилл, потребуется примерно в 7 раз больше образцов.
Хроническая инвагинация
Хроническая инвагинация является относительно важной и часто не учитываемой причиной ЭПБ у молодых животных. Классическим анамнезом является острый энтерит (например, парвовирусный энтерит), который не разрешается так, как этого ожидали. Однако, хотя пациент чувствует себя немного лучше, у него все же сохраняется диарея, а концентрация альбумина в сыворотке постепенно снижается. Бывает очень трудно пропальпировать подвздошно-ободочную инвагинацию; поэтому предпочтительным способом диагностики инвагинации является ультразвуковое исследование брюшной полости.
Лечение хирургическое.
Паразиты
Хотя и довольно редко, но ЭПБ у взрослых животных могут вызывать нематоды, если они присутствуют в больших количествах. В частности, власоглавы и анкилостомы могут иногда быть ответственными за ЭПБ у пожилых собак. У людей в качестве причины ЭПБ описан лямблиоз.
Антибиотик-реактивная энтеропатия (АРЭ)
Мы полагаем, что первыми назвали АРЭ в качестве причины ЭПБ у собак. В настоящее время у нас есть несколько пациентов, у которых концентрация альбумина в сыворотке заметно выросла после антибиотикотерапии. Однако, поскольку у этих пациентов одновременно с антибиотикотерапией часто менялась диета, то причинно-следственные связи точно не установлены.
Энтеропатии с потерей белка у соба – статья о лечении животных ИВЦ МВА
Ветер Д.С. – руководитель терапевтического отделения ИВЦ МВА, ветеринарный врач, специалист визуальной диагностики.
Бобровский М.
А. – ветеринарный врач-терапевт ИВЦ МВА соискатель кафедры ветеринарной хирургии.
Масимов Эдуард Нусратович — ветеринарный врач ИВЦ МВА , дерматолог, эндокринолог, терапевт, кандидат биологических наук.
Энтеропатии с потерей белка (PLE) — это синдром, характеризующийся хронической потерей белка в просвет желудочно-кишечного тракта животных. PLE достаточно редко встречается у человека, однако это довольно распространенное осложнение, встречающееся у собак и намного реже у кошек. Наиболее подверженными к данному синдрому породами собак являются: йоркширские терьеры, ротвейлеры, немецкие овчарки, норвежские лундехаунды, золотистые ретриверы, басенджи, боксеры, ирландские сеттеры, пудели, мальтезы и шарпеи.
Авторы статьи не выявили достоверной корреляции PLE с определенным полом и возрастом животных. Однако в одном исследовании сообщалось, что в 61% случаев PLE у йоркширских терьеров, это были самки; средний возраст животных составлял 7.
7 ± 3.0 лет.
Как правило, данный синдром может развиться на фоне первичных воспалительных заболеваний кишечника (лифоцитарно-плазмоцитарного, эозинофильного энтерита и д.р.), лимфангиэктазии, лимфомы кишечника, грибкового поражения (гистоплазмоза), острого бактериального или вирусного энтеритов, аутоиммунных заболеваний кишечника и некоторых других патологических процессах. При этом клиническая картина может выглядеть несколько вариабельно, в зависимости от этиологии заболевания. Среди общих клинических признаков, отражающих наличие PLE, можно выделить следующее:
-
Хроническую, реже острую, диарею. -
Разной степени выраженности кахексию. -
Хроническую рвоту. (Рвота — достаточно частый симптом. Однако она может отсутствовать у некоторого процента пациентов или присутствовать на сравнительно поздних этапах заболевания). -
Ухудшение или полное отсутствие аппетита. -
Периферические отеки конечностей.
-
Наличие асцита, в более редких случаях гидроторакса.
Последние два симптома, обусловлены снижением онкотического давления крови, вследствие гипоальбуминемии (15-25 г/л). Животные с хронической диареей и рвотой, при несвоевременном обращении владельцев, могут поступать с симптомами анемии (от умеренной до ярко выраженной), дегидратации, гиповолемии/гиповолемического шока. Одышка и признаки дыхательной недостаточности могут наблюдаться у пациентов со скоплением значительного количества жидкости в грудной полости. Пальпация может выявить от умеренной до выраженной болезненность брюшной стенки, признаки флуктуации, объемные образования. В ходе проведения аускультации, возможно выявление признаков гидроторакса в виде приглушения звуков сокращения сердца. Следует отметить, что не у всех собак с PLE, присутствует выраженные клинические признаки; единственными симптомами могут быть снижение веса и гипоальбуминемия.
Во всех случаях гипоальбуминемии, с характерными для PLE клиническими признаками, проводимая диагностика должна быть достаточно агрессивной т.
к. этиология синдрома разнообразна, а детальная проработка и исключение каждого заболевания по отдельности, а также оценка результативности эмпирически-назначенной терапии может занять достаточно много времени. Первой диагностической задачей, является установление причины потери белка. Исследование кожи необходимо для исключения поражений, способных привести к потере белка. Как правило, поражения кожи способные вызвать гипоальбуминемию, достаточно очевидны при первичном осмотре (например ожоги большой площади). Быстрый осмотр позволяет выяснить, действительно ли кожа является причиной гипоальбуминемии.
Следующим этапом диагностики является исключение нарушения синтеза альбумина печенью и потеря белка с мочой, вследствие нефропатий. Необходимо получить образцы мочи для проведения общего клинического анализа и оценки соотношения белок-креатинин, с целью установления факта протеинурии. В случае наличия серьезной нефропатии, у собак может наблюдаться разной степени выраженности азотемия.
Исследование функции печени, должно включать определение уровня желчных кислот.
Концентрация аминотрансфераз зачастую возрастает при разрушении гепатоцитов, однако интерпретация значений активности АЛТ, АСТ, ГГТ и ЩФ, должны проводиться с осторожностью, так как у некоторых собак с тяжелыми, хроническими заболеваниями печени, не отмечается высокого уровня гепатоцеллюлярных ферментов. Уровень глобулинов может сохранятся на нормальном уровне или быть незначительно повышен например в случае гистоплазмоза. Абсолютная гипопротеинэмия встречается реже, в основном на поздних стадиях заболевания.
Гиперхолестеринемия в сочетании с гипоальбуминемией, более характерна для PLE (вторично к хронической мальабсорбции) или печеночной недостаточности. В тоже время гиперхолестеринемия в в сочетании с гипоальбуминемией, наводит на мысли о потери белка вследствие нефропатии. Снижение уровня сывороточного кальция (общего и ионизированного) имеет многофакторную этиологию, ассоциированную со снижением альбумина как основного транспортного белка, снижением усвоения витамина D и нарушением усвоения магния.
В клиническом анализе крови может наблюдаться лимфопения, особенно в случаях лимфангиэктазии; достаточно часто можно встретить признаки регенераторной, анемии, вследствие снижения усвоения железа и цианокобаламина.
Рис 1. Биохимический анализ крови
Рис 2. Клинический анализ крови
После исключения нарушений функций печени или заболеваний почек, при концентрации альбумина 15-25≤ г/л, PLE является разумным первичным диагнозом. Измерение ингибитора α1-антитрипсина (α1-протеазы) в образцах кала, может использоваться для дальнейшего подтверждения PLE. α1-антитрипсин имеет молекулярный вес, сходный с альбумином. Этот белок находиться в сосудистом и интерстициальном пространстве, в лимфе. В отличие от альбумина и других белков плазмы, α1-антитрипсин способен противостоять разложению кишечными и бактериальными протеазами. При PLE, могут наблюдаться потери α1-антитрипсина в просвет кишечника и выведение его с калом, что может быть определено методом иммуноферментного анализа.
Данный тест достаточно трудоемок в плане соблюдения точной методологии забора, хранения и транспортировки образцов. Определение α1-антитрипсина в кале, является полезным исследованием как для непосредственной диагностики PLE, так и для уточнения диагноза в случае сочетанного течения PLE с печеночной недостаточностью или нефропатией. Однако интерпретация результатов данного исследования может вызвать определенные сложности. В целом этот тест редко используется в клинической практике. На территории РФ, данное исследование не проводится.
“Золотым стандартом” PLE, является определение количества меченого изотопом хром-51 альбумина в кале, после его внутривенного введения. Практическое применений данного теста, также ограничено.
Последующая диагностика должна быть направлена на выявление этиологии текущей энтеропатии. Проведение рентгенологических исследований, в том числе рентгеноконтрастных исследований ЖКТ, как правило являются мало информативными. Ультразвуковая диагностика является полезным исследованием для обнаружения специфических изменения кишечной стенки.
Например утолщение стенки кишечника и наличие гиперэхогенных полос в подслизистом слое может свидетельствовать о наличии лимфангиэктазии. Еще более выражено эти признаки наблюдаются в случае приема жирной пищи накануне исследования, что приводит к большему расширению лимфатических сосудов стенки кишечника. Ультразвуковая диагностика может выявить очаговые изменения, не доступные для эндоскопической визуализации.
Исследование кала может выявить наличие яиц паразитов или простейших. Судановое окрашивание кала используется для определения стеатореи, что указывает на плохое усвоение жиров. Цитологическое исследование мазков фекалий может выявить гифы грибов.
Окончательный диагноз устанавливается после забора биоптатов для проведения гистологического исследования. Биопсия может быть выполнена посредством ЭГДС, лапаротомии или эндоскопически-ассистированной лапаротомии. Выбор того или иного метода забора биопсии зависит от многих факторов,таких как наличие эндоскопических навыков, наличие данных о вероятной локализации патологического очага, наличия необходимого эндоскопического оборудования и д.
р.. Из преимуществ проведения лапаротомии, можно выделить возможность полнослойного забора биоптата а также возможность забора материала из нескольких сегментов кишечника, недоступных в случае применения гибкой эндоскопии. Однако понятие “полнослойный материал” не является синонимом “диагностически значимый”. Большое внимание должно быть уделено наложению серозно-мышечных швов, которые в случае PLE, могут представлять угрозу из-за длительной регенерации, и угрозы несостоятельности шва.
Во многих случаях очаги поражения невозможно увидеть со стороны серозной оболочки а т.к. некоторые причины PLE могут быть локально расположены в разных отделах кишечника, важно иметь возможность визуализировать их со стороны слизистой оболочки. В случае же забора материала во время проведения гибкой эндоскопии, возможно выявить характерные изменения слизистой оболочки кишечника и провести точечный забор материала. Забор материала нужно осуществлять из нескольких отделов кишечника, стараясь взять не менее 5-6 образцов из двенадцатиперстной и подвздошной кишки (по данным Willard, M.
, статистически, данный отдел кишечника наиболее часто вовлекается в патологический процесс приводящий к развитию PLE). Несмотря на то, что окончательный диагноз будет поставлен на основании патоморфологии, в некоторых случаях можно поставить предварительный диагноз (как в случае лимфангиэктазии) опираясь на характерные изменения слизистой оболочки, обнаруживаемые при эндоскопическом исследовании (многочисленные, диффузные, расширенные лимфатические сосуды, могут быть визуализированы как большие белые везикулы на слизистой оболочке). Признаки дилатации лимфатических сосудов, лучше визуализируются при скармливании жирной пищи перед проведением исследования.
Стратегия лечения PLE основывается на выборе адекватной нутрицептивной терапии и контроле уровня воспаления. В случае постановки диагноза на ранних стадиях диагностики, при выявлении очевидных патогенетических факторов (наличие в образцах кала простейших, яиц гельминтов или выявление возбудителей парво/ коронавирусного энтеритов в ректальных смывах), необходимо сосредоточить внимание на лечении выявленной патологий согласно действующим рекомендациям.
Животные поступившие с нестабильными показателями гемодинамики, в состоянии шока, нуждаются в проведении интенсивной терапии. Классический подход к проведению интенсивной терапии животным с гиповолемическим шоком (особенно в случае наличия выпота в анатомические полости или периферическими отеками мягких тканей, свидетельствующих о возможном низком онкотическом давлении), будет отличаться тем, что быстрое введение больших объемов кристаллоидов до введения коллоидов может быть необоснованным из-за низкого онкотического давления и неспособности вследствие этого удержать вводимый объем жидкости.
Болюсное введение кристаллоидов, в начале терапии, должно быть скорректировано в сторону уменьшения объемов и увеличения времени введения или должно проводиться максимально аккуратно при наличии лабораторно подтвержденных сведений о концентрации альбумина. Коллоидным раствором выбора, может являться волювен в дозировке 3мл/кг или альбумин 0.5-1г/кг в/в. В последующей терапии, также может потребоваться дополнительное введение альбумина, для поддержания онкотического давления крови.
Многие пациенты поступают в состоянии от умеренной до выраженной дегидратации вследствие острой/хронической диареи и/или рвоты, и поэтому им, параллельно со стабилизацией гемодинамики, должна быть проведена адекватная инфузионная терапиия, направленная на регидратацию.
Проведение торакоцентеза, и удаление жидкости из грудной полости целесообразно в тех случаях, когда скопление ее значительных объемов, могут приводить к развитию дыхательной недостаточности. Назначение фуросемида в таких случаях нецелесообразно и может привести к усугублению дегидратации и снижению ОЦК. В некоторых случаях сильной анемии (RBC 2-3 х 1012/л<; HCT 20%<; HGB 100 g/l<), может потребоваться проведение гемотрансфузии.
Во всех случаях неустановленной или не до диагностированной PLE, целесообразным считается назначение эмпирической терапии. В значительном количестве случаев, такая терапия может привести к нивелированию острых симптомов заболевания и стабилизировать общее состояние животного.
