Субдуральная гематома — причины, симптомы, диагностика и лечение

Субдуральная гематома — ограниченное внутричерепное скопление крови, локализующееся между твердой и арахноидальной мозговыми оболочками. В большинстве случаев является следствием травмы. Проявляется вариативными по форме и длительности нарушениями сознания и психики, головной болью, рвотами, очаговым неврологическим дефицитом (мидриаз, гемипарез, экстрапирамидные расстройства). Решающую роль в диагностике имеют данные КТ или МРТ. В легких случаях достаточным является консервативное лечение (антифибринолитическое, противоотечное, симптоматическое), но чаще требуется хирургическое удаление гематомы.
Общие сведения
Субдуральная гематома — локальное скопление крови, находящееся между твердой и паутинной (арахноидальной) церебральными оболочками. Составляет около 40% от всех внутричерепных кровоизлияний, к которым также относятся эпидуральные и внутримозговые гематомы, желудочковые и субарахноидальные кровоизлияния. В преобладающем большинстве наблюдений субдуральная гематома выступает следствием черепно-мозговой травмы, частота ее встречаемости при тяжелой ЧМТ доходит до 22%. Гематомы субдуральной локализации могут возникать в любом возрасте, но чаще наблюдаются у людей старше 40 лет. Среди пациентов соотношение мужчин к женщинам составляет 3:1.
Субдуральные гематомы классифицируют на острые (проявляющиеся в первые 3-е суток ЧМТ), подострые (проявляющиеся в период от 3-х суток до 2-х недель с момента травмы) и хронические (проявляющиеся позднее 2-х недель). Согласно МКБ-10, выделяют нетравматическое и травматическое субдуральное кровоизлияние с наличием/отсутствием проникающей в череп раны. В клинической практике субдуральная гематома является предметом изучения для специалистов в области травматологии, нейрохирургии и неврологии.

Субдуральная гематома
Причины
Субдуральная гематома формируется преимущественно вследствие возникающего в результате ЧМТ разрыва интракраниальных вен, проходящих в субдуральном пространстве. Гораздо реже она возникает вследствие сосудистой церебральной патологии (артерио-венозных мальформаций и аневризм церебральных сосудов, гипертонической болезни, системного васкулита) и нарушений свертывания крови (коагулопатии, терапии антикоагулянтами). Отличием от эпидуральной гематомы является возможность двустороннего образования субдуральной гематомы.
Субдуральная гематома на стороне действия повреждающего агента (гомолатеральная гематома) образуется при малоподвижной голове и небольшой площади контакта с травмирующим предметом. Формирование гематомы возможно и без прямого контакта черепа с травмирующим фактором. Это может произойти при резкой остановке или перемене направления движения. Например, во время езды в транспорте, при падении на ягодицы или на ноги. Происходящее при этом резкое встряхивание головы обуславливает смещение полушарий мозга внутри черепной коробки, влекущее за собой разрыв интракраниальных вен.
Субдуральная гематома, противоположная стороне повреждения, носит название контрлатеральной. Она формируется при ударе черепа о массивный малоподвижный объект или при действии на неподвижную голову травмирующего предмета с большой площадью контакта. Контрлатеральная субдуральная гематома часто связана с разрывом вен, которые впадают в сагиттальный венозный синус. Намного реже гематомы субдурального пространства обусловлены непосредственным травмированием вен и артерий мозговой коры, происходящем при разрыве твердой церебральной оболочки. На практике часто наблюдаются двусторонние субдуральные гематомы, что связано с одновременным приложением нескольких механизмов травмирования.
Острая субдуральная гематома формируется преимущественно при тяжелой ЧМТ, подострая или хроническая — при легких формах ЧМТ. Хроническая субдуральная гематома заключена в капсулу, которая образуется спустя неделю после травмы благодаря активации фибробластов твердой оболочки мозга. Ее клинические проявления обусловлены нарастающим увеличением объема.

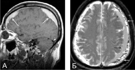
МРТ головного мозга. Массивная двухсторонняя хроническая субдуральная гематома.
Симптомы
Общемозговые симптомы
Среди общемозговых проявлений отмечаются расстройства сознания, нарушения психики, цефалгия (головная боль) и рвота. В классическом варианте характерна трёхфазность нарушений сознания: утрата сознания после ЧМТ, последующее восстановление на какое-то время, обозначаемое как светлый промежуток, затем повторная утрата сознания. Однако классическая клиника встречается достаточно редко. Если субдуральное кровоизлияние сочетается с ушибом головного мозга, то светлый промежуток вообще отсутствует. В других случаях он имеет стертый характер.
Длительность светлого промежутка весьма вариабельна: при острой гематоме — несколько минут или часов, при подострой — до нескольких суток, при хронической — несколько недель или месяцев, а иногда и несколько лет. В случае длительного светлого промежутка хронической гематомы его окончание может быть спровоцировано перепадами артериального давления, повторной травмой и др. факторами.
Среди нарушений сознания преобладают дезинтеграционные проявления: сумеречное состояние, делирий, аменция, онейроид. Возможны расстройства памяти, корсаковский синдром, «лобная» психика (эйфория, отсутствие критики, нелепое поведение). Зачастую отмечается психомоторное возбуждение. В ряде случаев наблюдаются генерализованные эпиприступы.
Пациенты, если возможен контакт, жалуются на головную боль, дискомфорт при движении глазными яблоками, головокружение, иррадиацию боли в затылок и глаза, гиперчувствительность к свету. Во многих случаях больные указывают на усиление цефалгии после рвоты. Отмечается ретроградная амнезия. При хронических гематомах возможно снижение зрения. Острые субдуральные гематомы, приводящие к компрессии мозга и масс-эффекту (дислокационному синдрому), сопровождаются признаками поражения мозгового ствола: артериальной гипотонией или гипертензией, дыхательными нарушениями, генерализованными расстройствами тонуса мышц и рефлексов.
Очаговые симптомы
Наиболее важным очаговым симптомом выступает мидриаз (расширение зрачка). В 60% случаев острая субдуральная гематома характеризуется мидриазом на стороне ее локализации. Мидриаз противоположного зрачка встречается при сочетании гематомы с очагом ушиба в другом полушарии. Мидриаз, сопровождающийся отсутствием или снижением реакции на свет, типичен для острых гематом, с сохранной реакцией на свет — для подострых и хронических. Мидриаз может сочетаться с птозом и глазодвигательными нарушениями.
Среди очаговой симптоматики можно отметить центральный гемипарез и недостаточность VII пары (лицевого нерва). Нарушения речи, как правило, возникают, если субдуральная гематома располагается в оболочках доминантного полушария. Сенсорные расстройства наблюдаются реже пирамидных нарушений, затрагивают как поверхностные, так и глубокие виды чувствительности. В ряде случаев имеет место экстапирамидный симптомокомплекс в виде пластического тонуса мышц, оральных автоматизмов, появления хватательного рефлекса.
Диагностика
Вариабельность клинической картины затрудняет распознавание субдуральных кровоизлияний. При диагностике неврологом учитываются: характер травмы, динамика нарушения сознания, наличие светлого промежутка, проявления «лобной» психики, данные неврологического статуса. Всем пациентам в обязательном порядке проводится рентгенография черепа. В отсутствие других способов распознаванию гематомы может способствовать Эхо-ЭГ. Вспомогательным методом диагностики хронических гематом выступает офтальмоскопия. На глазном дне офтальмолог зачастую определяет застойные диски зрительных нервов с их частичной атрофией. При проведении ангиографии церебральных сосудов выявляется характерный «симптом каймы» — серповидная зона аваскуляризации.
Решающими методами в диагностике субдуральной гематомы являются КТ и МРТ головного мозга. В диагностике острых гематом предпочтение отдается КТ головного мозга, которая в таких случаях выявляет однородную зону повышенной плотности, имеющую серповидную форму. С течением времени происходит разуплотнение гематомы и распад кровяных пигментов, в связи с чем через 1-6 нед. она перестает отличается по плотности от окружающих тканей. В подобной ситуации диагноз основывается на смещении латеральный отделов мозга в медиальном направлении и признаках сдавления бокового желудочка.