Однако, важно не останавливаться в поисках этиологических факторов, удовлетворившись положительной динамикой лечения. В случае некоторых энтеропатий, особенно ВЗК, целесообразным является назначение антибактериальных препаратов (например сочетание метронидазола 15мг/кг каждые 12ч и амоксициллина 7,0 мг/кг с клавулановой кислотой 1,75мг/кг, п/к каждые 24ч; энрофлоксацина 5мг/кг, п/к, в/м каждые 12ч). В случае ВЗК, целесообразно назначение стероидных противовоспалительных препаратов — преднизолон 1-2мг/кг каждые 12-24 часа. Однако решение о назначение иммуносупрессивной терапии, должно приниматься с осторожностью. Купирование рвоты можно осуществлять введением маропитанта — 1мг/кг, п/к. Животным с PLE, необходимо дополнительное введение цианокобаламина, из-за нарушения его синтеза и усвоения вследствие мальабсорбции. Дополнительное введение цианокобаламина, будет способствовать коррекции легкой и умеренной анемии. Рекомендуемая суточная доза цианокобаламина – 250-500 мкг, в/м каждые 24 часа.
Нутрицептивная терапия заключается в назначении легкоусвояемых кормов с низким содержанием жира для предотвращения дальнейшей лимфангиэктазии. Рекомендовано назначение высококалорийных кормов с большим количеством легкоусвояемых белков и низким содержанием сырой клетчатки. У собак с IBD, многими специалистами отмечена положительная динамика при назначении кормов, содержащих гидролизованные белки. В случае отсутствия аппетита более 72 часов, необходимо произвести установку назоэзофагогастрального зонда или сформировать эзофагостому, для обеспечения энтерального питания. Назначение правильного, диетического питания является очень важным в терапии PLE! В некоторых случаях легкой и умеренной PLE, нутрицептивная терапия позволила стабилизировать состояние пациентов, без назначения фармакотерапии.
Список используемой литературы:
-
“Canine Protein Losing Enteropathies” — Willard, M.; Texas A&M University, Department of Small Animal Clinical Sciences, College of Veterinary Medicine, Texas, USA.
-
“Diagnosis and Management of Chronic Enteropathies in Dogs” — Kenneth W. Simpson BVM&S, PhD, DipACVIM, DipECVIM-CA; College of Veterinary Medicine, Cornell University, Ithaca, NY. -
“Protein losing enteropathy in dogs — the beginning of end?” — Frédéric Gaschen, Dr.med.vet., Dr.habil., DACVIM and DECVIM-CA; Dept. of Veterinary Clinical Sciences, Louisiana State University School of Veterinary Medicine. -
“Diagnosis and management of protein-losing enteropathy” — Stanley L. Marks, BVSc, PhD, DACVIM (Internal Medicine, Oncology), DACVN Professor of Small Animal Medicine, Associate Director of the Small Animal Clinic University of California, Davis, School of Veterinary Medicine, Davis, CA, USA/ -
“Protein losing enteropathy in Yorkshire Terriers – Retrospective study in 31 dogs” — D. BOTA1, A. LECOINDRE2, A. POUJADE3, M. CHEVALIER4, P. LECOINDRE2, F. BAPTISTA5, E. GOMES1, J. HERNANDEZ1*; 1 Centre Hospitalier Vétérinaire Fregis, 43 av.
Aristide Briand, 94110 Arcueil, France; 2 Clinique des Cerisioz, Route de Saint-Symphorien-d’Ozon 69800 Saint-Priest France; 3 Laboratoire d‘Anatomie Pathologique Vétérinaire du Sud-Ouest, 129, route de Blagnac 31201 Toulouse cedex 2, France; 4 Laboratoire Biomnis, 17/19 avenue Tony Garnier, 69007 Lyon, France; 5 StemCell2Max Biocant Park Nucleo 04, Lote 02 3060-197 Cantanhede Portugal. -
“Medical and nutritional management of protein-losing enteropathy” — Jane Armstrong, DVM, MS, MBA, DACVIM; University of Minnesota St. Paul, MN
Вернуться к списку
Профилактическая дегельминтизация как борьба с незримой угрозой
Авторы: Калашникова О. В., ветеринарный врач-терапевт, токсиколог Ветеринарная клиника неврологии, травматологии и интенсивной терапии, г.
Санкт-Петербург.
Собаки и кошки являются хозяевами для множества гельминтов, включая ленточных червей, плоских червей и нематод. Паразитарная инвазия влияет на здоровье животных, может вызывать тяжелое заболевание и даже гибель, особенно в молодом и старческом возрасте. Такие виды паразитов, как Toxocara, Ancylostoma, Dipylidium и Echinococcus spp., распространены по всему миру, обладают зоонозным потенциалом и несут угрозу здоровью людей.
Зараженность собак T. canis в Восточной Европе колеблется от 3,5 до 34 %. По существующим данным, только 58 % владельцев собак и кошек обрабатывали своих питомцев от внутренних паразитов в течение последних 12 месяцев.
В России ситуация еще печальнее: многие владельцы вообще не проводят антигельминтную обработку животных-компаньонов, поскольку уверены, что, если червей в кале не видно, значит у домашнего питомца их нет. Также распространены заблуждения о вреде для здоровья противогельминтных препаратов и о безобидности паразитов.
В нашей стране отсутствуют официальные рекомендации по борьбе с паразитами у собак. Этим обусловлено низкое качество ветеринарного контроля за применением профилактических мер, что, в свою очередь, приводит к высокому проценту заражаемости гельминтами собак и кошек. Для улучшения ситуации и уменьшения загрязнения внешней среды паразитами можно ориентироваться на рекомендации Европейского научного совета по паразитам мелких домашних животных (ESCCAP). Эти рекомендации основаны на исследованиях, проведенных в соответствии с требованиями доказательной медицины (табл. 1).
Для уменьшения риска внутриутробного заражения гельминтами (у собак) или заражения от матери (у кошек и собак) рекомендована дегельминтизация с 40-го по 55-й дня беременности. Кроме того, лактирующих собак и кошек необходимо обрабатывать от гельминтов вместе с потомством.
Паразитарная инвазия – самая частая причина рвоты, диареи и потери веса у котят и щенков после проглатывания инородного тела и парвовирусной инфекции.
Скопление гельминтов в большом количестве может привести к обструкции или инвагинации кишечника у животного, что впоследствии, вероятно, потребует хирургического вмешательства.
Требования к препарату, используемому для профилактической и лечебной дегельминтизации щенков и котят:
- возможность безопасного применения с возраста, рекомендованного ESCCAP;
- возможность безопасной дегельминтизации лактирующих и беременных животных;
- широкий спектр действия, эффективность против наиболее распространенных в данном регионе гельминтов;
- возможность комбинировать с препаратами против эктопаразитов;
- низкий риск для животных с мутацией гена MDR1;
- доступность и простота применения: отсутствие необходимости голодной диеты, вкусовая привлекательность, возможность смешивания с кормом или скармливания под видом лакомства.
Комплексный препарат, содержащий в своем составе мильбемицина оксим и празиквантел, соответствует всем перечисленным требованиям, поэтому широко применяется при профилактической или лечебной дегельминтизации щенков и котят.
К современным антигельминтикам широкого спектра действия можно отнести макроциклические лактоны, такие как мильбемицина оксим+празиквантел, обеспечивающие высокую эффективность воздействия на нематод и ленточных гельминтов. Препарат безопасен в терапевтической дозировке для животных с мутацией гена MDR1, хорошо поедается собаками и даже кошками и не требует голодной диеты. Кроме того, препарат можно комбинировать с селамектином, что повышает эффективность контроля дипилидиоза и других распространяемых блохами паразитарных инвазий.
Клинический случай
Пациент: 1,5-годовалый некастрированный лабрадор по кличке Гранд проходил лечение в сторонней клинике, однако состояние собаки ухудшилось, появились вялость и отказ от еды, поэтому владельцы обратились в нашу клинику для получения «второго мнения» (фото 3). Животное вакцинировано.
Анамнез: со слов владельцев пациента, в течение 1,5 месяцев у животного наблюдалось снижение веса при хорошем аппетите, затем появилась диарея (чередование кашицеобразного и водянистого кала желтого цвета, без газов, слизи и крови), дефекация 4 раза в день.
Рвоты не было. По совету врача, вызванного на дом, лечились бисептолом и но-шпой. Спустя 3 недели после начала заболевания обратились в стороннюю клинику, где был поставлен диагноз «энтеропатия с потерей белка», после чего было назначено лечение метронидазолом и тилозином, а также рекомендовано применение коммерческого гастроинтестинального корма с низким содержанием жиров. За три дня до обращения собака получала преднизолон, на фоне приема которого диарея прекратилась, но общее состояние ухудшилось.
По результатам лабораторных анализов, сданных в сторонней клинике и полученных за день до обращения, все показатели были в норме, кроме общего белка — 27 г/л и альбумина — 15,4 г/л, а также были исключены такие инфекционные агенты, как кампилобактериоз, криптоспоридиоз, парвовирусный и коронавирусный энтериты. Соотношение белка и креатинина в моче оставалось в норме, что исключало развитие нефропатии с потерей белка. Яйца гельминтов в кале не были обнаружены.
Диагностика и лечение
Было принято решение назначить пациенту дополнительное обследование.
На основании результатов биохимического анализа крови (фото 4) и УЗИ печени (увеличена в размере, диффузно гипоэхогенна) возникло предположение о развитии токсического гепатита из-за идиосинкразии к преднизолону, поэтому его прием отменили. Назначили препараты АЦЦ и гептрал. Через 3 дня после начала лечения был взят контрольный биохимический анализ крови (АЛТ – 48,4 МЕ/л, АСТ – 18,7 МЕ/л, общий белок – 27,4 г/л, альбумин – 16,8 г/л), подтвердивший, что отмена преднизолона привела к устранению токсического гепатита, однако не повлияла на течение основного заболевания.
После стабилизации состояния пациента провели диагностическую лапароскопию с забором материала на гистологическое исследование.
Заключение гистопатолога: лимфоцитарный колит, вероятна лимфангиэктазия тонкого кишечника.
Назначенное лечение: диета с гидролизатом белка, прием иммуномодулятора азатиоприн. Общее самочувствие Гранда на фоне лечения оставалось удовлетворительным, но собака продолжала терять вес.
Диарея после отмены преднизолона возобновилась. Была проведена лечебно-профилактическая дегельминтизация мильбемицина оксимом + празиквател, после чего в кале обнаружилось большое количество круглых гельминтов длиной около 2 см, морфологически схожих с анкилостомами.
Поскольку паразитарная инвазия (особенно инвазия анкилостомами) – признанный этиологический фактор ВЗК с лимфангиэктазией у собак, было принято решение проводить дегельминтизацию в терапевтической дозировке 1 раз в неделю в течение 4 недель подряд. Одновременно владелец подбирал диету для набора веса питомца, в результате подходящей оказалась диета из отварной говядины и гречневой каши. На фоне противопаразитарной обработки диарея прекратилась и наступило клиническое выздоровление собаки (фото 5).
Яйца гельминтов не всегда выделяются с калом, что затрудняет их обнаружение при паразитологическом исследовании, поэтому отрицательный результат не должен служить основанием для отмены профилактической или лечебной дегельминтизации (фото 6).
Риск паразитарного заражения существует в любом возрасте, в связи с этим профилактическая дегельминтизация собак и кошек должна осуществляться на протяжении всей их жизни.
Для кошек, не покидающих дом, может быть достаточно двух обработок в течение года, остальных животных следует дегельминтизировать не реже чем 1 раз в 3 месяца и еще 1 раз перед вакцинацией. Существуют ситуации, когда рекомендуется более частая (ежемесячная) профилактическая дегельминтизация, например в сезон активности комаров. В настоящее время доступность путешествий домашних любимцев вместе с хозяевами стала причиной распространения многих редких паразитарных заболеваний, поэтому дирофиляриоз диагностируется даже у животных, никогда не покидавших города, что делает необходимым проведение профилактики заражения этим опасным заболеванием (фото 7).
Фото 7. Дирофилярия на сальнике собаки, никогда не покидавшей Санкт-Петербург. Нетипичная локализация.
Dirofilaria immitis, по мнению ESCCAP, входит в три ключевые группы паразитов, способных вызывать у животных тяжелые заболевания, широко распространенных в Европе и представляющих зоонозный риск.
Ежемесячная обработка собак, достигших 2-недельного возраста, во время лета комаров служит надежной профилактикой дирофиляриоза. Мильбемицина оксим + празиквантел относится к эффективным препаратам для профилактики заражения дирофиляриями, но перед началом обработок необходимо убедиться в том, что животное не заражено дирофиляриозом и массовая гибель паразитов не ухудшит его состояния.
Две другие ключевые группы, требующие особого контроля, – это Echinococcus spp. и аскариды (Toxocara spp., Toxascaris leonina). В районах, где встречается возбудитель эхинококкоза, необходима ежемесячная обработка подходящим антигельминтным средством всех охотящихся или имеющих доступ к сырому мясу собак. Для профилактики заражения токсокарами или токсаскаридами противопаразитарные обработки проводятся от 4-х до 12-ти раза в год.
Выводы:
- Паразитарные заболевания наносят вред здоровью собак и кошек в любом возрасте. Гельминты, обитающие в ЖКТ, провоцируют возникновение гастритов, энтеритов и колитов, а в случаях тяжелой инвазии способствуют развитию ВЗК, осложненного энтеропатией с потерей белка.

- Многие паразиты домашних животных способны заражать человека.
- Для снижения риска заражения следует избегать кормления собак и кошек сырым мясом и внутренностями животных и птицы. Для обеззараживания мясо должно подвергаться термообработке не менее 10 минут при температуре внутри куска не менее 65° или вымораживаться не менее 1 недели при температуре минус17-20°.
- Только регулярная профилактическая дегельминтизация служит надежной защитой от заражения.
- Редкие профилактические обработки не решают проблему выделения яиц паразитов с калом во внешнюю среду. Ежемесячная обработка сокращает выделение яиц в окружающую среду на 90% и позволяет профилактировать такие опасные для жизни заболевания, как дирофиляриоз и эхинококкоз.
- Мильбемицина оксим + празиквантел является доступным, эффективным и простым в применении лекарственным препаратом для профилактической и лечебной дегельминтизации.
Литература:
- Worm Control in Dogs and Cats.
ESCCAP Guideline 01 Third Edition– July 2017 - Helminth infections in domestic dogs from Russia T. V. Moskvina, A. V. Ermolenko, Veterinary World 2016
- Andrew P. Copland, John K. DiBaise. Protein Losing Enteropathy: Diagnosis and Management NUTRITION ISSUES IN GASTROENTEROLOGY, SERIES #162
- Гастроэнтерология собак и кошек. Спаркс Э. – М.: Эксмо, 2014
- Гастроэнтерология собак и кошек. Э. Холл, ДЖ. Симпсон, Д. Уильямс – М.: Аквариум Принт, 2010
причины, симптомы, диагностика, лечение, профилактика
Паталогическое состояние, характеризующееся приобретенным либо врожденным увеличением просвета лимфатических сосудов тонкого кишечника, которое возникает на фоне их обструкции или аномалии развития.
Причины
Довольно редкое гастроэнтерологическое заболеваний, которое может возникать по самым разным причинам. Недуг развивается на фоне аномального строения лимфатических сосудов либо расстройства оттока лимфы в тонком кишечнике.
Специалисты выделили несколько основных причин, которые могут привести к развитию лимфангиэктатического заболевания
Врожденная аномалия развития лимфатических сосудов. Самостоятельная форма заболевания, которая передается по аутосомно-доминантному типу. Некоторые специалисты указывают на то, что в данном случае расстройство лимфогенеза возникает на фоне мутации генов, находящихся в хромосоме 4q25. В этом случае поражение лимфатических сосудов в тонком кишечнике может выявляться совместно с другими дефектами лимфатической системы.
Онкологическая патология. В некоторых случаях расстройство оттока лимфы в тонком кишечнике возникает в результате сдавления лимфатических сосудов, расположенных в брыжейке тонкого кишечника, объемными новообразованиями. Довольно часто застой лимфы в тонком кишечнике возникает на фоне опухолевых поражений поджелудочной железы, почек или забрюшинных лимфом.
Заболевания пищеварительного тракта. Иногда причиной развития энтерального воспаления инфекционного и неинфекционного генеза, является хроническое воспаление кишечника, поражения туберкулезной инфекцией брюшины либо брыжеечных лимфоузлов, болезнь Крона, а также в случае воспалительного и рубцового поражения– мезентерия.
Помимо этого, причиной данной патологии может являться гипертрофический гастрит либохроническое воспаление поджелудочной железы.
Сдавление мезентериальных лимфатических сосудов возникает в результате ретроперитонеального фиброза, саркоидоза, некоторых аутоиммунных заболеваний, например, дерматомиозита. В этом случае нарушение оттока лимфы может возникать на фоне сдавления лимфатических сосудов в следствии разрастания соединительной ткани или нарушения работы главных венозных коллекторов,в которые поступает лимфа из брюшины.
Симптомы
Для данного типа недуга характерно хроническое течение. Заболевание обусловлено постепенным прогрессированием. В начале патологического процесса у больного появляются незначительных размеров отеки, располагающиеся симметрично. Иногда появление отеков может сопровождаться диспепсическими расстройствами. Такие больные могут жаловаться на периодически возникающий понос, общее ухудшение состояния, незначительные абдоминальные боли и появление светлого зловонного кала.
По мере прогрессирования патологических изменений у больных возникает бледность, значительное снижение массы тела. При вторичной форме недуга у пациента может отмечаться усугубление симптомов основного заболевания. В тяжелых случаях отмечается развитие асцита.
Диагностика
При постановке диагноза больному может потребоваться назначение копрограммы, контрастного рентгенографического исследования тонкого кишечника, видеоэндокапсульного исследования, радиоизотопной сцинтиграфии. С целью комплексного исследования состояния органов брюшной полости пациенту могут быть назначены ультразвуковое исследование или компьютерная томография.
Лечение
Для получения более высоких терапевтических результатов больному назначается диетотерапия. Коррекция питания снижает выраженность поноса, что оказывает благоприятное воздействие на течении недуга. На начальной стадии заболевания больному могут быть назначены аналоги соматостатина, обладающие коротким сосудосуживающим действием и ингибирующие всасывание триглицеридов.
Отличные результаты при данной патологии дает проведение сигментная резекция части тонкого кишечника либо лимфовенозное шунтирование, позволяющее восстановить ток лимфы.
Профилактика
К сожалению, специалисты пока не разработали комплекс мероприятий, которые бы помогли предупредить развитие кишечной лимфангиэктазии.
Первичная кишечная лимфангиэктазия — NORD (Национальная организация редких заболеваний)
УЧЕБНИКИ
Ballinger AB. Кишечная лимфангиэктазия. В: The NORD Guide to Rare Disorders, Philadelphia: Lippincott, Williams and Wilkins, 2003: 346.
Beers MH, Berkow R., eds. Руководство Merck, 17-е изд. Станция Уайтхаус, Нью-Джерси: Исследовательские лаборатории Мерк; 1999: 301.
Берков Р., изд. Руководство Merck для дома. Станция Уайтхаус, Нью-Джерси: Исследовательские лаборатории Мерк; 1997: 538.
Larson DE. изд. Книга здоровья семьи клиники Мэйо. Нью-Йорк, штат Нью-Йорк: Уильям Морроу и компания, Inc.; 1996: 774.
Behrman RE., Ed. Учебник педиатрии Нельсона, 15-е изд. Филадельфия, Пенсильвания: W.B. Компания Сондерс; 1996: 1097.
Thoene JG., Ed. Руководство для врачей по редким заболеваниям. Монтвейл, штат Нью-Джерси: издательство Dowden Publishing Company Inc; 1995: 685.
Ямада Т. и др., Ред. Учебник гастроэнтерологии. 2-е изд. Филадельфия, Пенсильвания: JB Lippincott Company; 1995: 834.
СТАТЬИ ИЗ ЖУРНАЛА
Marie I, et al., Желатиновая трансформация костного мозга: нечастое проявление кишечной лимфангиэктазии. Am J Med. 1999; 107: 99-100.
Зельмановиц Ф., Локализация регионарной лимфангиэктазии кишечника с использованием декстрановой лимфосцинтиграфии Tc-99m. Clin Nucl Med. 1999; 24: 210-11.
Fuss IJ, et al., Кишечная лимфангиэктазия, заболевание, характеризующееся избирательной потерей наивных CD45RA + лимфоцитов в желудочно-кишечный тракт. Eur J Immunol. 1998; 28: 4275-85.
Ржавчина С., Фиброзное поражение тонкой кишки при врожденной кишечной лимфангиэктазии.
Am J Gastroenterol. 1998; 93: 1980-83.
Ballinger AB и др., Октреотид в лечении кишечной лимфангиэктазии. Eur J Gastroenterol Hepatol. 1998; 10: 699-702.
Maconi G, et al., Ультрасонографические особенности длительной первичной кишечной лимфангиэктазии. Eur J Ultrasound. 1998; 7: 195-98.
Персик М. и др., Кишечная лимфангиэктазия и энтеропатия с потерей белка, реагирующая на ограничение тонкой кишки. Arch Dis Child. 1998; 78: 194
ИНТЕРНЕТ
Виньес С. и Белланджер Дж.Первичная кишечная лимфангиэктазия. Журнал «Орфанет редких болезней». 2008; 3: 5. http://www.ojrd.com/content/3/1/5 По состоянию на 16 декабря 2019 г.
McKusick VA., ed. Интернет-Менделирующее наследование в человеке (OMIM). Балтимор. МД: Университет Джона Хопкинса. Последнее обновление: 03.05.2017. Доступно по адресу: http://omim.org/entry/152800 По состоянию на 16 декабря 2019 г.
Кишечная лимфангиэктазия: общие сведения, патофизиология, этиология
Автор
Хишам Назер, MBBCh, FRCP, DTM & H Профессор педиатрии, консультант по детской гастроэнтерологии, гепатологии и клиническому питанию, Медицинский факультет Университета Иордании, Иордания
Хишам Назер, MBBCh, FRCP, DTM & H является членом следующих медицинских общества: Американская ассоциация врачей-лидеров, Королевский колледж педиатрии и детского здоровья, Королевский колледж хирургов в Ирландии, Королевское общество тропической медицины и гигиены, Королевский колледж врачей и хирургов Соединенного Королевства
Раскрытие: Ничего не разглашать.
Соавтор (ы)
Дена Назер, доктор медицины, FAAP Доцент педиатрии медицинского факультета Государственного университета Уэйна; Руководитель группы защиты детей Детской больницы штата Мичиган
Дена Назер, доктор медицинских наук, FAAP является членом следующих медицинских обществ: Академическая педиатрическая ассоциация, Американская академия педиатрии, Американское профессиональное общество по борьбе с жестоким обращением с детьми, Общество Рэя Э. Хелфера
Раскрытие: Ничего не раскрывать.
Специальная редакционная коллегия
Франсиско Талавера, фармацевт, доктор философии Адъюнкт-профессор, Фармацевтический колледж Медицинского центра Университета Небраски; Главный редактор Medscape Drug Reference
Раскрытие информации: Получил зарплату от Medscape за работу. для: Medscape.
Главный редактор
Берт Кагир, доктор медицины, FACS Клинический профессор хирургии Медицинской школы Содружества Гейзингер; Директор программы ординатуры по общей хирургии, больница Гатри Роберт Пакер; Лечащий хирург, Госпиталь Гатри Роберт Пакер и Госпиталь Корнинг
Берт Кагир, доктор медицины, FACS является членом следующих медицинских обществ: Американского колледжа хирургов, Ассоциации директоров программ по хирургии, Общества хирургии пищеварительного тракта
Раскрытие информации: Нечего раскрывать.
Дополнительные участники
Раджив Васудева, доктор медицины Клинический профессор медицины, консультанты по гастроэнтерологии, Медицинский факультет Университета Южной Каролины
Раджив Васудева, доктор медицинских наук, является членом следующих медицинских обществ: Американский колледж гастроэнтерологии, Колумбийское медицинское общество, гастроэнтерология Южной Каролины Ассоциация, Американская гастроэнтерологическая ассоциация, Американское общество гастроэнтерологической эндоскопии, Медицинская ассоциация Южной Каролины
Раскрытие информации: Получены гонорары от Pricara за выступления и обучение; Получен гонорар от UCB за консультацию.
Благодарности
Рауль Жубран, доктор медицинских наук Научный сотрудник, Отделение внутренней медицины, Отделение гастроэнтерологии / гепатологии, Медицинская школа Университета Луисвилля
webmd.com»> Раскрытие: Ничего не нужно раскрывать.Энтони Э. Мартин, доктор медицины Адъюнкт-профессор медицины, отделение гастроэнтерологии, гепатологии и питания, директор программы стажировки, Медицинская школа Университета Луисвилля
Энтони Мартин, доктор медицины, является членом следующих медицинских обществ: Американской ассоциации по изучению заболеваний печени, Американского колледжа врачей, Американской гастроэнтерологической ассоциации, Американского общества гастроэнтерологической эндоскопии, Ассоциации военных хирургов США, Медицинской ассоциации Кентукки. , и Медицинская ассоциация специальных операций
Раскрытие: Ничего не нужно раскрывать. Ричард Райт, доктор медицины Профессор и заведующий кафедрой медицины, отделение гастроэнтерологии / гепатологии, Медицинская школа Университета Луисвилля
webmd.com»> Ричард Райт, доктор медицинских наук, является членом следующих медицинских обществ: Американского колледжа врачей, Американского колледжа врачей, Американской гастроэнтерологической ассоциации, Американской медицинской ассоциации и Американского общества гастроэнтерологической эндоскопииРаскрытие: Ничего не нужно раскрывать.
Кишечная лимфангиэктазия — Консультант по терапии рака
Обзор: что нужно знать каждому практикующему врачу
Вы уверены, что у вашего пациента кишечная лимфангиэктазия? Каковы типичные признаки этого заболевания?
Кишечная лимфангиэктазия, также известная как энтеропатия с потерей белка (PLE), характеризуется аномальным расширением лимфатических структур слизистой, подслизистой или суброзной оболочки тонкой кишки, что приводит к чрезмерной потере белков сыворотки и лимфоцитов в желудочно-кишечный тракт.
Заболевание возникает либо как идиопатическое первичное состояние, известное как болезнь Вальдмана, либо оно может быть вторичным по отношению к лимфатической обструкции или повышенному лимфатическому давлению.
Типичные результаты включают периферический отек, различные кишечные симптомы, такие как диарея, боль в животе, рвота и тошнота. Нарушение нормального развития может проявляться при первичной форме кишечной лимфангиэктазии. Средний возраст обращения составляет 11 лет при первичной форме лимфангиэктазии, но симптомы могут появиться в любое время между младенчеством и детством.
Симметричный точечный отек нижних конечностей является вторичным по отношению к тяжелой гипоальбуминемии из-за массивной потери альбумина в желудочно-кишечном тракте. В некоторых случаях лимфангиэктазия связана с лимфатическими аномалиями в других частях тела. В этих случаях лимфедема может быть несимметричной и более фиброзной, фиксированной и без ямок и может поражать конечности или другие части тела, такие как грудь.