КТ головного мозга. Подострая субдуральная гематома справа
При проведении МРТ может наблюдаться пониженная контрастность зоны острой гематомы; хронические субдуральные гематомы, как правило, отличаются гиперинтенсивностью в Т2 режиме. В затруднительных случаях помогает МРТ с контрастированием. Интенсивное накопление контраста капсулой гематомы позволяет дифференцировать ее от арахноидальной кисты или субдуральной гигромы.
Лечение
Консервативная терапия осуществляется у пациентов без нарушений сознания, имеющих гематому толщиной не более 1 см, сопровождающуюся смещением церебральных структур до 3 мм. Консервативное лечение и наблюдение в динамике с МРТ или КТ контролем показано также пациентам в коме или сопоре при объеме гематомы до 40 мл и внутричерепном давлении ниже 25 мм рт. ст. Схема лечения включает: антифибринолитические препараты (аминокапроновую кислоту, викасол, апротинин), нифедипин или нимодипин для профилактики вазоспазма, маннитол для предупреждения отека мозга, симптоматические средства (противосудорожные, анальгетики, седативные, противорвотные).
Острая и подострая субдуральная гематома с признаками сдавления головного мозга и дислокации, наличием очаговой симптоматики или выраженной внутричерепной гипертензии являются показанием к проведению срочного хирургического лечения. При быстром нарастании дислокационного синдрома проводится ургентное эндоскопическое удаление гематомы через фрезевое отверстие. При стабилизации состояния пациента нейрохирургами осуществляется широкая краниотомия с удалением субдуральной гематомы и очагов размозжения. Хроническая гематома требует хирургического лечения при нарастании ее объема и появлении застойных дисков при офтальмоскопии. В таких случаях она подлежит наружному дренированию.
Прогноз и профилактика
Число смертельных исходов составляет 50-90% и наиболее высоко у пожилых пациентов. Следует отметить, что летальность обуславливает не столько субдуральная гематома, сколько травматические повреждения тканей мозга. Причиной смерти также являются: дислокация мозговых структур, вторичная церебральная ишемия, отек головного мозга. Угроза смертельного исхода остается и после хирургического лечения, поскольку в послеоперационном периоде возможно нарастание церебрального отека. Наиболее благоприятные исходы отмечаются при проведении операции в первые 6 ч. с момента ЧМТ. В легких случаях при успешном консервативном лечении субдуральная гематома рассасывается в течение месяца. Возможна ее трансформация в хроническую гематому.
Профилактика субдуральных кровоизлияний тесно связана с предупреждением травматизма вообще и травм головы в частности. К мерам безопасности относятся: ношение шлемов при езде на мотоцикле, велосипеде, роликах, скейте; ношение касок на стройке, при восхождении в горах, занятии байдарочным спортом и другими видами экстрима.
Субдуральная гематома головного мозга: симптомы, лечение, причины
Содержание статьи:
Субдуральная гематома представляет собой внутричерепное скопление крови между мозговыми оболочками (паутинной и твердой). Чаще всего она возникает после травмы и проявляется в виде нарушений психики и сознания. У мужчин такая патология встречается в три раза чаще, чем у женщин. В большинстве случаев она наблюдается у людей старше сорока лет.
Субдуральная гематома возникает в результате черепно-мозговой травмы
Практически 22% тяжелых ЧМТ (черепно-мозговых травм) сопровождаются появлением субдуральной гематомы. В отличие от эпидуральной, субдуральная форма кровоизлияния может образоваться не только на травмированном участке головы, но и с противоположной стороны.
Причины
Причиной появления субдуральной гематомы головного мозга может стать:
- разрыв пиальных или корковых сосудов, которые проходят в субдуральном пространстве, произошедший в результате черепно-мозговой травмы. При этом голова должна быть малоподвижной, а предмет, которым наносится удар, небольшим по площади;
- перемена направления движения или резкая остановка при падении на ноги или на ягодицы. При этом резкое встряхивание головы приводит к смещению мозга внутри черепной коробки, в результате чего интракраниальные вены разрываются;
- удар головой об массивный малоподвижный объект. Кровоизлияние становится следствием разрыва вен, впадающих в сагиттальный венозный синус. Чаще всего причиной такого вида травм является падение с большой высоты или навзничь, столкновение мотоциклов или машин;
- воздействие на неподвижную голову предмета с объемной площадью контакта. Часто травмы такого вида возникают при падении на голову тяжелых предметов, бревен, снежных глыб, бортов автомашин. В этом случае также происходит разрыв мостовых вен, впадающих в верхний сагиттальный синус;
- сосудисто-церебральные патологии, причиной которых является системный васкулит, артериальная гипертензия или аневризма церебральных сосудов;
- нарушение свертываемости крови в результате коагулопатии или бесконтрольного приема антикоагулянтов.
Форма и тяжесть кровоизлияния зависит от многих факторов, включая направление удара
Если одновременно происходит воздействие нескольких механизмов травмирования, у пациента возникают двухсторонние субдуральные гематомы.
Классификация
В зависимости от причин возникновения субдуральной гематомы, определяют:
- нетравматическое кровоизлияние;
- травматическое кровоизлияние (с отсутствием или наличием проникающей раны).
Также субдуральные гематомы классифицируют следующим образом:
Чтобы образовалась острая субдуральная форма, черепно-мозговая травма должна носить тяжелый характер. Для появления острой и подострой формы достаточно легкого травмирования.
Пластинчатой субдуральной гематомой называют кровоизлияние небольшого объема (до 50 мл), которое при проведении КТ-исследования не дает смещения желудочковой системы головного мозга.
В зависимости от механизма образования кровоизлияний, их классифицируют следующим образом:
- гомолатеральные: при этом площадь травмирующего агента небольшая, и прикладывается он к неподвижной или малоподвижной голове;
- контралатеральные: возникают при ударе головой, находящейся в движении, о неподвижный или массивный предмет или вследствие травмирования агента широким предметом неподвижной головы.
Читайте также:
6 наиболее распространенных мифов о человеческом мозге
Правила поведения при стихийных бедствиях
Ребенок и спорт: как не нанести вреда здоровью
Симптомы
При субдуральной гематоме у пациента наблюдаются локальные, общемозговые и вторичные стволовые симптомы. Это обусловлено сжатием мозга и повышением внутричерепного давления. Особое внимание уделяется «светлому» промежутку (периоду после травмы, во время которого симптомы, указывающие на наличие кровоизлияния, отсутствуют).
При тяжелых ЧМТ он может составлять несколько минут, в то время как при подострой или хронической форме он растягивается на несколько недель или даже месяцев.
В некоторых случаях появление признаков патологии вызывает дополнительная травма или резкий скачок артериального давления. Чаще всего изменение состояния сознания происходит постепенно. В редких случаях пациент внезапно впадает в коматозное состояние (как при эпидуральном кровоизлиянии).
Самую важную роль среди очаговых признаков травмы играет одностороннее расширение зрачка, при котором снижается его реакция на свет:
- острая форма заболевания: зрачок максимально расширен и практически не реагирует на свет;
- подострая и хроническая форма заболевания: возникает умеренный мидриаз (при этом реакция зрачка на свет сохраняется).
Другим постоянным симптомом субдуральной гематомы является распирающая головная боль. Она сопровождает пациента практически постоянно, отдает в область глаз или затылок и усиливается при движении глазных яблок. Цефалгия усиливается при постукивании по черепу и может сопровождаться тошнотой, рвотой, светобоязнью.
У пациента часто наблюдается дезинтеграция сознания в виде следующих проявлений:
- психические расстройства, протекающие с нарушением внимания, мышления, помрачения сознания;
- растерянность, бессвязность речи и мышления, хаотичность движений;
- «лобная» психика, снижение критики к своему состоянию;
- нарушение поведения;
- состояние эйфории.
У пациентов с гематомой часто наблюдается психомоторное возбуждение. В некоторых случаях возможно наличие эпилептических припадков.
Патология может сопровождаться изменением мышечного тонуса, человек начинает двигаться слишком медленно, при этом нарушается хватательный рефлекс.
Классический вариант
Этот вариант субдуральной гематомы встречается достаточно редко. Для него характерна следующая клиническая картина:
- кратковременная потеря сознания в момент черепно-мозговой травмы;
- длительность светлого промежутка составляет от 10 минут до 2 суток.
У пациента возникает головная боль, головокружение и тошнота. На следующем этапе появляется сонливость, головная боль резко усиливается, человек становится неадекватным. Отчетливо проявляется гомолатеральный мидриаз. Наряду с потерей сознания изменяется ритм дыхания, повышается артериальное давление, возникают тонические судороги.
Субдуральная гематома со стертым «светлым» промежутком или без него
Этот вариант типичен для тяжелых ушибов головного мозга. Первичная потеря сознания может легко перерасти в кому. В дальнейшем возможно восстановление сознания, при этом отмечается психомоторное возбуждение, возникает головная боль и тошнота. Через некоторое время пациент повторно теряет сознание.
Довольно часто наблюдается вариант без «светлого» промежутка. После серьезной черепно-мозговой травмы человек впадает в кому, и в дальнейшем до момента операции или его гибели никакая положительная динамика не наблюдается.
Диагностика и лечение
Для того чтобы диагностировать патологию после тяжелых черепно-мозговых травм, проводят такие исследования, как: рентгенография черепа, Эхо-ЭГ, офтальмоскопия, КТ или МРТ головного мозга.
Диагноз подтверждают при помощи компьютерной томографии
Медикаментозная терапия
Консервативное лечение проводится в следующих случаях:
- пострадавший находится в ясном сознании, имеет гематому толщиной менее 1 см, со смещением церебральных структур до 3 мм;
- отсутствие признаков сдавливания мозга;
- внутричерепное давление не превышает 25 мм рт. ст.;
- стабильный неврологический статус.
В комплексной терапии применяются антифибринолитические препараты (Викасол, Аминокапроновая кислота). Другие лекарственные средства, в зависимости от целей лечения:
- профилактика вазоспазма: Нимодипин или Нифедипин;
- устранение отека мозга: Маннит или Маннитол;
- купирование симптоматики: противорвотные, противовоспалительные, обезболивающие и седативные препараты.
При правильном и своевременно начатом лечении рассасывание кровоподтека происходит в течение месяца.
Пациенту показан постельный режим и длительный прием препаратов, ускоряющих рассасывание кровоизлияния. Методы народной медицины при таких травмах не оказывают необходимого воздействия. Такой подход к лечению способствует ухудшению здоровья пациента и хронизации процесса.
Хирургическое вмешательство
При острых и подострых субдуральных гематомах, вызывающих сдавливание и смещение мозга, показано немедленное хирургическое вмешательство. Чем раньше устраняют кровоизлияние, тем больше у пациента шансов на выздоровление.
Необходимость хирургического вмешательства определяется врачом после проведения диагностических исследований
Также операция показана при подострой форме, если у пациента возникают признаки внутричерепной гипертензии или нарастает очаговая симптоматика.
Операция может быть проведена и при хронической гематоме: хирургическое вмешательство может понадобиться, если состояние больного ухудшается, возникает застой в глазном дне и нарастают головные боли. В этом случае выполняется закрытое наружное дренирование.
Прогноз
При этом виде травм летальный исход наступает в 50–60% случаев. Чаще умирают пациенты пожилого возраста. Наиболее благоприятный прогноз для больных, которым была проведена хирургическая операция на протяжении первых шести часов после черепно-мозговой травмы.
Легкие формы кровоизлияний поддаются консервативному лечению и рассасываются в течение месяца. В некоторых случаях происходит трансформация в хроническую форму.
Необходимо отметить, что само кровоизлияние не является причиной летального исхода. В большинстве случаев смерть наступает в результате повреждения тканей мозга, отека или вторичной церебральной ишемии.
Угроза летального исхода сохраняется и после удаления кровоизлияния путем хирургического вмешательства, поскольку в послеоперационном периоде возможно нарастание церебрального отека.
При занятиях травматичными видами спорта важно одевать средства защиты
Для того чтобы избежать появления травм и кровоизлияний, необходимо соблюдать правила техники безопасности. При езде на мотоциклах, роликовых коньках, занятиях экстремальными видами спорта или нахождении на стройках нужно использовать защитный шлем.
Устранением последствий ЧМТ занимаются такие специалисты, как нейрохирург, травматолог и невролог. При любых черепно-мозговых травмах необходимо обратиться за консультацией к врачу.
Видео
Предлагаем к просмотру видеоролик по теме статьи.
Субдуральная гематома головного мозга: причины, симптомы, диагностика, методы лечения, последствия
Субдуральная гематома — это кровоизлияние, которое локализуется между твердой и субарахноидальной оболочками головного мозга. По природе возникновения данное заболевание относится к травматическим, и встретить его можно как у взрослых людей, так и у стариков с новорожденными. Среди всех внутричерепных кровоизлияний данный вид встречается примерно в 40 процентах случаев.
Отличительные черты
Так же как и все остальные виды внутричерепных кровоизлияний, субдуральная гематома сопровождается такими признаками, как общее и местное сдавливание головного мозга. Чтобы отличать рассматриваемый недуг от других повреждений, необходимо знать его отличительные черты:
- Кровь или кровянистая жидкость скапливаются между твердой и субарахноидальной оболочками.
- Субдуральный вид кровоизлияния происходит из-за травматического разрыва впадающих в синусы твердой мозговой оболочки мостиковых вен. Источниками кровотечения при этом становятся артериальные сосуды, по большей части средняя менингеальная артерия и ее ответвления.
- Симптомы данного вида повреждения набирают свою силу постепенно. Это связано с тем, что кровотечение представлено венозным типом, а излитие происходит по достаточно большой площади.
- Субдуральная гематома располагается только в месте удара, в то время как другие виды внутричерепных кровоизлияний очень часто локализуются как в области повреждения, так и на том же участке, на противоположной стороне.
- Образовавшаяся гематома по своей форме напоминает двояковыпуклую линзу.