Желудочно-кишечные проявления различаются как по частоте, так и по степени тяжести и включают тошноту, рвоту, непереносимость пищи, боли в животе, диарею и иногда явную стеаторею.Часто наблюдается задержка роста из-за недоедания. Сообщалось о желудочно-кишечных кровотечениях как следствие язвенной лимфангиэктазии. Венозный тромбоз с эмболическими событиями может возникать в результате потери в кишечнике факторов свертывания крови с истощением антитромбина III, вызывающим состояние гиперкоагуляции.
Хилоторакс или хилезный асцит наблюдается в некоторых случаях кишечной лимфангиэктазии, и его следует дифференцировать от плевральных выпотов и асцита, вызванных снижением внутрисосудистого онкотического давления из-за гипопротеинемии.
Сбор подробного анамнеза пациента и проведение физического обследования — первый шаг в подтверждении диагноза. Кишечную лимфангиэктазию следует рассматривать у пациентов с периферическими отеками и гипоальбуминемией, у которых нет протеинурии.
Клиническое подозрение возрастает у пациентов, у которых есть состояние, которое, как известно, связано с лимфатическими аномалиями (например, синдром Тернера или синдром Нунана). Неселективная потеря белка в кишечнике, которая приводит как к гипоальбуминемии, так и к гипоглобулинемии, также наводит на размышления.
Потеря иммуноглобулина и лимфоцитов может потенциально привести к иммунной недостаточности, но это редко является клинической проблемой.
Какое другое заболевание / состояние имеет некоторые из этих симптомов?
Другие причины потери белка со стороны желудочно-кишечного тракта включают идиопатические воспалительные заболевания кишечника (болезнь Крона или язвенный колит), аллергию на молочный белок, эозинофильную гастроэнтеропатию, целиакию, бактериальные энтериты (сальмонелла, шигелла, кампилобактер, Ecoli и C. difficile), кишечная лимфома, гипертрофический гастрит. (болезнь Менетрие у детей), иммунодефицитные заболевания, включая ВИЧ, васкулиты (волчанка или пурпура Шенлейна-Геноха), лучевой энтерит, синдромы полипоза кишечника и тропический спру.
Какие лабораторные исследования следует запросить для подтверждения диагноза? Как следует интерпретировать результаты?
Низкий уровень сывороточного альбумина, отдельно или вместе с низким уровнем сывороточного глобулина, при отсутствии протеинурии должен вызывать подозрение на PLE.
PLE может быть подтвержден наличием повышенного уровня альфа-1-антитрипсина в кале в случайном образце стула.
Общий анализ крови, показывающий лимфопению, может указывать на потерю лимфоцитов. В сочетании с энтеропатией с потерей белка это характерно для потери лимфатической жидкости из кишечного тракта.
Для окончательного диагноза кишечной лимфангиэктазии требуется биопсия тонкого кишечника и гистологическое исследование образца ткани. Характерные признаки включают широкие ворсинки с расширенными млечными сосудами в слизистой оболочке и увеличенные лимфатические узлы подслизистой оболочки при отсутствии инфильтрата воспалительных клеток или признаков атрофии слизистой оболочки.
Могут ли быть полезны визуализирующие исследования? Если да, то какие?
Исследования с контрастированием с барием могут продемонстрировать утолщение складок тонкой кишки или неорганизованную конфигурацию игл с точечными просветами.Может произойти разжижение бария и расширение просвета кишечника. Это неспецифические находки, и их также можно увидеть при других синдромах мальабсорбции.
Компьютерная томография (КТ) брюшной полости с пероральным и внутривенным контрастом может показать диффузное или сегментарное узловое утолщение слизистой оболочки тонкой кишки, связанное с ее расширением. Эти данные неспецифичны для лимфангиэктазии.
Эндоскопия верхнего отдела желудочно-кишечного тракта или эндоскопия с беспроводной капсулой может быть полезна в случаях, когда лимфангиэктазия является сегментарной, а не диффузной.Наличие расширенных лимфатических сосудов подозревается, когда участки слизистой оболочки имеют отек с разбросанными белыми пятнами, ворсинками с белыми кончиками и хилеподобным веществом, покрывающим слизистую оболочку.
Лимфангиография может выявить различные паттерны, но технически сложна для выполнения и поэтому используется редко.
Если вы можете подтвердить, что у пациента кишечная лимфангиэктазия, какое лечение следует начать?
Лечение первичной кишечной лимфангиэктазии в основном включает диетические манипуляции.В редких случаях, когда заболевание локализовано, а не диффузно, хирургическая резекция пораженного сегмента тонкой кишки может быть излечивающей. Фармакологические агенты использовались с улучшением в нескольких случаях.
Диета с низким содержанием жиров, дополненная триглицеридами со средней длиной цепи (MCT), является основой терапии для предотвращения растяжения и последующего разрыва лимфатических сосудов кишечника. MCT напрямую попадают в систему воротной вены и, следовательно, обходят молочную систему кишечника.Некоторым пациентам требуются дополнительные соли кальция и водорастворимые формы жирорастворимых витаминов.
Обычно необходимо пожизненное лечение путем изменения диеты, хотя в редких случаях случается спонтанная ремиссия.
Существует долгосрочный риск дефицита других питательных веществ, включая незаменимые жирные кислоты, жирорастворимые витамины и минералы, которые могут нуждаться в дополнительной замене. В тяжелых и рефрактерных случаях существует риск серьезного недоедания, и может потребоваться парентеральное питание.
Октреотид в дозе 20-200 мкг, вводимый подкожно два раза в день, в некоторых случаях успешно применялся. Октреотид LAR с медленным высвобождением 20-30 мг внутримышечно каждые 4 недели также применялся с некоторым успехом. Антиплазмин или транс-4-аминотилциклогексаминкарбоновая кислота (транексамовая кислота), антифибринолитическое кровоостанавливающее средство, используемое при гемофилии, использовалось в некоторых случаях, которые не реагировали на лечение диетой или октреотидом.
Успешно применяется хирургическая резекция участков тонкой кишки при сегментарной лимфангиэктазии.
Трансплантация тонкой кишки была предложена для тяжелых рефрактерных случаев, связанных с осложнениями.
Лечение лимфангиэктазии, вторичной по отношению к повышенному лимфатическому давлению, включает коррекцию основного заболевания.
Какие побочные эффекты связаны с каждым вариантом лечения?
Побочные эффекты масла MCT включают седативный эффект, наркоз, печеночную энцефалопатию у пациентов с кетозом цирроза, тошноту, рвоту, боль в животе, диарею или урчание в животе.
Лечение на основе октреотида имеет ряд побочных эффектов, связанных с его использованием, включая конституциональные симптомы, сердечно-сосудистую систему, центральную нервную систему, эндокринную систему и желудочно-кишечные проблемы.
Общие конституциональные симптомы могут включать усталость, недомогание, лихорадку, головокружение или зудящую алопецию.
Сердечно-сосудистые эффекты включают синусовую брадикардию, боль в груди, гипертонию или аритмию.
Побочные эффекты со стороны центральной нервной системы включают головную боль, беспокойство, спутанность сознания, гипестезию, бессонницу или головокружение.
Проблемы эндокринной системы могут включать гипергликемию или гипотиреоз. Наконец, желудочно-кишечные симптомы, которые могут возникнуть, включают боль в животе, тошноту, диарею, метеоризм, желчнокаменную болезнь, желчный осадок, запор, рвоту, расширение желчных протоков, анорексию, тенезмы, диспепсию, стеаторею, изменение цвета кала. Нервно-мышечные побочные эффекты могут включать боль в спине, артропатию и миалгию.
Лечение транексамовой кислотой может вызвать реакции гиперчувствительности, венозный и артериальный тромбоз или тромбоэмболию, офтальмологическую токсичность, изменение цветового зрения, потерю зрения или конъюнктивит.
Каковы возможные исходы кишечной лимфангиэктазии?
Кишечная лимфангиэктазия — хроническое и изнурительное заболевание. В результате лимфедемы могут возникнуть кожные инфекции и изъязвления.
Люди с асцитом подвержены риску спонтанного бактериального перитонита. Боль и трудности с передвижением могут возникать при сильном отеке нижних конечностей. Пациенты подвержены риску венозных тромбозов и тромботических эмболий. В редких случаях сообщалось о спонтанной ремиссии.
Что вызывает это заболевание и как часто оно встречается?
Распространенность первичной кишечной лимфангиэктазии неизвестна, но это заболевание встречается относительно редко. Вторичные формы, вероятно, более распространены, но остаются нераспознанными, поскольку признаки затмеваются результатами, связанными с основным заболеванием.
Мало что известно о генетике первичной кишечной лимфангиэктазии. Большинство случаев носят спорадический характер, хотя в некоторых случаях наблюдается группировка в семьях, предполагающая генетический компонент.Кишечная лимфангиэктазия действительно возникает при некоторых хорошо известных генетических заболеваниях, таких как синдром Тернера и Нунана, но неясно, является ли эта связь случайной.
Как эти патогены / гены / воздействия вызывают болезнь?
Выявлены нарушения экспрессии регуляторных молекул лимфангиогенеза в слизистой оболочке двенадцатиперстной кишки при идиопатической кишечной лимфангиэктазии. Уровни рецептора 3 эндотелиального фактора роста сосудов (VEGFR3) и рецептора 1 эндотелиального гиалуронана лимфатических сосудов (LYVE-1) повышены на поверхности слизистой оболочки, что соответствует широко расширенным лимфатическим сосудам, тогда как они уменьшаются в более глубоких слоях слизистой оболочки.Экспрессия мРНК VEGFR3 была значительно увеличена при первичной лимфангиэктазии, тогда как экспрессия мРНК VEGF-C и –D была значительно подавлена по сравнению с контролем. Неизвестно, как именно эти данные участвуют в возникновении лимфангиэктазии.
Какие осложнения вы можете ожидать от болезни или лечения болезни?
Кишечная лимфангиэктазия может привести к нескольким осложнениям, включая комбинированный B- и T-клеточный иммунодефицит, вызванный лимфопенией, что может увеличить риск таких инфекций, как пневмококковая эмпиема, криптококковый менингит или цитомегаловирус.
Злокачественные заболевания, такие как лимфома, брыжеечная ангиосаркома и нейробластома, также связаны с лимфангиэктазией кишечника.
В некоторых случаях описано состояние гиперкоагуляции из-за недостаточности антитромбина, приводящее к венозным тромбозам и тромбоэмболическим явлениям. Гипокальциемические судороги были описаны у младенцев и новорожденных из-за дефицита витамина D, связанного с лимфангиэктазией.
Сообщалось об остром тяжелом желудочно-кишечном кровотечении из-за локализованного изъязвления слизистой оболочки при кишечной лимфангиэктазии.
Некролитический мигрирующий отек, проявляющийся в виде кольцевых поражений с периферическим шелушением, был зарегистрирован у взрослых с кишечной лимфангиэктазией. Это состояние улучшилось с введением диеты, обогащенной МСТ.
Какие доказательства?
Moller, A, Kalhoff, H, Reuter, T. «Врожденная кишечная лимфангиэктазия: редкий дифференциальный диагноз при гипопротеинемии у младенцев».
Клин Падиатр. об. 218. 2006. С. 224-5. (Отчет о клиническом случае и обзор кишечной лимфагиэктазии.)
Варди, PA, Lebenthal, E, Shwachman, H. «Кишечная лимфангиэктазия: переоценка». Педиатрия. об. 55. 1975. pp. 842-51. (Серия случаев с обзором клинических данных и гистологических особенностей кишечной лимфангиэктазии.)
Бурсье, В., Винь, С. «Лимфедема конечностей как первое проявление первичной кишечной лимфангиэктазии (болезнь Вальдмана)». J Mal Vasc. об. 29. 2004. С. 103-6. (Отчет о болезни и обзор.)
Белый, SM.«Оперативный асцитический дренаж у пациента с первичной кишечной лимфангиэктазией». Анестезия. об. 58. 2003. pp. 396-7. (История болезни и обзор хирургического подхода к терапии.)
Stovicek, J, Keil, R, Palova, S. «Кишечная лимфангиэктазия: редкая причина желудочно-кишечного кровотечения?». Сканд Дж Гастроэнтерол. об. 42. 2007. pp. 418 (История болезни и обзор)
Лом, Дж., Дере, Т., Обидин, К.
«Кишечная лимфангиэктазия, вызывающая массивное желудочно-кишечное кровотечение». J Clin Gastroenterol. об. 44. 2010. С. 74-5. (Случай массивного желудочно-кишечного кровотечения, вызванного ИЛ, локализованным в тощей кишке с помощью эндоскопии видеокапсулы и впоследствии подвергнутого хирургической резекции.)
Баичи, М.М., Арифуддин, Р.М., Мантри, ПС. «Острое желудочно-кишечное кровотечение из-за очаговой лимфангиэктазии двенадцатиперстной кишки». Сканд Дж Гастроэнтерол. об. 42. 2007. С. 1269-70. (Отчет о болезни и обзор.)
Herfarth, H, Hofstadter, F, Feuerbach, S. «Случай рецидивирующего желудочно-кишечного кровотечения и гастроэнтеропатии с потерей белка». Нат Клин Практ Гастроэнтерол Гепатол. об. 4. 2007. С. 288–93. (Отчет о болезни и обзор.)
Amtage, F, Marouf, W., Hetzel, A. «Приобретенное протромботическое состояние из-за энтеропатии с потерей белка как редкая причина ишемического инсульта?». Eur J Neurol. об. 14. 2007.
С. e7-e8. (Отчет о болезни и обзор.)
Calabrese, C, Pironi, L, Di, FG. «Капсульная эндоскопия, выявляющая лимфангиэктазию тонкого кишечника и полипы стромальной опухоли желудочно-кишечного тракта при нейрофиброматозе 1 типа». Gastrointest Endosc. об. 64. 2006. pp. 130-1. (Отчет о болезни.)
Форзано, Ф., Фаравелли, Ф., Лой, А. «Тяжелая лимфедема, кишечная лимфангиэктазия, судороги и умеренная умственная отсталость: еще один случай синдрома Хеннекама с тяжелым фенотипом». Am J Med Genet. об. 111. 2002. С. 68-70. (Отчет о болезни и обзор.)
Mazzie, JP, Maslin, PI, Moy, L. «Врожденная кишечная лимфангиэктазия: демонстрация компьютерной томографии у маленького ребенка». Clin Imaging. об.27. 2003. С. 330-2. (Отчет о болезни и обзор.)
Waldmann, TA, Steinfeld, JL, Dutcher, TF. «Роль желудочно-кишечной системы в« идиопатической гипопротеинемии »». Гастроэнтерология. об. 41. 1961. С. 197-207. (Общий и исторический обзор механизмов, посредством которых происходит потеря белка в желудочно-кишечном тракте и приводит к гипопротеинемии.
)
Макдональд, Дж., Портер, В., Скотт, Северо-Запад. «Лимфангиэктазия тонкой кишки и ангиодисплазия: положительная связь; новый клинический маркер или общая патофизиология? ». J Clin Gastroenterol. об. 44. 2010. С. 610-4. (Патофизиология кишечной лимфангиэктазии)
Хокари, Р., Китагава, Н., Ватанабе, К. «Изменения в молекулах, регулирующих лимфангиогенез, при кишечной лимфангиэктазии с потерей кишечного белка». J Gastroenterol Hepatol. об. 23. 2008. pp. E88-e95. (Патофизиология.)
Ку, NH, Ли, HJ, Юнг, JW. «Первичная кишечная лимфангиэктазия: ответ на формулу триглицеридов со средней длиной цепи». Acta Paediatr. об. 94. 2005. pp. 982-3. (Лечебное питание для Ил.)
Бизелли, М., Андреоне, П., Граменци, А. «Приобретенная кишечная лимфангиэктазия успешно лечится с помощью диеты, обогащенной триацилглицерином с низким содержанием жиров и средней длиной цепи, у пациента с трансплантацией печени». Eur J Gastroenterol Hepatol.
об. 18. 2006. С. 561-4. (Лечебное питание для Ил.)
Куроива, Г., Такаяма, Т., Сато, Ю. «Первичная кишечная лимфангиэктазия успешно лечится октреотидом». J Гастроэнтерол. об. 36. 2001. С. 129–32. (Лечение IL.)
Ballinger, AB, Фартинг, MJ. «Октреотид в лечении кишечной лимфангиэктазии». Eur J Gastroenterol Hepatol. об. 10. 1998. С. 699-702. (Лечение IL.)
Клингенберг, Р.Д., Хоманн, Н., Людвиг, Д. «Кишечная лимфангиэктазия I типа успешно лечится октреотидом с медленным высвобождением». Dig Dis Sci. об. 48. 2003. pp. 1506-9. (Лечение IL.)
Ли, Х.Л., Хан, Д.С., Ким, Дж.Б.«Успешное лечение энтеропатии с потерей белка, вызванной кишечной лимфангиэктазией, у пациента с циррозом печени октреотидом: описание случая». J Korean Med Sci. об. 19. 2004. С. 466-9. (Лечение IL.)
Бальбоа, А., Перелло, А., Мирин, Ф. «Первичная кишечная лимфангиэктазия: эффективность лечения октреотидом с медленным высвобождением». Med Clin (Barc).
об. 123. 2004. С. 319 (Лечение ИЛ.)
MacLean, JE, Cohen, E, Weinstein, M. «Первичная кишечная и грудная лимфангиэктазия: ответ на терапию антиплазмином». Педиатрия. об. 109. 2002. С. 1177-80. (Лечение IL.)
Chen, CP, Chao, Y, Li, CP. «Хирургическая резекция лимфангиэктазии двенадцатиперстной кишки: история болезни». World J Gastroenterol. об. 9. 2003. С. 2880-2. (Хирургическое лечение Ил.)
Kim, NR, Lee, SK, Suh, YL. «Первичная кишечная лимфангиэктазия успешно лечится сегментарными резекциями тонкой кишки». J Pediatr Surg. об. 44. 2009. pp. E13-e17. (Хирургическое лечение Ил.)
Кэмпбелл, Д.И., Бит, SV, Виль-де, Дж. Дж.«Тяжелая кишечная лимфангиэктазия, осложненная нефротическим синдромом, леченная трансплантацией тонкой кишки, печени и почек». J Pediatr Gastroenterol Nutr. об. 36. 2003. С. 278–82. (Трансплантация кишечника для IL.)
Hallevy, C., Sperber, AD, Almog, Y. «Стрептококковая эмпиема группы G, осложняющая первичную кишечную лимфангиэктазию».
J Clin Gastroenterol. об. 37. 2003. С. 270
.
Коул, С.Л., Ледфорд, ДК, Локки, РФ. «Первичная желудочно-кишечная лимфангиэктазия, проявляющаяся как криптококковый менингит». Ann Allergy Asthma Immunol. об. 98. 2007. С. 490-2.
Хосина, Т., Кусухара, К., Сайто, М. «Цитомегаловирусная энтеропатия с потерей белка, возникающая в результате лимфангиэктазии у иммунокомпетентного ребенка». Jpn J Infect Dis. об. 62. 2009. С. 236-8.
Chera, R, Gupta, AA, Bailey, D. «В-клеточная лимфома тонкого кишечника у пациента с лимфангиэктазией, вторичной по отношению к лимфангиоме брюшной полости». J Clin Oncol. об. 26. 2008. С.675-8.
Castro, EC, Galambos, C, Shaw, PH. «Первичная брыжеечная ангиосаркома у ребенка с ассоциированной лимфангиэктазией: описание случая». Pediatr Dev Pathol. об. 11. 2008. С. 482-6.
Лу, YY, Wu, JF, Ni, YH. «Гипокальциемия и тетания, вызванные дефицитом витамина D у ребенка с кишечной лимфангиэктазией».
J Formos Med Assoc. об. 108. 2009. С. 814-8.
Baricault, S, Soubrane, JC, Courville, P. «Некролитическая мигрирующая эритема при болезни Вальдмана». Ann Dermatol Venereol. об. 133. 2006. С. 693-6.
Copyright © 2017, 2013 ООО «Поддержка принятия решений в медицине». Все права защищены.
Ни один спонсор или рекламодатель не участвовал, не одобрял и не платил за контент, предоставляемый Decision Support in Medicine LLC. Лицензионный контент является собственностью DSM и защищен авторским правом.
Первичная кишечная лимфангиэктазия (болезнь Вальдмана) | Журнал редких болезней Орфанета
Waldmann TA, Steinfeld JL, Dutcher TF, Davidson JD, Gordon RS: Роль желудочно-кишечной системы в «идиопатической гипопротеинемии». Гастроэнтерология. 1961, 41: 197-207.
CAS
PubMed
Google ученый
Бурсье В., Винь С: примитивные лимфангиэктазии кишечника (болезнь Вальдмана) révélées par un lymphœdème desmbres. J Mal Vasc. 2004, 29: 103-106.
CAS
Статья
PubMed
Google ученый
Тифт В.Л., Ллойд Дж.К .: Долгосрочные результаты кишечной лимфангиэктазии при использовании МСТ-диеты. Arch Dis Child. 1975, 50: 269-276.
PubMed Central
CAS
Статья
PubMed
Google ученый
Ле Бужан П., Дельбрель X, Гренуйе М., Леу С., Джоссу Ф, Бейло Дж, Лебрас М., Лонги-Бурсье М: Семейная болезнь Вальдмана. Энн Мед Интерн. 2000, 151: 511-512.
CAS
Google ученый
Варди PA, Lebenthal E, Shwachmann H: Кишечная лимфангиэктазия: переоценка. Педиатрия. 1975, 55: 842-850.
CAS
PubMed
Google ученый
Шмидер А., Хенрих В., Релес А., Фогель М., Дуденхаузен Дж. В.: Изолированный асцит плода, вызванный первичной лимфангиэктазией: клинический случай. Am J Obstet Gynecol. 2001, 184: 227-228. 10.1067 / моб.2001.106756.
CAS
Статья
PubMed
Google ученый
Misery L, Lachaux A, Chambon M, Faure M, Claudy A: Maladie de Waldmann: примитивные кишечные лимфангиэктазии. Ann Dermatol Venereol. 1996, 123: 567-568.
CAS
PubMed
Google ученый
Munck A, Sosa Valencia G, Faure C, Besnard M, Ferkdadji L, Cézard JP, Mougenot JF, Navarro J: Suivi de long cours des lymphangiectasies Кишечник примитивных детей. A Propos de six cas. Arch Pediatr. 2002, 9: 388-391.10.1016 / S0929-693X (01) 00799-0.
CAS
Статья
PubMed
Google ученый
Goktan C, Pekindil G, Orguc S, Coskun T, Serter S: Двусторонний отек груди при кишечной лимфангиэктазии [письмо]. Грудь J. 2005, 11: 360-10.1111 / j.1075-122X.2005.21578.x.
Артикул
PubMed
Google ученый
Lee WS, Boey CC: Хроническая диарея у младенцев и детей раннего возраста: причины, клинические особенности и исход.J Педиатр детского здоровья. 1999, 35: 260-263.
10.1046 / j.1440-1754.1999.00356.x.
CAS
Статья
PubMed
Google ученый
Рао Р., Шашидхар Х: Кишечная лимфангиэктазия, проявляющаяся в виде образования в брюшной полости. Gastrointest Endosc. 2007, 65: 522-3. 10.1016 / j.gie.2006.10.026. обсуждение 523
Статья
PubMed
Google ученый
Лобо Б., Каселлас Ф., де Торрес И., Чичарро Л., Малагелада-младший: полезность биопсии тощей кишки в исследовании мальабсорбции кишечника у пожилых людей.Rev Esp Enferm Dig. 2004, 96: 259-264.
CAS
Статья
PubMed
Google ученый

Lenzhofer R, Lindner M, Moser A, Berger J, Schuschnigg C, Thurner J: Острая кишечная непроходимость кишечника при лимфангиэктазии кишечника. Clin Investig. 1993, 71: 568-571. 10.1007 / BF00208483.
CAS
Статья
PubMed
Google ученый
О’Дрисколл Дж. Б., Чалмерс Р. Дж., Варнес Т. В.: Хилезный рефлюкс в кожу живота, имитирующий окружную лимфангиому у пациента с первичной кишечной лимфангиэктазией.Clin Exp Dermatol. 1991, 16: 124-126. 10.1111 / j.1365-2230.1991.tb00322.x.
Артикул
PubMed
Google ученый
Карг Э., Берецки С., Ковач Дж., Кором И., Варконьи А., Мегери П., Тури С. Первичный лимфатический отек, связанный с ксантоматозом, вагинальной лимфореей и кишечной лимфангиэктазией.
Br J Dermatol. 2002, 146: 134-137. 10.1046 / j.1365-2133.2002.04477.x.
CAS
Статья
PubMed
Google ученый
Перишич В.Н., Кокай Г.: Целиакия и лимфангиэктазия. Arch Dis Child. 1992, 67: 134-136.
PubMed Central
CAS
Статья
PubMed
Google ученый
Иида Ф, Вада Р., Сато А., Ямада Т.: Клинико-патологическое рассмотрение энтеропатии с потерей белка из-за лимфангиэктазии кишечника. Surg Gynecol Obstet. 1980, 151: 391-395.
CAS
PubMed
Google ученый
Baricault S, Soubrane JC, Courville P, Young P, Joly P: Erythème nécrolytique migrateur au cours d’une maladie de Waldmann.
Ann Dermatol Venereol. 2006, 133: 693-696.
CAS
Статья
PubMed
Google ученый
Калман С., Баккалоглу С., Далгич Б., Озкая О., Сойлемезоглу О., Буян Н.: Рецидивирующий гемолитико-уремический синдром, связанный с кишечной лимфангиэктазией. J Nephrol. 2007, 20: 246-249.
CAS
PubMed
Google ученый
Сахли Х, Бен Мбарек Р., Эллух М., Аззуз Д., Меддеб Н., Шеур Э., Аззуз М. М., Селлами С. Остеомаляция у пациента с первичным кишечным лимфангиэктазом (болезнь Вальдмана). Костный сустав позвоночника. 2008, 75: 73-75. 10.1016 / j.jbspin.2007.01.045.
CAS
Статья
PubMed
Google ученый
Herfarth H, Hofstädter F, Feuerbach S, Jürgen Schlitt H, Schölmerich J, Rogler G: Случай рецидивирующего желудочно-кишечного кровотечения и гастроэнтеропатии с потерей белка.Нат Клин Практ Гастроэнтерол Гепатол. 2007, 4: 288-293. 10.1038 / ncpgasthep0812.
Артикул
PubMed
Google ученый
Samman P, White WF: Синдром «желтого гвоздя». Br J Dermatol. 1964, 76: 153-157. 10.1111 / j.1365-2133.1964.tb14499.x.
CAS
Статья
PubMed
Google ученый
Hennekam RC, Geerdink RA, Hamel BC, Hennekam FA, Kraus P, Rammeloo JA, Tillemans AA: Аутосомно-рецессивная кишечная лимфангиэктазия и лимфедема с лицевыми аномалиями и умственной отсталостью.Am J Med Genet.