Острая форма образования гематомы
Острой формой субдуральной гематомы головного мозга называют такой тип повреждения, при котором все основные симптомы начинают проявляться уже на 1-3-й день после травмы или другого провоцирующего фактора. Данный тип принято разделять на 3 вида течения заболевания:
1. Классический – данный вид встречается достаточно редко, события при этом разворачиваются следующим образом:
- во время получения повреждения человек теряет сознание;
- затем на неопределённый период времени, который может длиться от нескольких минут до нескольких суток, наступает так называемый светлый промежуток, в ходе которого все основные симптомы заболевания отсутствуют;
- следующим этапом будет повторная потеря сознания, после которой признаки субдуральной гематомы постепенно проявляются.
2. С кратковременным светлым промежутком – описываемый вид обычно встречается при серьезных черепно-мозговых травмах:
- изначально пациент находится в тяжелом состоянии, и симптомы проявляются очень остро;
- затем происходит частичное восстановление сознания, которое сопровождается стандартными клиническими признаками;
- после недолгого периода покоя происходит повторная потеря сознания.
3. Полное отсутствие светлого промежутка – данный тип течения заболевания встречается чаще остальных. После полученных травм пациент долгое время находится в состоянии комы, выход из которой возможен только посредством хирургического вмешательства.

Подострая форма образования гематомы
Данный вид гематомы определить намного сложнее. Это связано с тем, что клиническая картина начинает разворачиваться на 4-14-е сутки и изначально все проявления заболевания очень сильно напоминают алкогольное отравление или менингит.
Специалисты различают следующие типы течения заболевания:
- Классический вариант образования субдуральной гематомы по своей структуре схож с аналогичным типом острой формы. Различия будут заключаться в том, что в данном случае симптомы будут развиваться намного медленнее, а светлый промежуток будет выделяться более ярко и четко.
- Второй тип течения характеризуется отсутствием первоначальной потери сознания, все остальные этапы полностью повторяют классическую форму.
- Отличительной чертой следующего типа течения заболевания будет размытость светлого промежутка.
Хроническая форма
Хроническая форма распространения субдуральной гематомы головного мозга считается самой благоприятной, потому что, исходя из статистических данных, полное выздоровление в данном случае происходит намного чаще.
Отличительные черты описываемой формы заключаются в следующем:
- наличие гематомы можно узнать только через 2 недели после получения травмы;
- клинические проявления выражаются очень слабо и практически незаметно;
- вокруг образовавшегося кровоизлияния образуется своеобразная капсула.
Причины появления гематомы
Специалисты отмечают, что чаще всего субдуральная гематома образуется после травмы, полученной в результате дорожно-транспортного происшествия, падения или направленного удара. Но также в практике можно встретить более редкие причины появления недуга:

- Различные родовые травмы, которые образуются из-за использования специальных инструментов для искусственного извлечения ребенка (щипцы, вакуум и т. д.).
- Субдуральная гематома у детей может появиться в результате сотрясения незафиксированной головы, чаще всего это происходит вследствие неправильного обращения с ребенком.
- В группе риска данного заболевания находятся люди, страдающие от алкоголизма, и старики. Это связано с тем, что именно у этих категорий наиболее часто наблюдается атрофия мозга, которая ведет к разрыву венозных сосудов.
- Повышенная хрупкость сосудов и наличие такого заболевания, как гипертония, являются немаловажными факторами риска.
- Наличие кист, располагающихся на внешней оболочке головного мозга.
- Низкий уровень свертываемости крови.
Основные симптомы
Признаки субдуральной гематомы проявляются с различной силой в каждом конкретном случае. Чаще всего степень выраженности симптоматики зависит от места расположения повреждения, размеров гематомы и темпов ее роста. Осложняющими факторами в данном случае станет ушиб и травмирование головного мозга. Также на быстроту выздоровления влияет возраст пациента.

Клиническая картина течения заболевания:
- При тяжелой форме субдуральной гематомы человек теряет сознание.
- Начинают проявляться симптомы, связанные с повреждением ствола мозга. Сюда можно отнести брадикардию, гипертензию и частичную утрату сознания.
- Очень часто у пациентов наблюдаются резкие перепады показателей артериального давления, одышка и гипертермия.
- Учитывая, что субдуральная гематома напрямую влияет на работоспособность головного мозга, течение заболевания редко обходится без психических расстройств, к которым можно отнести депрессию, эйфорию и отсутствие критики к собственной личности. Также можно столкнуться с потерей памяти.
- Психосоматическое возбуждение характеризуется появлением судорог.
- Сильная головная боль, которая локализуется в области глазных яблок и затылка, сопровождается частой рвотой и ухудшением остроты зрения, в том числе и светобоязнью.
Очаговые симптомы
Помимо основной клинической картины субдуральная гематома головного мозга сопровождается различными очаговыми симптомами, которые локализуются на всем теле человека:
- Очень часто у пациентов наблюдается расширенный зрачок, находящийся на одной стороне с повреждением. Также можно заметить ухудшение реакции на свет и подвижности самого глазного яблока, опущение верхнего века.
- На соседней с кровоизлиянием стороне проявляются признаки нарушения двигательных функций.
- В зависимости от того, какая область головного мозга была поражена, возникают различного рода расстройства. Например, нарушение в работе речевого аппарата, ухудшение чувствительности, обоняния и зрения.

Очаговые симптомы очень важны для правильной постановки диагноза.
Диагностика
По МКБ-10 субдуральная гематома определяется как «травматическое субдуральное кровоизлияние» и имеет код S06.0. Данная формулировка очень часто используется специалистами, и диагноз может быть описан в медицинской карте именно таким образом.
В первую очередь врач проводит опрос пациента, выясняя при этом его жалобы, имеющиеся симптомы, время получения травмы и клиническое течение заболевания. Если человек находится без сознания, все данные должны выясняться у очевидцев происшествия. Также очень важен внешний осмотр, в ходе которого выявляются характерные признаки черепно-мозговой травмы.

Для более достоверной диагностики применяются инструментальные методы, с помощью которых можно визуализировать кровоизлияние и определить его характер. К данным способам относится компьютерная и магнитно-резонансная томография, электроэнцефалограмма, рентген головного мозга.
Консервативная терапия
Лечение субдуральной гематомы консервативными методами возможно только в том случае, когда размер кровоизлияния не превышает 25 миллилитров. Также очень важно, чтобы состояние пациента было стабильным, а негативные последствия не наступали. Для того чтобы просмотреть динамику течения заболевания, необходимо регулярно проводить инструментальные обследования.
Консервативная медицина включает в себя следующие методы:
- Для того чтобы увеличить отток венозной крови из черепной коробки, необходимо держать голову в приподнятом состоянии под углом 30-45 градусов.
- Прием препаратов, уменьшающих отеки, таких как «Маннитол», «Фуросемид».
- Также пациенту назначаются препараты, улучшающие метаболизм.
- Активно используется кислородотерапия.
- В том случае, когда развивается дыхательная недостаточность или пациент впадает в кому, ему проводят искусственную вентиляцию лёгких.
- Также назначаются препараты для поддержания работы сердца и сосудов.

Оперативное вмешательство
Удаление субдуральной гематомы назначается при наличии следующих условий:
- Острая форма кровоизлияния размером более 25 миллиметров, которая провоцирует смещение внутренней структуры головного мозга.
- Показания к операции возникают и при гематоме меньших размеров, но при условии, что состояние пациента прогрессивно ухудшается.
- Опасность представляет подострая или хроническая форма, которая провоцирует появление клинических признаков.
Операция на субдуральной гематоме представляет собой очень долгий и кропотливый процесс, в ходе которого происходит трепанация черепа и удаление излившейся крови. Благодаря данной процедуре также происходит декомпрессия мозга и устранение внутричерепной гипертензии.
Субдуральная гематома: последствия
Главными последствиями перенесения субдуральной гематомы является деформация черепа и головного мозга. Это связано с тем, что при обширных кровоизлияниях происходит ущемление стволовых структур мозга, его повторная ишемия и отек. Острая субдуральная гематома — это огромный риск для жизни человека, потому что летальный исход может возникнуть даже после проведения своевременной операции.
Субдуральная гематома — это одно из самых страшных последствий, которое может возникнуть после получения различного рода черепно-мозговых травм. Лечение данного недуга проходит очень сложно и зачастую требует хирургического вмешательства.
Субдуральная гематома
Субдуральные гематомы представляют собой скопление крови в пространстве между твердой мозговой и паутинной оболочками мозга. Может встречаться в любой возрастной группе, основаня причина — черепно-мозговая травма. КТ достаточно, чтобы поставить диагноз. Прогноз варьирует в широких пределах в зависимости от размеров и давности кровоизлияния. Более > 70% субдуральных гематом имеют другие важные повреждения: САК, ДАП, контралатеральные ушибы.
Эпидемиология
Субдуральные гематомы встречаются во всех возрастных группах:
- у детей чаще случайная травма,
- у молодых людей: дорожно-транспортные происшествия,
- у лиц пожилого возраста: падения (явный анамнез травмы может отсутствовать),
- встречаются в ~ 15% всех случаев травм головы,
- встречаются в 30% от травм головы со смертельным исходом.
Клиническая картина
Острые субдуральные гематомы обычно встречаются при черепно-мозговой травме, особенно у молодых пациентов, где они сочетаются с ушибами головного мозга. У большинства пациентов (65-80%) субдуральные гематомы сопутствуют выраженному угнетению сознания и аномалии зрачкового рефлекса. Клинические проявления подострых / хронических субдуральных гематом у пожилых людей без или с незнечительной травмой головы в анамнезе, часто являются неопределенными и являются одной из классических причин псевдо-деменции.
Патология
Субдуральные гематомы возникают при растяжении и разрыве мостиковых вен, залегающих в субдуральном пространстве, при воздействии внезапно возникающих сдвигающих сил при травме. Так же может повреждаться паутинная оболочка, вызывая скопление крови между паутинной и твердой мозговой оболочками. В 10 — 30% хронических субдуральных гематом имеются повторные кровоизлияния. Повторные кровотечения обычно происходят при разрыве перерастянутых корковых вен, так как они пересекают увеличенное заполненное субдуральное пространство, или из васкуляризированной псевдокапсулы. Субдуральные гематомы располагаются между твердой мозговой и паутинной оболочкой. Как правило они имеют лентовидную форму или форму полумесяца, и я вляются более протяженными чем эпидуральные гематомы. В отличие от эпидуральной гематомы, субдуральные гематомы не ограничиваются швами черепа, но ограничиваются серпом мозга и наметом мозжечка.
Диагностика
У взрослых 85% субдуральных гематом являются односторонними. У детей раннего возраста 75-85% являются двусторонними. Типичные места локализации субдуральных гематом лобно-теменные области и средняя черепная ямка. Межполушарные субдуральные гематомы чаще встречаются у детей с не дорожно-транспортными травмами. В подавляющем большинстве случаев, КТ достаточно для постановки диагноза. Введение контраста иногда бывает полезно, если есть подозрение на субдуральную эмпиему, при подозрении на наличие небольшой изоденсивной субдуральной гематомы или попытке разграничить расширение субарахноидальных пространств от хронической субдуральной гематомы.
Ренгенография черепа
При наличии КТ или МРТ модальностей нецелесообразна, бесполезна и даже вредна.
Компьютерная томография
Признак «водоворота» — это признак активного кровотечения. Проявления субдуральной гематомы при КТ зависят от давности и степени организации гематомы — в среднем плотность субдуральной гематомы снижается на 1,5 HU в день.
Острейшая субдуральная гематома
В большинстве случаев, исследование пациентам проводится позднее острейшей фазы (первый час), но в случаях когда исследование выполнено в этот период, субдуральные гематомы появляются относительно изоденсивной плотностью по отношению к коре головного мозга, с неоднородностью в виде завихрениий, из-за смеси сгустков крови и продолжающегося поступления не свернувшейся крови. Степень отека головного мозга (особенно у молодых пациентов, у которых черепно-мозговая травма часто является более тяжелой) влияет на объемное воздействие, нет прямой связи между размером субдуральной гематомы и степенью дислокации [2].
Острая субдуральная гематома
Классическая картина острой субдуральной гематомы — однородная гиперденсивная экстра-аксиально расположенная зона лентовидной формы или формы полумесяца, которая широко распространяется вдоль конвекса гемисферы головного мозга. По мере сворачивания крови, плотность гематомы увеличивается, как правило, до > 50-60 HU, таким образом, гематома является гиперденсивной по отношению к коре головного мозга [2]. До 40% субдуральных гематом имеет смешанную гипер- или гиподенсную плотность, за счет несвернувшейся крови и плазмы. Редко, острые субдуральные гематомы могут быть изоденсивной плотности по отношению к коре головного мозга, что встречается при коагулопатиях или тяжелой анемии, когда концентрация гемоглобина падает до 8 до 10 г/дл.
Подострая субдуральная гематома
Со временем за счет деградации белков плотность сгустков крови снижается. В период от 3 до 21 дней (обычно 7-14 дней), плотность снижается до ~30 HU и гематома становиться изоденсивной относительно коры головного мозга, что затрудняет диагностику, особенно если имеются двусторонние субдуральные гематомы [2]. Контрастное усиление при КТ полезно при отсутствии возможности выполнить МРТ. Ключевыми моментами в диагностике является ряд косвенных признаков:
- ЦСЖ борозд не доходит не костей черепа
- объемное воздействие включающее сглаживание борозд и латеральную дислокацию срединных структур
- кажущееся утолщение коры
Хроническая субдуральная гематома
В конечном счете субдуральная гематома становится гиподенсной и может достигать ~ 0 HU, она может быть изоденсивной относительно ЦСЖ и может симулировать субдуральную гигрому.
Повторное острое кровоизлияние в хронической субдуральной гематоме
Повторным острым кровоизлияним в хроническую субдуральную гематому считается эпизод острого кровоизлияния в ранее существовующую хроническую субдуральную гематому. Проявляется в вид гиподенсного скопления с уровнями. Может наблюдаться у пациентов с нарушениями свертывания крови или принимающих антикоагулянты [2].
Магнитно-резонасная томография
Проявления обычно обусловлены биохимическими свойствами гемоглобина который варьируют от сроков гематомы. Наиболее чувствительной является FLAIR последовательность.
Сверхострая субдуральная гематома
- T1: изоинтенсивный сигнал, по отношению к сигналу от серого вещества головного мозга
- T2: интенсивность сигнала варьирует от изо- до гиперинтенсивного
- FLAIR: гиперинтенсивный сигнал, по отношению к сигналу ЦСЖ
Острая субдуральная гематома
- T1: интенсивность сигнала варьирует от изо- до гиперинтенсивного, по отношению к сигналу от серого вещества головного мозга
- T2: сигнал гипоинтенсивный, по отношению к серому веществу
- FLAIR: гиперинтенсивный сигнал, по отношению к сигналу ЦСЖ
Подострая субдуральная гематома
Во фронтальной плоскости может иметь двояковыпуклую форму, а не форму полумесяца, которая является типичной в аксиальной плоскости
- T1: обычно имеет гиперинтенсивный сигнал за счет наличия метгемоглобина
- T2: обычно гиперинтенсивный сигнал
- FLAIR: гиперинтенсивный сигнал
Хроническая субдуральная гематома
- T1:
- изоинтенсивный сигнал, относительно сигнала от ЦСЖ
- при повторных кровтечениях или инфицирование может иметь гиперинтенсивный МР сигнал
- T2:
- изоинтенсивный сигнал, относительно сигнала от ЦСЖ
- при повторных кровтечениях или инфицирование может иметь гипоинтенсивный МР сигнал
- FLAIR: гиперинтенсивный сигнал, по отношению к сигналу ЦСЖ
Дифференциальная диагностика
Смотрите так же статью Дифференциальная диагностика субдуральных и эпидуральных гематом
Основные нозологии для дифференциальной диагностики включают [1-2]:
- расширение субарахноидальных пространств за счёт атрофии головного мозга
- может выглядеть схоже
- отсутствие объемного воздействия
- сосуды проходят через пространства, а не смещены к головному мозгу
- КТ контраст помогает в визуализации, путем подчеркивания хода сосудов, а также демонстрируя усиливающуюся «капсулу» субдуральной гематомы / эмпиемы
- субдуральная эмпиема
- имеет схожие проявления на бесконтрастных изображениях
- иные анамнез заболевания и клиническая картина
- выраженное краевое контрастное усиление
- сопутствует абсцессу/инфаркту головного мозга
- эпидуральная гематома
- дифференциальная диагностика при малых размерах иногда затруднена
- двояковыпуклая (линзовидная) форма, вместо серповидной (лентовидной)
- ограничена швами черепа
- может смещать венозные синусы
- обычно имеется перелом черепа
- субдуральная гигрома
- может быть неотличима на КТ от хронической субдуральной гематомы
- соответствует по плотности церебро-спинальной жидкости
- в анамнезе нет гематомы
- двигательные артефакты
что это такое, симптомы, лечение, последствия
Субдуральная (расположенная под твердой оболочкой) гематома – очаг кровоизлияния, находящийся выше вещества головного мозга. Распространенная причина возникновения – травма в области головы. Если ЧМТ сопровождается образованием субдуральной гематомы, протекающей в острой форме, последствия часто выражаются в инвалидности или смерти пациента. Частота случаев ЧМТ, на фоне которых развивается острая гематома, составляет около 400 случаев на 100 тысяч населения ежегодно. Хроническая форма очагов геморрагии встречается с частотой 1-5 случаев на 100 тысяч населения ежегодно.