1989, 34: 593-600. 10.1002 / ajmg.1320340429.
CAS
Статья
PubMed
Google ученый
Хокари Р., Китагава Н., Ватанабе С., Комото С., Курихара С., Окада Ю., Кавагути А., Нагао С., Хиби Т., Миура С. Изменения в молекулах, регулирующих лимфангиогенез при кишечной лимфангиэктазии с потерей кишечного белка. J Gastroenterol Hepatol 2007 в печати. 14 ноября 2007 г.
Google ученый
Chamouard P, Nehme-Schuster H, Simler JM, Finck G, Baumann R, Pasquali JL: Видеокапсульная эндоскопия полезна для диагностики кишечной лимфангиэктазии. Dig Liver Dis. 2006, 38: 699-703. 10.1016 / j.dld.2006.01.027.
CAS
Статья
PubMed
Google ученый
Vignes S, Bellanger J: Intérêt de l’entéroscopie par vidéocapsule dans le диагностический примитивных лимфангиэктазий кишечника. Rev Med Interne.2007, 28: 173-175.
CAS
Статья
PubMed
Google ученый
Fang YH, Zhang BL, Wu JG, Chen CX: пациент с первичной кишечной лимфангиэктазией, диагностированный с помощью капсульной эндоскопии и подтвержденный во время операции: описание случая. Мир Дж. Гастроэнтерол. 2007, 13: 2263-2265.
PubMed Central
Статья
PubMed
Google ученый
Rivet C, Lapalus MG, Dumortier J, Le Gall C, Budin C, Bouvier R, Ponchon T., Lachaux A: Использование капсульной эндоскопии у детей с первичной кишечной лимфангиэктазией.
Gastrointest Endosc. 2006, 64: 649-650. 10.1016 / j.gie.2006.03.008.
Артикул
PubMed
Google ученый
Chiu NT, Lee BF, Hwang SJ, Chang JM, Liu GC, Yu HS: энтеропатия с потерей белка: диагностика с помощью сцинтиграфии человеческого сывороточного альбумина, меченной 99mTc. Радиология. 2001, 219: 86-90.
CAS
Статья
PubMed
Google ученый
Дорн Х.Л., Жекье С. Сонография кишечной лимфангиэктазии.J Ultrasound Med. 1986, 5: 13-16.
CAS
PubMed
Google ученый
Maconi G, Molteni P, Manzionna G, Parente F, Bianchi Porro G: Ультрасонографические признаки длительной первичной кишечной лимфангиэктазии.
Eur J Ultrasound. 1998, 7: 195-198. 10.1016 / S0929-8266 (98) 00037-8.
CAS
Статья
PubMed
Google ученый
Фахри А., Фишман Е.К., Джонс Б., Кухаджа Ф., Сигельман С.С.: Первичная кишечная лимфангиэктазия: клинические данные и результаты компьютерной томографии.J Comput Assist Tomogr. 1985, 9: 767-770.
CAS
PubMed
Google ученый
Стивенс Р.Л., Джонс Б., Фишман Е.К .: Знак ореола CT: новое открытие в кишечной лимфангиэктазии. J Comput Assist Tomogr. 1997, 21: 1005-1007. 10.1097 / 00004728-199711000-00029.
CAS
Статья
PubMed
Google ученый
Mazzie JP, Maslin PI, Moy L, Price AP, Katz DS: Врожденная кишечная лимфангиэктазия: демонстрация компьютерной томографии у маленького ребенка.Clin Imaging. 2003, 27: 330-332. 10.1016 / S0899-7071 (02) 00588-0.
Артикул
PubMed
Google ученый
Ян Д.М., Юнг Д.Х.: Локализованная лимфангиэктазия: результаты компьютерной томографии. Локализованная кишечная лимфангиэктазия: результаты КТ. AJR Am J Roentgenol. 2003, 180: 213-214.
Артикул
PubMed
Google ученый
Бернанд К.Г., МакГиннесс С.Л., Лагаттолла Н.Р., Обзор Н.Л., Эль-Аради А., Нунан Т.: Значение изотопной лимфографии в диагностике лимфатического отека ноги.Br J Surg. 2002, 89: 74-78. 10.
1046 / j.0007-1323.2001.01964.x.
CAS
Статья
PubMed
Google ученый
So Y, Chung JK, Seo JK, Ko JS, Kim JY, Lee DS, Lee MC: Различные модели лимфосцинтиграфических находок у пациентов с кишечной лимфангиэктазией. Nucl Med Commun. 2001, 22: 1249-1254. 10.1097 / 00006231-200111000-00013.
CAS
Статья
PubMed
Google ученый
Strober W, Wochener RD, Carbone PP, Waldmann TA: Кишечная лимфангиэктазия: энтеропатия с потерей белка с гипогаммаглобулинемией, лимфоцитопенией и нарушением отторжения гомотрансплантата. J Clin Invest. 1967, 46: 1643-1656.
PubMed Central
CAS
Статья
PubMed
Google ученый
Weiden PL, Blaese RM, Strober W., Block JB, Waldmann TA: Нарушение трансформации лимфоцитов при кишечной лимфангиэктазии: доказательства по крайней мере двух функционально различных популяций лимфоцитов у человека.J Clin Invest. 1972, 51: 1319-1325. 10.1172 / JCI106928.
PubMed Central
CAS
Статья
PubMed
Google ученый
Heresbach D, Raoul JL, Genetet N, Noret P, Siproudhis L, Ramee MP, Bretagne JF, Gosselin M: Иммунологическое исследование при первичной кишечной лимфангиэктазии. Пищеварение. 1994, 55: 59-64.
CAS
Статья
PubMed
Google ученый
Fuss IJ, Strober W, Cuccherini BA, Pearlstein GR, Bossuyt X, Brown M, Fleisher TA, Horgan K: Кишечная лимфангиэктазия, заболевание, характеризующееся избирательной потерей наивных лимфоцитов CD45RA + в желудочно-кишечный тракт. Eur J Immunol. 1998, 28: 4275-4285. 10.1002 / (SICI) 1521-4141 (199812) 28:12 <4275 :: AID-IMMU4275> 3.0.CO; 2-P.
CAS
Статья
PubMed
Google ученый
Дэвидсон Д.Д., Вальдманн Т.А., Гудман Д.С., Гордон Р.С.: Гастроэнтеропатия с потерей белка при застойной сердечной недостаточности.Ланцет. 1961, 1: 899-902. 10.1016 / S0140-6736 (61) 91768-8.
CAS
Статья
PubMed
Google ученый
Петерсен В.П., Хаструп Дж .: Энтеропатия с потерей белка при констриктивном перикардите. Acta Med Scand. 1963, 173: 401-410.
CAS
Статья
PubMed
Google ученый
Уилкинсон П., Пинто Б., старший младший: Обратимая энтеропатия с потерей белка с кишечной лимфангиэктазией, вторичной по отношению к хроническому констриктивному перикардиту.N Engl J Med. 1965, 273: 1178-1181.
CAS
Статья
PubMed
Google ученый
Sum PT, Hoffman MM, Webster DR: Гастроэнтеропатия с потерей белка у пациентов с раком желудочно-кишечного тракта. Может J Surg. 1964, 7: 1-5.
CAS
PubMed
Google ученый
Дуглас А.П., Уитман А.П., Хаггит Дж.В.: Распределение и кишечная потеря 51 Cr-меченных лимфоцитов у здоровых субъектов и у пациентов с целиакией и другими заболеваниями тонкой кишки.Пищеварение. 1976, 14: 29-43. 10.1159 / 000114723.
CAS
Статья
PubMed
Google ученый
Мистилис С.П., Скайринг А.П., Стивен Д.Д.: Кишечная лимфангиэктазия — механизм кишечной потери белков и жиров плазмы. Ланцет. 1965, 42: 77-79. 10.1016 / S0140-6736 (65) 91657-0.
Артикул
Google ученый
Laster L, Waldmann TA, Fenster LF, Singleton JW: Метаболизм альбумина у пациентов с болезнью Уиппла.J Clin Invest. 1966, 45: 637-644. 10.1172 / JCI105379.
PubMed Central
CAS
Статья
PubMed
Google ученый
Steinfeld JL, Davidson JD, Gordon RS, Grenne FE: Механизм гипопротеинемии у пациентов с регионарным энтеритом и язвенным колитом. Am J Med. 1960, 29: 405-415. 10.1016 / 0002-9343 (60)
-Х.
CAS
Статья
PubMed
Google ученый
Popovic OS, Brkic S, Bojic P, Kenic V, Jojic N, Djuric V, Djordjevic N: саркоидоз и энтеропатия с потерей белка. Гастроэнтерология. 1980, 78: 119-125.
CAS
PubMed
Google ученый
Ploddi A, Atisook K, Hargrove NS: Кишечная лимфангиэктазия при внутрибрюшном туберкулезе. J Med Assoc Thai. 1988, 71: 518-523.
CAS
PubMed
Google ученый
ван Тилбург AJ, ван Бланкенштейн M, Verschoor L: Кишечная лимфангиэктазия при системном склерозе. Am J Gastroenterol. 1988, 83: 1418-1419.
CAS
PubMed
Google ученый
Рао С.С., Дандас С., Холдсворт К.Д.: Кишечная лимфангиэктазия, вторичная после лучевой терапии и химиотерапии. Dig Dis Sci. 1987, 32: 939-942. 10.1007 / BF01296718.
CAS
Статья
PubMed
Google ученый
Стокманн М., Фромм М., Шмитц Х., Шмидт В., Рикен Е.О., Шульцке Дж. Д.: Биопсия двенадцатиперстной кишки у ВИЧ-инфицированных пациентов с диареей выявляет дефекты эпителиального барьера, но не активную секрецию. СПИД. 1998, 12: 43-51. 10.1097 / 00002030-199801000-00006.
CAS
Статья
PubMed
Google ученый
Mertens L, Hagler DJ, Sauer U, Somerville J, Gewillig M: энтеропатия с потерей белка после операции Фонтана: международное многоцентровое исследование.Учебная группа PLE. J Thorac Cardiovasc Surg. 1998, 115: 1063-1073. 10.1016 / S0022-5223 (98) 70406-4.
CAS
Статья
PubMed
Google ученый
Weiser MM, Andres GA, Brentjens JR, Evans JT, Reichlin M: Системная красная волчанка и кишечный венулит. Гастроэнтерология. 1981, 81: 570-579.
CAS
PubMed
Google ученый
Кобаяси К., Асакура Х, Шинозава Т., Йошида С., Итикава Ю., Цутия М., Браун В. Р.: Энтеропатия с потерей белка при системной красной волчанке.Наблюдения при увеличительной эндоскопии. Dig Dis Sci. 1989, 34: 1924-1928. 10.1007 / BF01536713.
CAS
Статья
PubMed
Google ученый
Эдуорти С.М., Фритцлер М.Дж., Келли Дж.К., Макхэтти Дж.Д., Шаффер Э.А.: Энтеропатия с потерей белка при системной красной волчанке, связанной с лимфангиэктазией кишечника. Am J Gastroenterol. 1990, 85: 1398-1402.
CAS
PubMed
Google ученый
Gattorno M, Buoncompagni A, Barabino A, Barbano G, Loy A, Toma P, Picco P, Marmont AM: тяжелая гипоальбуминемия у пациента с системной красной волчанкой. Eur J Pediatr. 2002, 161: 84-86. 10.1007 / s00431-001-0868-6.
Артикул
PubMed
Google ученый
Вальдманн Т.А., Штробер В., Блейз Р.М.: Иммунодефицитная болезнь и злокачественные новообразования. Ann Intern Med. 1972, 77: 605-628.
Артикул
Google ученый
Bouhnik Y, Etienney I, Nemeth J, Thevenot T, Lavergne-Slove A, Matuchansky C: В-клеточная лимфома тонкого кишечника с очень поздним началом, связанная с первичной кишечной лимфангиэктазией и диффузными кожными бородавками. Кишечник. 2000, 47: 296-300. 10.1136 / gut.47.2.296.
PubMed Central
CAS
Статья
PubMed
Google ученый
Broder S, Callihan TR, Jaffe ES, DeVita VT, Strober W., Bartter FC, Waldmann TA: Разрешение длительной энтеропатии с потерей белка у пациента с кишечной лимфангиэктазией после лечения злокачественной лимфомы.Гастроэнтерология. 1981, 80: 166-168.
CAS
PubMed
Google ученый
Шпильберг О., Шимон И., Буяновер Ю., Бен-Бассат И.: Ремиссия мальабсорбции при врожденной кишечной лимфангиэктазии после химиотерапии лимфомы. Лимфома лейка. 1993, 11: 147-148. 10.3109 / 1042819930
43.
CAS
Статья
PubMed
Google ученый
Laharie D, Degenne V, Laharie H, Cazorla S, Belleannee G, Couzigou P, Amouretti M: Ремиссия энтеропатии с потерей белка после лечения узловой лимфомы у пациента с первичной кишечной лимфангиэктазией.Eur J Gastroenterol Hepatol. 2005, 17: 1417-1419. 10.1097 / 00042737-200512000-00024.
Артикул
PubMed
Google ученый
Ward M, Le Roux A, Small WP, Sircus W. Злокачественная лимфома и обширное вирусное образование бородавок у пациента с кишечной лимфангиэктазией и истощением лимфоцитов. Postgrad Med J. 1977, 53: 753-757.