Характеристика и виды
Субдуральная гематома – это такая патология, которая представляет собой локальное скопление крови в пространстве между паренхимой головного мозга и твердой оболочкой, что обуславливает характер повреждений. Обычно проявляется нарастающей общемозговой, очаговой, стволовой симптоматикой.
Субдуральная гематома часто возникает вследствие ЧМТ. Увеличение патологического очага провоцирует сдавление мозговых структур. Тяжелая травма в зоне головы проявляется угнетением сознания до состояния сопора и комы с оценкой по шкале Глазго меньше 8 баллов. Различают виды гематом с локализацией над веществом головного мозга:
- Острая. Возникает вследствие тяжелых ЧМТ. Характеризуется потерей сознания, сопровождается симптомами обширного поражения мозговой ткани. Светлый промежуток (кратковременное улучшение состояния и самочувствия больного) обычно отсутствует.
- Подострая. Возникает в период от 4 до 14 суток после травматического воздействия на зону головы. Характеризуется кровотечением малой интенсивности. Проявляется признаками прогрессирующей компрессии мозгового вещества в период, когда симптомы ЧМТ начинают регрессировать. Для этой формы типично прояснение сознания пациента и уменьшение проявлений очаговых симптомов.
- Хроническая. Характеризуется наличием капсулы, стенки которой препятствуют распространению истекающей крови. Обычно выявляется спустя несколько недель или месяцев после перенесенной травмы в зоне головы. Проявляется изменением поведения, психическими расстройствами, головными болями, признаками очагового поражения мозговой ткани (судорожные приступы, парезы, параличи, афазия – расстройство сформированной речи).
Различают разновидности – гомолатеральную (на стороне поражения) и контралатеральную (на стороне, противоположной воздействию) форму. В первом случае повреждающее воздействие характеризуется малой площадью прямого соприкосновения с травмирующим предметом, во втором – большой площадью.
Распространенность патологии составляет около 40% в общей массе мозговых кровоизлияний. Чаще диагностируется у мужчин, чем у женщин (соотношение 3:1). Возраст пациентов чаще превышает 40 лет.
Эпидуральная гематома так же как и субдуральная чаще возникает в результате травматического повреждения головы. В этом случае скопление крови происходит в пространстве, расположенном между твердой оболочкой и костной тканью черепной коробки с образованием на поверхности кожи синяка.
Причины возникновения
Субдуральная гематома в перечне МКБ-10 значится под кодом «S06.5» (травматическая) и «162» (нетравматическая). Одна из распространенных причин образования очага кровоизлияния – разрыв мостовых вен, которые пролегают между твердой и мягкой церебральными оболочками, пересекают передний отдел моста, впадают в верхний сагиттально расположенный синус. Другие причины возникновения:
- Повреждение вен, пролегающих парасагиттально (параллельно плоскости, делящей тело продольно на правую и левую половины).
- Кровотечения из венозных синусов, возникшие вследствие травм в зоне головы.
- Кровотечения из артерий, питающих мозг, возникшие вследствие травматического повреждения головы.
- Контузии (поражение организма в результате непрямого воздействия, чаще как следствие воздушной волны, обусловленной взрывом).


В детском возрасте причиной субдурального кровоизлияния может стать повреждение твердой церебральной оболочки в результате быстрой, сильной деформации костей черепа в момент травматического воздействия. Нетравматическое кровоизлияние может возникать без прямого контакта с повреждающим агентом как следствие:
- Резкой остановки при езде на транспорте.
- Резкой перемены направления движения на большой скорости.
- При падении на ноги или ягодичную область.
В перечисленных случаях происходит резкая встряска головы, что сопровождается смещением больших полушарий внутри черепа с последующим разрывом внутричерепных вен.
Симптоматика
При травматическом субдуральном кровоизлиянии, протекающем в острой форме, симптоматика зависит от тяжести повреждений. Общемозговые признаки острой и подострой субдуральной гематомы, образовавшейся в головном мозге:
- Боль в зоне головы.
- Помрачение сознания.
- Расстройство психики.
- Тошнота, сопровождающаяся повторной рвотой.
После приступа рвоты боль в голове чаще усиливается. Помрачение сознания протекает в несколько этапов – потеря сознания в момент ЧМТ, кратковременное восстановление восприятия (светлый промежуток), повторная потеря сознания, длительность которого нередко доходит до нескольких суток.
Это классическая клиническая картина, которая в реальной практике встречается нечасто. При сочетании внутричерепного кровоизлияния с ушибом мозговой ткани светлый промежуток обычно отсутствует. Нарушения психики проявляются состояниями:
- Аменция (нарушение сознания с дезориентацией в пространстве, сопровождается бессвязностью мышления и бредовыми идеями).
- Онейроид (шизофреническая дезориентация в пространстве с преобладанием галлюцинаций и фантастических видений, переплетающихся с реальностью). В отличие от аменции больной не предпринимает попыток сориентироваться. Пациенты становятся участниками переживаемых галлюцинаций.
- Сумеречное состояние (кратковременная дезориентация в пространстве с сохранением привычных шаблонных действий, сопровождается двигательно-речевым возбуждением, выраженным чувством тоски, злобы, страха и другими аффективными проявлениями).
- Делирий (психическое расстройство, сопровождающееся помрачением сознания, ухудшением концентрации внимания, восприятия, эмоций, мышления).


На фоне расстройства психики наблюдаются симптомы: нарушение памяти, в том числе Корсаковский синдром (расстройство функции памяти относительно событий настоящего при сохранении воспоминаний из прошлого, сопровождается амнестической дезориентацией в пространстве, конфабуляциями – ложными воспоминаниями).
Нередко появляются признаки поражения лобных долей (снижение критической самооценки, нелогичное, сумбурное поведение, эйфория – радостное состояние душевного подъема). Часто развивается психомоторное возбуждение, реже эпилептические и судорожные приступы генерализованного (распространенного) типа.
Травматическое субдуральное кровоизлияние – это патология, которая чаще сопровождается помрачением сознания. Если пострадавший пребывает в сознании, он жалуется на боль в области головы, иррадиирующую в зону затылка и органов зрения, болезненность при совершении движений глазными яблоками, головокружение, повышенную чувствительность к свету.
Если происходит компрессия мозговой ткани и масс-эффект, клиническая картина дополняется признаками поражения стволовых структур – артериальная гипотония или артериальная гипертензия, нарушение сердечной деятельности, изменение мышечного тонуса генерализованного типа, нарушение рефлексов.
Субдуральное кровоизлияние острой формы проявляется очаговой симптоматикой. Яркое проявление – мидриаз (расширение зрачка) на стороне поражения, наблюдается в 60% случаев. Мидриаз на стороне, противоположной поражению, возникает, если гематома сопровождается ушибом мозгового вещества. Типично отсутствие реакции на световой раздражитель. Другие очаговые симптомы:
- Птоз (опущение века), глазодвигательные нарушения.
- Гемипарезы (снижение мышечной силы в одной половине тела).
- Признаки поражения лицевого нерва (односторонняя слабость мышц лица в нижних отделах, асимметрия лица).
- Речевая дисфункция (в случае локализации патологического очага в оболочечном пространстве доминантного полушария).
Пирамидные расстройства (тонус мышц пластического типа – характеризуется малым напряжением на фоне постоянного возбуждения, усиление рефлексов орального автоматизма) встречаются чаще, чем сенсорные нарушения (нарушение чувствительности на всех уровнях). Признаки хронической гематомы включают боли в зоне головы, тошноту, сопровождающуюся рвотой, слабость в конечностях, эпизодическое помрачение сознания.
При развитии субдуральной гематомы хронической формы нередко происходит ухудшение остроты зрения, что зависит от локализации участка повреждения головного мозга. Хроническая форма часто проявляется мидриазом с сохранением реакции на световой раздражитель. Нередко выявляются симптомы: нарушение походки, психические расстройства, нарушение речи, дневная сонливость.


Диагностика
Методы нейровизуализации играют важную роль при постановке диагноза заболевания, который чаще основан на результатах компьютерной томографии. В ходе исследования выявляются характеристики – наличие и точная локализация патологического очага, влияние гематомы на окружающие ткани (дислокация мозгового вещества), первичное и вторичное поражение мозговых структур. Основные методы инструментальной диагностики:
- КТ, МРТ (нейровизуализация).
- УЗИ (ультразвуковая диагностика).
- Электроэнцефалография (исследование биоэлектрической активности мозга).
- Краниография (рентгенография костей черепной коробки).
- Ангиография (исследование элементов кровеносной системы).
Исследование МРТ или КТ используется в неврологии для определения тактики лечения – приоритет консервативных или хирургических методов. При подозрении на субдуральную гематому КТ – метод первого выбора. Исследование в этом формате обязательно проводится при ЧМТ любой степени тяжести. Выявляется объем очага геморрагии, наличие отека мозга, ушиба мозгового вещества, дислокации и степени смещения структур.
На КТ-изображении очаг геморрагии представлен участком серповидной формы, который характеризуется повышенной плотностью. Если исследование проводится спустя 1-6 недель после формирования очага кровоизлияния, его плотность уменьшается. В случае хронического кровоизлияния диагноз ставят на основании подтвержденного в ходе исследования смещения боковых мозговых отделов в медиальном направлении. Параллельно выявляется компрессия бокового желудочка.
Лечение
Лечение субдуральной гематомы, образовавшейся в головном мозге, проводится консервативным или хирургическим методом. Выбор тактики зависит от объемов, динамики развития и стадии гематомы. На выбор метода влияет возраст и состояние пациента, а также степень анестезиологического риска. Небольшие очаги геморрагии могут постепенно самостоятельно разрушаться.
Другой вариант лечения – дренирование содержимого гематомы через катетер малого диаметра, который помещается в полость черепа через проделанное в кости трепанационное отверстие. При очагах геморрагии большого объема проводится операция – краниотомия (оперативное вмешательство посредством вскрытия черепной коробки).
В ходе операции вскрывается твердая церебральная оболочка, удаляется кровяной сгусток, осуществляется контроль над местным кровотечением (клипирование сосудов). Показанием к назначению операции является внутричерепное кровоизлияние, протекающее в острой форме, сопровождающееся компрессией и дислокацией мозга.


Медикаментозная терапия проводится в отношении очагов геморрагии, размеры которых не превышают 5 мм при условии смещения церебральных структур не больше чем на 3 мм, при сохранении неизменного неврологического статуса, при значениях внутричерепного давления не выше 25 мм. рт. ст.
Осложнения и последствия
Последствия хирургического лечения субдуральной гематомы, образовавшейся в головном мозге, сопряжены с послеоперационными осложнениями. Последствия после операции включают повторное развитие субдурального кровоизлияния (около 30% случаев), распространение патологического процесса на прилегающие ткани, пневмоцефалию (скопление воздуха в полости черепной коробки).
Нередко встречаются осложнения – послеоперационный отек мозговой ткани, судороги (около 10% случаев), гнойно-инфекционное поражение вещества мозга с образованием эмпиемы (скопление гноя в полости под твердой оболочкой). В 1-2% случаев после операции происходит развитие пневмонии и нарушений в работе сердечно-сосудистой системы.
Риск осложнения повышается у пациентов пожилого возраста, с сопутствующими соматическими заболеваниями в анамнезе, пребывающих в коматозном состоянии с оценкой по шкале Глазго меньше 8 баллов. К примеру, последствия сутулости редко приводят к инвалидности или летальному исходу, чего нельзя сказать о внутричерепном кровотечении, угрожающем здоровью и жизни пациента.
Субдуральная гематома – острая или хроническая, представляет угрозу для здоровья пациента, требует корректной диагностики и незамедлительного лечения.
ПОЖАЛУЙСТА, ОЦЕНИТЕ СТАТЬЮ!
Просмотров: 962
Субдуральная гематома и своевременное ее выявление
Травмы головы случаются довольно часто. В некоторых случаях черепно-мозговая травма проходит бесследно, а в других – оставляет неприятные последствия. Одним из них может стать кровоизлияние в субдуральное пространство.
Субдуральная гематома – локализованное кровоизлияние в пространство между твердой мозговой оболочкой и арахноидальной (паутинной) оболочкой мозга. Объем кровоизлияния, и последующая клиническая картина зависят от размера и вида поврежденного сосуда. Субдуральный вид кровоизлияний возникает чаще других видов. Риску образования субдуральной гематомы больше подвержены люди после 40 лет, преимущественно мужского пола.
Причины и механизм развития
К образованию субдуральных гематом приводят тупые травмы, которые не повреждают кости черепа. Скопившаяся кровь оказывает сдавливающее действие на ткани мозга. Субдуральные гематомы характеризуются светлым промежутком и возникновением неврологической симптоматики. Зачастую, лечение не обходится без хирургического вмешательства.

Причин развития субдуральных кровоизлияний достаточное количество. Ими могут стать, например ДТП (дорожно-транспортное проишествие) – основная причина развития субдуральных гематом. Травматический вид гематомы может возникнуть при ударе о панель машины в случае экстренного торможения, при ударе другим автомобилем в случаях езды без ремней безопасности и прочее.
Субдуральные гематомы могут возникнуть вследствие падения на голову предметов с высокого расстояния: бутылка, кирпич, сосульки и т.д.
Травмы, полученные при занятии спортом. Субдуральное кровоизлияние может возникнуть вследствие неудачного прыжка, падения. Потенциально опасными считаются такие виды спорта: конькобежный спорт, фигурное катание, альпинизм, лыжный спорт, горный туризм, художественная гимнастика.
Падение человека с высоты собственного роста с ударом головы о твердую поверхность (падение во время гололеда и прочее). Травма при производстве. Например, травматическое субдуральное кровоизлияние может возникнуть при несоблюдении правил техники безопасности среди строителей при высотных работах, работа без защитного головного убора.

К образованию субдуральных гематом могут привести сосудистые заболевания: атеросклероз сосудов головного мозга, артериальная гипертония, аневризма. Субдуральное кровоизлияние может возникнуть как на стороне повреждения, так и на противоположной стороне. Типичным признаком для субдуральных гематом является постепенное развитие.
Скорость проявления клинических симптомов зависит от вида поврежденного сосуда и объема излившейся крови. Клиническая картина разворачивается быстрее, если повреждается крупный сосуд и развивается большое кровоизлияние. Временной период от получения травмы до появления клинических проявлений называется светлым промежутком.
Классификация субдуральных гематом
По продолжительности светлого промежуткаи по развитию последующих неврологических симптомов различают следующие виды субдуральных гематом:
Острая субдуральная гематома. Ее развитие происходит в течение 1- 3 дней. Такой вид кровоизлияния возникает из-за сильного воздействия на головной мозг вследствие быстрого субдурального кровотечения. Острое травматическое субдуральное кровоизлияние – наиболее распространенная причина летальности от черепно-мозговых травм.

Подострая субдуральная гематома развивается дольше. Светлый промежуток при данном виде может продолжаться от 4 до 14 дней. Это объясняется тем, что при таких субдуральных гематомах калибр поврежденного сосуда бывает небольшой и кровотечение маленькое. При этом объем субдуральных кровоизлияний возрастает медленно и не так сильно давит на структуру мозга.
Хроническая субдуральная гематома возникает значительно дольше. Светлые промежутки при таких субдуральных кровоизлияниях могут варьировать от пары недель до нескольких месяцев и лет. Чаще всего хронический тип кровоизлияния – это последствие сосудистых заболеваний головного мозга человека.