PubMed Central
CAS
Статья
PubMed
Google ученый
Guma J, Rubio J, Masip C, Alvaro T, Borras JL: Агрессивная лимфома кишечника у пациента с кишечной лимфангиэктазией и широко распространенными вирусными бородавками. Энн Онкол. 1998, 9: 1355-1356. 10.1023 / А: 1008496
2.
CAS
Статья
PubMed
Google ученый
Hallevy C, Sperber AD, Almog Y: стрептококковая эмпиема группы G, осложняющая первичную кишечную лимфангиэктазию. J Clin Gastroenterol. 2003, 37: 270-10.1097 / 00004836-200309000-00015.
Артикул
PubMed
Google ученый
Коул С.Л., Ледфорд Д.К., Локки Р.Ф., Даас А., Купер Дж .: Первичная желудочно-кишечная лимфангиэктазия, проявляющаяся как криптококковый менингит. Ann Allergy Asthma Immunol. 2007, 98: 490-492.
Артикул
PubMed
Google ученый
Мари I, Левеск Х., Херон Ф., Куртуа Х., Каллат М. П.: Желатиновая трансформация костного мозга: необычное проявление кишечной лимфангиэктазии (болезнь Вальдмана).Am J Med. 1999, 107: 99-100. 10.1016 / S0002-9343 (99) 00035-2.
CAS
Статья
PubMed
Google ученый
Джеффрис GH, Champan A, Sleisenger MH: Низкожировая диета при кишечной лимфангиэктазии: ее влияние на метаболизм альбумина. N Engl J Med. 1964, 270: 761-766.
CAS
Статья
PubMed
Google ученый
Альфано В., Тритто Дж., Альфонси Л., Целла А., Пасаниси Ф., Контальдо Ф .: Устойчивое устранение патологических признаков примитивной кишечной лимфангиэктазии с помощью гиполипидной диеты, обогащенной МСТ.Питание. 2000, 16: 303-304. 10.1016 / S0899-9007 (00) 00223-9.
CAS
Статья
PubMed
Google ученый
Аояги К., Иида М., Мацумото Т., Сакисака С.: Энтеральное питание как первичная терапия кишечной лимфангиэктазии: значение элементарной диеты и полимерной диеты по сравнению с общим парентеральным питанием. Dig Dis Sci. 2005, 50: 1467-1470. 10.1007 / s10620-005-2863-7.
Артикул
PubMed
Google ученый
Mine K, Matsubayashi S, Nakai Y, Nakagawa T: Кишечная лимфангиэктазия заметно улучшилась с помощью антиплазминной терапии. Гастроэнтерология. 1989, 96: 1596-1599.
CAS
PubMed
Google ученый
MacLean JE, Cohen E, Weinstein M: Первичная кишечная и грудная лимфангиэктазия: ответ на терапию антиплазмином. Педиатрия. 2002, 109: 1177-1180. 10.1542 / пед.109.6.1177.
Артикул
PubMed
Google ученый
Ballinger AB, Farthing MJ: Октреотид в лечении кишечной лимфангиэктазии. Eur J Gastroenterol Hepatol. 1998, 10: 699-702.
CAS
PubMed
Google ученый
Куроива Г., Такаяма Т., Сато Ю., Такахаши Ю., Фудзита Т., Нобуока А., Кукицу Т., Като Дж., Сакамаки С., Ниицу Ю.: Первичная кишечная лимфангиэктазия успешно лечится октреотидом. J Gastroenterol. 2001, 36: 129-132. 10.1007 / s005350170142.
CAS
Статья
PubMed
Google ученый
Klingenberg RD, Homann N, Ludwig D: кишечная лимфангиэктазия I типа успешно лечится октреотидом с медленным высвобождением. Dig Dis Sci. 2003, 48: 1506-1509. 10.1023 / А: 1024707605493.
CAS
Статья
PubMed
Google ученый
Reichlin S: Соматостатин. N Engl J Med. 1983, 309: 1495-1501.
CAS
Статья
PubMed
Google ученый
Накабаяши Х., Сагара Х., Усукура Н., Йошимицу К., Имамура Т., Сета Т.: Влияние соматостатина на скорость потока и уровни триглицеридов лимфы грудного протока у здоровых собак и собак, перенесших ваготомию. Сахарный диабет. 1981, 30: 440-445.
CAS
Статья
PubMed
Google ученый
Warshaw AL, Waldmann TA, Laster L: энтеропатия с потерей белка и мальабсорбция при регионарном энтерите: лечение ограниченной резекцией подвздошной кишки. Ann Surg. 1973, 178: 578-580.10.1097 / 00000658-197311000-00004.
PubMed Central
CAS
Статья
PubMed
Google ученый
Chen CP, Chao Y, Li CP, Lo WC, Wu CW, Tsay SH, Lee RC, Chang FY: Хирургическая резекция двенадцатиперстной лимфангиэктазии: описание случая. Мир Дж. Гастроэнтерол. 2003, 9: 2880-2882.
PubMed Central
Статья
PubMed
Google ученый
Флейшер Т.А., Стробер В., Мучмор А.В., Бродер С., Кравитт Е.Л., Вальдманн Т.А.: Чувствительная к кортикостероидам кишечная лимфангиэктазия, вторичная по отношению к воспалительному процессу.N Engl J Med. 1979, 300: 605-606.
CAS
Статья
PubMed
Google ученый
Структура лимфедемы: лучший метод лечения лимфедемы. Международный консенсус. 2006, Лондон: MEP Ltd
Очерки патологии — лимфангиэктазия
Тонкая кишка и ампула
Доброкачественные опухоли / опухолевидные состояния
Лимфангиэктазия
Тема завершена: 3 сентября 2020 г.
Незначительные изменения: 3 сентября 2020 г.
Авторские права: 2003-2021, PathologyOutlines.com, Inc.
Поиск в PubMed: Лимфангиэктазия [TI] тонкая кишка [TIAB]
Просмотры страниц в 2020 году: 5,457
Просмотры страниц в 2021 году по настоящее время: 1,373
Цитируйте эту страницу: Kaur G, Vyas M. Lymphangiectasia. Сайт PathologyOutlines.com. https://www.pathologyoutlines.com/topic/smallbowellymphangiectasia.html. По состоянию на 2 марта 2021 г.
Определение / общее
- Расширенные молочные железы тонкой кишки, которые могут быть первичными или вторичными
- Первичная кишечная лимфангиэктазия — редкое заболевание, приводящее к утечке лимфы в просвет тонкой кишки и ответственное за энтеропатию с потерей белка, приводящую к лимфопении, гипоальбуминемии и гипогаммаглобулинемии (Orphanet J Rare Dis 2008; 3: 5)
Основные характеристики
- Лимфагиэктазия может быть первичной или вторичной; первичная кишечная лимфангиэктазия чаще встречается у детей, хотя в редких случаях она может проявляться в раннем взрослом возрасте и обычно связана с мальабсорбцией.
- Вторичная лимфангиэктазия часто наблюдается у взрослых и может быть связана с различными обструктивными / ограничивающими состояниями (описанными ниже), хотя исключение основного злокачественного новообразования остается основным соображением
- Микроскопия показывает расширенные лимфатические сосуды слизистой и подслизистой оболочки без значительной атрофии ворсинок или воспаления
Кодировка МКБ
- МКБ-10: K63.89 — Другие уточненные болезни кишечника
Эпидемиология
- В первую очередь поражает детей (обычно диагностируется до 3 лет) и молодых людей, но может быть диагностирован позже у взрослых (Orphanet J Rare Dis 2008; 3: 5)
- Сообщалось об очень редких семейных формах болезни Вальдмана.
Патофизиология
- На сегодняшний день этиология первичной кишечной лимфангиэктазии неизвестна.
- Некоторые гены, такие как VEGFR3 (рецептор 3 фактора роста эндотелия сосудов), гомеобоксный транскрипционный фактор, связанный с просперо, PROX1 , транскрипционный фактор вилки FOXC2 и SOX18 , участвуют в развитии лимфатической системы Редкий Диск 2008; 3: 5)
- Мутации в гене FOXC2 (MFh2) или делеция гена PIK3R1 могут привести к лимфангиэктазии, остановке лимфатического разрастания и дефектам созревания (World J Gastrointest Endosc 2011; 3: 235)
Этиология
- Этиология первичной кишечной лимфангиэктазии неизвестна
- Синдромы, связанные с первичной кишечной лимфангиэктазией, включают фон Реклингхаузена, Тернера или Нунана, Клиппель-Тренаунай и Хеннекам (Turk J Gastroenterol 2018; 29: 714)
- Некоторые вторичные причины кишечной лимфангиэктазии включают констриктивный перикардит, кишечную лимфому, лимфатический свищ, болезнь Уиппла, болезнь Крона, саркоидоз, туберкулез кишечника, системный склероз, лучевую терапию или химиотерапию с ретроперитонеальным фиброзом и вирусом иммунодефицита человека, относящимся к кишечнику 2008 г. ; 3: 5)
Клинические признаки
- Классическими симптомами являются двусторонний или односторонний отек нижних конечностей и перемежающаяся диарея (Am J Case Rep 2016; 17: 512)
- У некоторых пациентов развивается стеаторея
- Сообщалось о скоплении жидкости в полостях тела, приводящем к плевральному выпоту или асциту
- Лимфедема (Orphanet J Rare Dis 2008; 3: 5)
- У детей первичная кишечная лимфангиэктазия обычно диагностируется в возрасте до 3 лет и может осложняться усталостью, болью в животе, тошнотой, рвотой и потерей веса, неспособностью набрать вес и задержкой роста; мальабсорбция может вызвать дефицит жирорастворимых витаминов и гипокальциемию, ведущую к судорогам (Orphanet J Rare Dis 2008; 3: 5)
- Во вторичных случаях симптомы могут быть связаны с основным заболеванием
Лаборатория
- Гипопротеинемия, гипоальбунимия и гипогаммаглобунимия из-за потери белка (Orphanet J Rare Dis 2008; 3: 5)
- Экссудативная энтеропатия подтверждается высоким клиренсом альфа-1-антитрипсина в 24-часовом стуле из-за потери кишечного белка
- Тесты на функциональную абсорбцию, такие как результаты теста D-ксилозы, являются нормальными при первичной кишечной лимфангиэктазии
Описание радиологии
- Результаты ультразвукового исследования могут показать расширение кишечных петель, регулярное и диффузное утолщение стенок, гипертрофию пластинок и тяжелый отек брыжейки и, в некоторых случаях, асцит (Orphanet J Rare Dis 2008; 3: 5)
- Компьютерная томография может показать диффузное узловое утолщение стенки тонкой кишки и отек, которые являются следствием расширенных лимфатических сосудов внутри ворсинок наряду с некоторой степенью расширения тонкой кишки с (в некоторых случаях) признаком ореола из-за отека и отека ( Orphanet J Rare Dis 2008; 3: 5)
Факторы прогноза
- Первичная кишечная лимфангиэктазия — хроническое изнуряющее заболевание, требующее ограничения долгосрочного диетического контроля на основе режима с низким содержанием жиров, связанного с добавлением триглицеридов со средней длиной цепи (Orphanet J Rare Dis 2008; 3: 5)
- Первичная кишечная лимфангиэктазия может быть опасной для жизни при возникновении злокачественных осложнений (лимфома) или серозного выпота (плевральных, перикардических) (Orphanet J Rare Dis 2008; 3: 5)
Лечение
- Диета с низким содержанием жиров, связанная с дополнительными триглицеридами со средней длиной цепи, является краеугольным камнем медицинского лечения первичной кишечной лимфангиэктазии (Orphanet J Rare Dis 2008; 3: 5)
- Резекция тонкой кишки полезна в редких случаях, когда кишечная лимфангиэктазия является сегментарной и локализованной (двенадцатиперстная кишка)
- Стероиды были назначены пациентам с кишечной лимфангиэктазией, вторичной по отношению к воспалительному заболеванию, с различной эффективностью, а также пациентам с системной красной волчанкой и энтеропатией с потерей белка
- Лечение основного заболевания при вторичных причинах
Клинические изображения
Изображения, размещенные на других серверах:
Значительно расширенные лимфатические сосуды
Микроскопическое (гистологическое) описание
- Слизистые и подслизистые лимфатические сосуды расширены от умеренно до сильно с поликлональными нормальными плазматическими клетками (Orphanet J Rare Dis 2008; 3: 5)
- Кишечные лимфатические узлы могут быть расширены в нескольких или многих ворсинках
- Нет гистологической разницы между первичной и вторичной лимфангиэктазией
Микроскопические (гистологические) изображения
Предоставлено Моникой Вяс, М.Д.
Эктатическая лимфатическая система
Расширенные лимфатические каналы
Полиповидное поражение
Неправильно расширенные лимфатические сосуды
Положительные пятна
- Лимфатические сосуды положительные на D2-40
Образец отчета о патологии
- Тонкая кишка, биопсия:
- Лимфангиэктазия тонкой кишки (см. Комментарий)
- Комментарий: Лимфангиэктазия тонкой кишки может быть первичной или вторичной по отношению к другим состояниям, таким как констриктивный перикардит, лимфома кишечника, лимфатический свищ, болезнь Уиппла, болезнь Крона, саркоидоз, туберкулез кишечника, системный склероз, лучевая терапия или химиотерапия с вирусом ретроперитонеального фиброза. родственная энтеропатия.
Дифференциальный диагноз
- Лимфангиома (Am J Clin Pathol 2015; 144: 563):
- Представляет собой дискретное поражение
- Наиболее надежными гистологическими признаками, отличающими лимфангиому от лимфангиоэктазии, являются наличие гладких мышц, окружающих лимфатические пространства, и полное периферийное выстиление пространств клетками эндотелиального типа, присутствующими в лимфангиоме.