Клиническая картина субдуральных гематом
Субдуральные гематомы характеризуются волнообразным течением, появлением мозговых симптомов, очаговых и стволовых симптомов. Характер очаговых симптомов зависит от локализации кровоизлияния.
Проявление и интенсивность мозговых симптомов при субдуральных гематомах находится в прямой зависимости от интенсивности и объема сдавления головного мозга. От характера поражения ствола мозга зависит проявление стволовой симптоматики. В клинике субдуральных гематом различают 3 варианта течения.
Первый вариант – классический тип
В этом случае субдуральные гематомы характеризуются определенным чередованием трех фаз:
- Сразу после получения травмы человек теряет сознание. Это защитная реакция головного мозга на возникновение сильной боли. Затем человек приходит в сознание. У него могут быть жалобы на слабость и состояние оглушенности. Иногда возникает ретроградная амнезия, пострадавший не помнит события, произошедшие до травмы.
- Вторая фаза – это светлый промежуток. Это очень опасное состояние. После нормализации сознания пострадавшие обычно возвращаются к обыденным делам. Им кажется, что все прошло, и они не спешат обращаться к врачу. Тем временем состояние ухудшается и наступает следующая фаза.
- На третьей стадии субдуральные кровоизлияния характеризуются проявлением менингеальных и очаговых симптомов. Происходит повторная потеря сознания.

Общие мозговые симптомы
Проявление таких симптомов указывает на серьезное поражение головного мозга. У пациентов с субдуральными гематомами появляются следующие клинические проявления:
- Появление сильной головной боли.
- Возбуждение или безразличие к окружающему.
- Потеря ориентации в пространстве и во времени.
- Может наблюдаться сопор, человек не обращает внимания на речь, обращенную в его адрес.
- В нередких случаях субдуральные гематомы сопровождаются судорогами.

Менингеальные симптомы
Проявление таких симптомов указывает на повреждение мозговых оболочек:
- Ригидность затылочных мышц.
- Рвота, не приносящая облегчения.
- Положительные менингеальные знаки (симптом Кернига и Брудзинского).

Очаговые симптомы
Очаговая симптоматика проявляется не сразу, а только по мере нарастания оглушенного состояния. Чаще всего возникают следующие очаговые проявления субдуральной гематомы: мидриаз, расстройство чувствительности, возникает функциональная недостаточность мозга, которая отражается на противоположной стороне поражения.
Стволовые симптомы: уменьшение ЧСС (частоты сердечных сокращений), нарушается дыхание, возникают тонические судороги.
По мере нарастания интенсивности симптомов субдуральной гематомы возникает потеря сознания. Опасность субдуральных кровоизлияний – это последствия, которые возникают вследствие сдавливания тканей головного мозга. Трехфазным течением больше характеризуется подострая субдуральная гематома.
Второй вариант течения субдуральных гематом – размытая картина светлого промежутка, он почти не наступает. Происходит глубокая первая потеря сознания до состояния комы. Здесь четко выражены очаговые симптомы и стволовая симптоматика. После этого возникает частичное восстановление сознания до степени оглушения.

Затем снова наступает состояние сопора или наступает кома. Такие субдуральные гематомы характеризуются глубоким нарушением жизненно-важных функций. Происходит ослабление мышечных функций одной половины тела (гемипарез), развиваются эпилептические припадки.
Для третьего варианта течения субдуральных гематом характерно полное отсутствие светлого промежутка. Такое состояние наблюдается после того, когда голова подверглась множественным травмам. Пострадавшие находятся в очень тяжелом состоянии, у них отсутствует положительная динамика.
Диагностика
Распознавание субдуральных кровоизлияний процесс непростой. Для постановки точного диагноза необходимы комплексные действия специалистов. Они включают в себя:
- Тщательный сбор анамнеза: необходимо выяснить характер травмы, развитие клинических симптомов, жалобы.
- Магнитно-резонансная томография помогает выявить точную локализацию субдуральных гематом и точный объем кровоизлияния.
- Компьютерная томография.
- Рентгенография черепа – обязательная процедура для всех пациентов с ЧМТ.

Лечение субдурального кровоизлияния
Пациенты с субдуральной гематомой подлежат немедленной госпитализации, чем раньше будет получена квалифицированная медицинская помощь, тем меньше риск для жизни. Лечение субдуральных кровоизлияний может быть консервативное и оперативное.
Консервативные методы лечения применяются при наличии маленьких не прогрессирующих субдуральных гематом. К основным методам консервативной терапии относятся:
- Положение больного в постели с приподнятым головным концом на 30-40°. Такое положение облегчает отток крови из полости черепа.
- Дегидратационная терапия позволяет освободиться от лишней жидкости и предупреждает отек мозга. С этой целью при субдуральных гематомах назначают осмотические лекарственные препараты (Маннитол), петлевые диуретические лекарственные препараты (Фуросемид), препараты для улучшения метаболических процессов.
- Применяется кислородотерапия.
- В случаях нарастания дыхательной недостаточности подключают аппарат искусственной вентиляции легких.
- При наличии субдурального кровоизлияния целесообразно назначать препараты, поддерживающие сердечно-сосудистую систему, проводится контроль артериального давления.

Показания к хирургическому вмешательству при лечении субдуральной гематомы:
- Острый тип субдуральных гематом с большим объемом кровоизлияния.
- Ухудшения состояния даже при малом объеме субдурального кровоизлияния.
- Подострый тип или хроническая субдуральная гематома с большим объемом кровоизлияния и ухудшением клинических симптомов.
В острых формах субдуральной гематомы проводят краниотомию. Проводится трепанация черепа, и извлекается сгусток. Затем убирают скопившуюся кровь методами орошения и всасывания. Такая операция очень рискованная, но без нее острые субдуральные гематомы угрожают жизни человека.

При меньших объемах кровоизлияния и хронических формах субдуральной гематомы производят высверливание в кости черепа маленького отверстия. Затем хирург вставляет туда резиновую трубочку для оттока крови. Пациентам обязательно назначают противосудорожные препараты. Затем требуется долгая реабилитация путем приема лекарственных препаратов.
Последствия
Восстановление пациентов, имеющих субдуральное кровоизлияние, происходит долго и в большинстве случаев не проходит бесследно. Острое травматическое субдуральное кровоизлияние часто приводит к смерти пациента.

В других случаях, даже после полученного квалифицированного лечения, может наступить летальный исход или серьезное повреждение головного мозга. Шансы на благополучный исход возрастают при соблюдении всех врачебных рекомендаций после перенесенной операции.
Субдуральная гематома головного мозга – серьезная угроза жизни человека. После получения сильных травм черепа, необходимо обращаться к врачам для осмотра. Только при своевременном оказании медицинской помощи можно добиться полного или частичного выздоровления.
Субдуральная гематома – причины возникновения, симптомы
Субдуральная гематома представляет собой одну из разновидностей внутреннего кровотечения и относится к опасным патологиям. Связано это с тем, что получив повреждение черепа, пострадавший может и не заподозрить о появившейся проблеме, пока не появятся клинические признаки. Поэтому медицинская помощь будет оказана не своевременно, а это значит, что риск повреждения мозга и летального исхода велик.
Что такое субдуральная гематома
Субдуральная гематома является результатом травм головы при произошедшем повреждении сосудов, находящихся прямо под костями черепа. При этой патологии кровь начинает скапливаться между твердой и паутинной, или как ее называют, арахноидальной оболочками.

Данное пространство наполняется кровью, тем самым увеличивая давление на мозг, провоцируя ряд признаков. Если давление не перестает нарастать, гематома может вызвать проблемы со здоровьем, жизнеопасные ситуации. Самый худший вариант, который вызывает субдуральная гематома головного мозга – это кома или смерть.
Факторы появления патологии
Субдуральное кровоизлияние по разным факторам может возникать. Рассмотрим ряд основных причин субдуральной гематомы:
- ДТП, особенно если в момент резкого торможения водитель или пассажир ударился о переднюю панель, машина столкнулась с другим транспортом во время движения, а ремни безопасности отсутствовали.
- В результате падения с большой высоты или в случае, когда на голову упал тяжелый предмет.
- При производственных повреждениях, при несоблюдении рабочим техники безопасности – отсутствие защитной каски во время строительных работ.
- При падении с высоты собственного роста или если ударится головой о выступ.
- При занятиях спортом могут произойти повреждения, вызывающие данную гематому — во время занятий легкой атлетикой, лыжных или конькобежных соревнований, горного или пешеходного туризма, альпинизма.
- При хронических процессах в сосудах вроде гипертонической болезни, атеросклероза или аневризмы.
Особенностью таких гематом является их медленное развитие, так как объем вытекающей крови увеличивается постепенно. При повреждении крупного сосуда, нарастание клинических симптомов происходит быстрее. В связи с такими особенностями специалисты выявили три фазы развития процесса заболевания.
Тяжесть степени гематомы определяет светлый промежуток или период времени, которое прошло после травмирования и до появления первых признаков повреждений тканей мозга.
Классификация
Классификация заболевания определяется по тому, какое время длится светлый промежуток и наличию клинической картины.