- Лимфоидные агрегаты часто можно увидеть в лимфангиомах
Вопрос стиля проверки совета директоров № 1
Больной 10 лет обратился с двухсторонним отеком ног и диареей.Лабораторная оценка показала гипоальбуминемию и гипогаммаглобинемию. Никаких других отклонений не обнаружено. Выполненная капсульная эндоскопия показала белую гранулярную поверхность в тонкой кишке. Была выполнена биопсия, которая показала расширенные пространства в слизистой и подслизистой оболочке. Выполненное окрашивание PAS отрицательно. Какая наиболее вероятная причина основного состояния пациента?
- Болезнь Крона
- Первичная лимфангиэктазия
- Язвенный колит
- Болезнь Уиппла
Вернуться наверх
Лимфангиэктазия кишечника — обзор
Клинические признаки и ассоциации
Лимфангиэктазия кишечника может быть первичной или вторичной (Таблица 9-5).У пациентов наблюдаются энтеропатия с потерей белка и мальабсорбция, гипоальбуминемия, гипогаммаглобулинемия и лимфопения, что приводит к вторичному иммунодефициту. Первичные нарушения, которые возникают в результате врожденной обструкции лимфатического потока или аномальных лимфатических структур, могут ограничиваться лимфатическими сосудами кишечника, как при первичной лимфангиэктазии, 155 , или могут затрагивать несколько органов, например, при наследственной лимфедеме, также известной как болезнь Милроя. Это нарушение связано с мутациями в гене фактора 3 рецептора роста эндотелия сосудов. 156–158 Другие заболевания, такие как синдромы Хеннекама и Уриосте, могут быть связаны с врожденными пороками развития. 159–161 Кишечная лимфангиэктазия также сообщалось у недоношенных детей. 162 Было высказано предположение, что врожденная гипоплазия лимфатических сосудов может также вызывать энтеропатию с потерей белка у новорожденных. 163
Вторичная лимфангиэктазия может быть центральной, вызванной сердечным заболеванием или местной обструкцией лимфатических сосудов, вызванной множеством причин.У детей вторичный иммунодефицит, возникающий в результате значительной потери белка в стуле, был зарегистрирован с мальротацией кишечника и кавернозной гемангиомой тощей кишки. 164 Сердечные причины лимфангиэктазии с энтеропатией с потерей белка обычно возникают в результате обструкции системного венозного возврата или хирургических процедур, вызывающих повышение системного венозного давления. 165 , 166 Энтеропатия с потерей белка встречается у 10% пациентов, перенесших операцию Фонтана по коррекции атрезии трикуспидального клапана и других правосторонних пороков сердца, и имеет плохой прогноз с 5-летним периодом. выживаемость около 50%. 167 Эта процедура создает прямую связь между системным венозным возвратом и системой легочной артерии, что приводит к хронически устойчивому повышению системного венозного давления. 168–170 К сопутствующим факторам, которые могут способствовать энтеропатии с потерей белка у этих пациентов, относятся медиаторы воспаления, снижение содержания гепарансульфата в энтероцитах и хроническая ишемия брыжейки. 167 , 171 Локализованные формы кишечной лимфангиэктазии поддаются хирургической резекции. 167 , 171 , 172
(PDF) Кишечная лимфангиэктазия у взрослых
Трансформация с лимфомой со средней продолжительностью
до диагноза лимфомы старше 30 лет.
ССЫЛКИ
1 Вальдманн Т.А., Стейнфельд Дж. Л., Датчер Т.Ф., Дэвидсон Дж. Д., Гор-
Дон Р.С. Младший. Роль желудочно-кишечной системы в «идио-
патической гипопротеинемии». Гастроэнтерология 1961; 41: 197-207
2 Freeman HJ.Биопсия слизистой оболочки тонкого кишечника для исследования диареи и мальабсорбции у взрослых. Гастроинтест
Endosc Clin N Am 2000; 10: 739-753, vii
3 Hart MH, Vanderhoof JA, Antonson DL. Неудача слепой биопсии тонкой кишки
в диагностике кишечной лимфанги-
гиэктазии. J Pediatr Gastroenterol Nutr 1987; 6: 803-805
4 Hokari R, Kitagawa N, Watanabe C, Komoto S, Kurihara C,
Okada Y, Kawaguchi A, Nagao S, Hibi T, Miura S.Изменения
в регуляторных молекулах лимфангиогенеза при кишечной
лимфангиэктазии с потерей кишечного белка. J Gastroenterol
Hepatol 2008; 23: e88-e95
5 Schmider A, Henrich W, Reles A, Vogel M, Dudenhausen
JW. Изолированный асцит плода, вызванный первичной лимфангиэктазией —
sia: описание случая. Am J Obstet Gynecol 2001; 184: 227-228
6 Vignes S, Bellanger J. Первичная кишечная лимфангиэктазия
(болезнь Вальдмана).Orphanet J Rare Dis 2008; 3: 5
7 Ким Дж. Х., Бак Й. Т., Ким Дж. С., Сеол С. И., Шин Б. К., Ким Х. К.. Clini-
Значение двенадцатиперстной лимфангиэктазии случайно
обнаружено во время рутинной эндоскопии верхних отделов желудочно-кишечного тракта.
Эндоскопия 2009; 41: 510-515
8 Рао Р., Шашидхар Х. Наличие кишечной лимфангиэктазии —
в виде новообразования в брюшной полости. Гастроинтест Эндоск 2007; 65: 522-523,
обсуждение 523
9 Colizza S, Tiso B, Bracci F, Cudemo RG, Bigotti A, Crisci
E.Кистозная лимфангиома желудка и тощей кишки: отчет о
одном случае. J Surg Oncol 1981; 17: 169-176
10 Камиллери М., Сатти МБ, Вуд CB. Кистозная лимфангиома
ободочной кишки. Эндоскопические и гистологические особенности. Dis Colon Rec-
Tum 1982; 25: 813-816
11 Дэвис М., Фенолио-Прейзер С., Хак А.К. Кавернозная лимфатическая ангиома двенадцатиперстной кишки
: описание случая и обзор литературы
. Гастроинтест Радиол 1987; 12: 10-12
12 Ленцхофер Р., Линднер М., Мозер А., Бергер Дж., Шушниг С.,
Тернер Дж.Острая кишечная непроходимость тонкой кишки при кишечной лимфангиэктазии.
Clin Investigation 1993; 71: 568-571
13 Perisic VN, Kokai G. Целиакия и лимфангиэктазия.
Arch Dis Child 1992; 67. Surg Gynecol Obstet 1980; 151:
391-395
15 Herfarth H, Hofstädter F, Feuerbach S, Jürgen Schlitt H,
Schölmerich J, Rogler G.Случай рецидивирующего желудочно-кишечного кровотечения
и гастроэнтеропатии с потерей белка. Нат Клин
Прак Гастроэнтерол Гепатол 2007; 4: 288-293
16 Баичи М.М., Арифуддин Р.М., Мантри П.С. Острое гастроинтестическое кровотечение из очаговой двенадцатиперстной лимфангиэктазии. Scand J
Гастроэнтерол 2007; 42: 1269-1270
17 Лом Дж., Дере Т., Обидин К. Кишечная лимфангиэктазия
, вызывающая массивное желудочно-кишечное кровотечение. J Clin Gastroenterol
2010; 44: 74-75
18 Макдональд Дж., Портер В., Скотт Н.В., Макнамара Д.Тонкая кишка
лимфангиэктазия и ангиодисплазия: положительная связь;
Новый клинический маркер или общая патофизиология? J Clin Gas-
троэнтерол 2010; 44: 610-614
19 Kalman S, Bakkalolu S, Dalgiç B, Ozkaya O, Söylemezolu O,
Buyan N. Рецидивирующий гемолитико-уремический синдром, связанный
с кишечной лимфангиэктазией. J Nephrol 2007; 20: 246-249
20 Сахли Х., Бен Мбарек Р., Эллух М., Аззуз Д., Меддеб Н.,
Шеур Е., Аззуз М.М., Селлами С.Остеомаляция у больного
с первичным кишечным лимфангиэктазом (легкость по болезни Вальдмана
). Joint Bone Spine 2008; 75: 73-75
21 Лу YY, Wu JF, Ni YH, Peng SS, Shun CT, Chang MH. Гипо-
кальциемия и тетания, вызванные дефицитом витамина D у ребенка
с кишечной лимфангиэктазией. J Formos Med Assoc 2009;
108: 814-818
22 Samman PD, White WF. Синдром «желтого ногтя». Br J
Dermatol 1964; 76: 153-157
23 Берекет А., Ловенхайм М., Блетен С.Л., Кейн П., Уилсон Т.А.
Кишечная лимфангиэктазия у пациента с аутоиммунным заболеванием
полигландулярная болезнь I типа и стеаторея. J Clin Endocri-
nol Metab 1995; 80: 933-935
24 Махария Г.К., Тандон Н., Стивен Нде Дж., Гупта С.Д., Тан-
дон РК. Первичная кишечная лимфангиэктазия как компонент аутоиммунного полигландулярного синдрома I типа:
сообщений о 2 случаях. Индийский J Gastroenterol 2007; 26: 293-295
25 Cammarota G, Cianci R, Gasbarrini G.Mag-
видеоэндоскопия высокого разрешения при первичной лимфангией кишечника
tasia: новая роль эндоскопии? Эндоскопия 2005; 37: 607
26 Ким Дж. Х., Бак Й. Т., Ким Дж. С., Сеол С. И., Шин Б. К., Ким Х. К.. Clini-
Значение двенадцатиперстной лимфангиэктазии случайно
обнаружено во время рутинной эндоскопии верхних отделов желудочно-кишечного тракта.
Эндоскопия 2009; 41: 510-515
27 Maunoury V, Plane C, Cortot A. Лимфангиэктазия в
Болезнь Вальдмана.Клин Гастроэнтерол Гепатол 2005; 3: xxxiii
28 Danielsson A, Toth E, Thorlacius H. Капсульная эндоскопия в
ведении пациента с редким синдромом — желтым
ногтевым синдромом с кишечной лимфангиэктазией. Gut 2006;
55: 196, 233
29 Фанг YH, Zhang BL, Wu JG, Chen CX. Пациент с первичной кишечной лимфангиэктазией
, диагностированный при капсульной эндоскопии
и подтвержденный во время операции: описание случая. World J Gastroenterol
2007; 13: 2263-2265
30 Fry LC, Bellutti M, Neumann H, Malfertheiner P, Monke-
Muller K.Полезность энтероскопии с двумя баллонами для оценки мальабсорбции
. Dig Dis 2008; 26: 134-139
31 Bellutti M, Mönkemüller K, Fry LC, Dombrowski F, Malfer-
theiner P. Характеристика желтых бляшек, обнаруженных в тонкой кишке
во время двойной баллонной энтероскопии. Эндоскопия
2007; 39: 1059-1063
32 Лю Н.Ф., Лу Цюй, Ван К.Г., Чжоу Дж. Магнитно-резонансная им-
старение как новый метод диагностики потери белка энтеропа-
th.Лимфология 2008; 41: 111-115
33 Strober W, Wochner RD, Carbone PP, Waldmann TA. Intes-
тинальная лимфангиэктазия: энтеропатия с потерей белка с гипогаммаглобулинемией
, лимфоцитопенией и нарушением отторжения гомотрансплантата
. J Clin Invest 1967; 46: 1643-1656
34 Weiden PL, Blaese RM, Strober W, Block JB, Waldmann TA.
Нарушение трансформации лимфоцитов в кишечных лимфанах
гиэктазии: доказательства наличия по крайней мере двух функционально различных популяций лимфоцитов
у человека.J Clin Invest 1972; 51: 1319-1325
35 Heresbach D, Raoul JL, Genetet N, Noret P, Siproudhis L,
Ramée MP, Bretagne JF, Gosselin M. Иммунологическое исследование при первичной кишечной лимфангиэктазии
. Пищеварение 1994; 55: 59-64
36 Fuss IJ, Strober W., Cuccherini BA, Pearlstein GR, Bossuyt
X, Brown M., Fleisher TA, Horgan K. Кишечная лимфанальная —
гэктазия, заболевание, характеризующееся избирательной потерей наивных
CD45RA + лимфоцитов в желудочно-кишечный тракт.Eur J
Immunol 1998; 28: 4275-4285
37 Vignes S, Carcelain G. Повышенные уровни поверхностных рецепторов Fas (CD95)
на CD4 + лимфоцитах у пациентов с первичной in-
лимфангиэктазией яичка. Сканд Дж Гастроэнтерол 2009; 44:
252-256
38 Chiu NT, Lee BF, Hwang SJ, Chang JM, Liu GC, Yu HS. Pro-
энтеропатия с потерей теина: диагностика с помощью (99m) Tc-меченного hu-
сцинтиграфия сывороточного альбумина человека. Радиология 2001; 219: 86-90
39 Maconi G, Molteni P, Manzionna G, Parente F, Bianchi Porro
G.Ультрасонографические особенности длительной первичной кишечной лимфангиэктазии.


Aristide Briand, 94110 Arcueil, France; 2 Clinique des Cerisioz, Route de Saint-Symphorien-d’Ozon 69800 Saint-Priest France; 3 Laboratoire d‘Anatomie Pathologique Vétérinaire du Sud-Ouest, 129, route de Blagnac 31201 Toulouse cedex 2, France; 4 Laboratoire Biomnis, 17/19 avenue Tony Garnier, 69007 Lyon, France; 5 StemCell2Max Biocant Park Nucleo 04, Lote 02 3060-197 Cantanhede Portugal.
ESCCAP Guideline 01 Third Edition– July 2017