Субдуральная гематома головного мозга делится на три вида:
- Острая стадия — ее развитие проходит в течение трех дней после получения травмы. Патология возникает, в случае, если головной мозг был подвержен тяжелому и сильному воздействию.
- Подострая форма – такой аномальный процесс формируется в срок от четырех дней до двух недель. В данной ситуации, из – за незначительного травматического воздействия повредился небольшой сосуд и поэтому количество крови, которая просачивается в пространство между мозгом и черепом незначительное и увеличение объема происходит медленно.
- Хроническая субдуральная гематома. Такая патология проявляется через несколько недель и даже месяцев. ХСГ отличается от острых и подострых гематом имеющейся ограничительной капсулой, определяющей все последующие особенности пато — и саногенеза, клинического течения и тактики терапии. Капсулу хронической субдуральной гематомы, как правило, можно различить и начинает она функционировать уже через две недели после ЧМТ. Потому этот срок и принят в медицинской практике для разграничения хронических кровоизлияний от острых и подострых. Но вместе с тем развитие и образование капсулы хронической субдуральной гематомы — процесс, растянувшийся на месяцы и годы. Роль повреждения в этом случае второстепенная. Чаще всего хронические формы возникают при заболеваниях сосудов головного мозга.
Методы лечения подбираются в зависимости от формы болезни.
Симптоматика
Развитие субдуральной гематомы происходит поэтапно, в несколько стадий, которые четко чередуются:
- Первая фаза – возникает она сразу после травмы. Пострадавший теряет сознание. Именно так организм реагирует на сильный болевой синдром и стресс. Обморок относится к защитной реакции организма. После того, как больного привели в чувство, у него развивается слабость и оглушенность, несильная головная боль. Все это считается нормой при данной проблеме. На этой стадии может произойти развитие ретроградной амнезии, когда, пациент не помнит предшествующие травме события. Коварной особенностью данной проблемы является то, что через время после получения травмы, пострадавший не ощущает никаких симптомов, указывающих на ухудшение состояния здоровья. Такое состояние медики именуют светлым промежутком.
- Вторая фаза — именно при этой фазе пациенты чаще всего обращаются за помощью к специалистам. Связано это с невнимательным отношением к своему здоровью, поэтому последующие последствия могут быть опасными. Особенно, если больной будет продолжать вести обычный образ жизни, заниматься такими видами деятельности, которые требуют повышенную концентрацию внимания. К примеру — водить автомобиль.
- Третья фаза относится к самым опасным и сопровождается общемозговыми, очаговыми и менингеальными признаками.
Общемозговыми называют те признаки, которые развиваются при тяжелых повреждениях головного мозга. Больной начинает страдать от головных болей и нарушений сознания. У него повышается апатичность, и он становится безразличным ко всему.

Появляются нарушения в способности ориентироваться в пространстве, человек с трудом определяет, какое время суток за окном или какой сегодня день недели.
В ряде случаев угнетаются мозговые функции, и у больного прогрессирует состояние,
называемое сопором — отсутствует реакция на обращение к нему, он может среагировать только на сильное болевое раздражение.
Головная боль возникает во время травмы, а в период светлого промежутка незначительно ослабевает. Болезненные ощущения при третьей фазе нарастают и могут быть очень сильными, заставляя потерпевшего беспрестанно стонать.
В редких случаях субдуральные гематомы могут вызвать приступообразные судороги. Если травма произошла у ребенка, то судороги будут проявляться в определенной части тела, между тем как у взрослых судорожный синдром является общим.
При возникновении специфических симптомов специалист подозревает, что произошло повреждение мозговой оболочки. Данные признаки называют менингеальными, и заставляют человека страдать от постоянно усиливающихся головных болей, не связанной с приемом пищи и не приносящей облегчение рвоты. Также врач должен проверить при данном повреждении пациента на наличие положительных менингеальных знаков.
Такая клиническая картина может возникать при воспалительных процессах или травматических повреждениях арахноидальной оболочки, и диагностируют в этом случае субарахноидальную гематому. Проявляется она умеренными общемозговыми симптомами или их полным отсутствием.
Опасность вызывают не только субдуральные кровоизлияния, но и их последствия. Возникают они в случае, когда из-за разросшейся гематомы происходит сдавливание мозгового центра. При этом происходит нарушение в двигательной активности больного, у него ухудшается чувствительность в конечностях или во всем теле, нарушается слуховая и зрительная функция, появляются проблемы с памятью и координацией движений.
Если вовремя человеку при данной патологии не оказать помощь и кровоток в сдавленных участках не восстановится, то клетки начнут отмирать.
Диагностика
Острую субдуральную гематому важно диагностировать своевременно, а терапия должна начаться незамедлительно. Быстро начатое лечение поможет свести к минимуму риск летального исхода или длительных последствий.
Хроническая субдуральная гематома врачи именую «большим хамелеоном», который может имитировать большое количество неврологических заболеваний, а значит, прежде чем попасть к нейрохирургу, его будут по очереди направлять к неврологам, психиатрам и терапевтам, оттягивая тем самым необходимое лечение.
Переменчивость клинической картины затрудняет выявление субдуральных кровоизлияний. При постановке диагноза неврологом учитываются следующие значения — характер травмы, динамика нарушения сознания, наличие или отсутствие светлого промежутка, «лобная» психика, показатели неврологического статуса.
В обязательном порядке всем пациентам проводят рентгенографию черепной коробки. При отсутствии других способов распознать гематому можно прибегнуть к Эхо-ЭГ.
К вспомогательным методом диагностики хронических субдуральных гематом относят офтальмоскопия. С ее помощью офтальмолог на глазном дне может обнаружить застойные диски зрительных нервов с их частичной атрофией.
Ангиография церебральных сосудов выявляет характерный «симптом каймы» — серповидной аваскулярной зоны в виде полосы всевозможной ширины.

Решающим методам в постановке диагноза данного заболевания являются показатели КТ и МРТ головного мозга. При диагностике острых гематом назначают компьютерную томографию головного мозга, которая может выявить в этом случае однородную зону повышенной плотности, серповидной формы.
Через определенное время происходит разуплотнение гематом и кровяные пигменты распадаются. В связи с этим через месяц – полтора гематома перестает отличаться по плотности от окружающих ее тканей. В подобной ситуации диагноз ставится на смещении латеральный отделов мозга в медиальном направлении и симптомах сдавления бокового желудочка.
При проведении МРТ может выявиться пониженная контрастность зоны острой гематомы, а хронические субдуральные кровоизлияния чаще всего отличаются гиперинтенсивностью в «патологическом изображении» или режиме Т2.
При затруднительных случаях проводят МРТ с контрастированием. При помощи интенсивного накопления капсулой гематомы контраста можно отличить ее от кисты или гигромы.
Люмбальную пункцию при данном диагнозе, как и при хронической субдуральной гематоме проводить категорически запрещено, так как она может усложнить смещение мозговых структур.
Лечение
Лечение субдуральной гематомы мозга у человека проводят двумя методами — консервативным или хирургическим путем. Зависит терапия от типа кровоизлияния, объема гематомы, а также индивидуальных особенностей больного.
При острой стадии необходимо удаление субдуральной гематомы. При выявлении смещения и сдавливания мозговых тканей операцию следует провести в максимально короткие сроки от момента получения травмы или разрыва сосуда.
Абсолютные показания к хирургическому лечению следующие.
- Острая субдуральная гематома, вызывающая сдавление и смещение мозга. Операцию необходимо провести в максимально сжатые сроки после травмы. Чем раньше удалена субдуральная гематома, тем лучше исход.
- Подострая субдуральная гематома при нарастании очаговой симптоматики и/или признак ах внутричерепной гипертензии.
Во всех остальных случаях решение о хирургическом вмешательстве принимают на основании комплекса клинических и рентгенологических показателей.
Для полного удаления острой субдуральной гематомы и надежного гемостаза проводится широкая краниотомия. Место локализации и размер костнопластической трепанации зависит от размера субдуральной гематомы и ее места нахождения и сопутствующих паренхиматозных травмирований.
Иссечение гематомы позволяет купировать кровотечение, если оно продолжает вытекать из очага размозженного мозга. При быстро нарастающем смещении мозга краниотомию необходимо начать с наложения фрезевого отверстия, через которое можно быстро засосать часть субдуральной гематомы и тем самым снизить степень компрессии мозга. После этого следует как можно быстрее выполнить остальные этапы данной процедуры.
Важно! Существенного отличия в сравнении летального исхода у больных, где применяли «быстрое» удаление субдуральной гематомы через трефинационное отверстие, и у пациентов, где сразу проводили костно-пластическую трепанацию, не выявлено.

При проведении трепанации, в данное отверстие выпячивается синюшная, напряженная, слабопульсирующая или вообще не пульсирующая твердая оболочка мозга. В случае если совместно с субдуральным кровотечением присутствует сопутствующий ей полюсно-базальный ушиб лобных и височных долей на стороне гематомы вскрытие твердой оболочки необходимо проводить в виде дуги, основанием к базису, так как при данном повреждении источником кровотечения чаще всего бывает корковый сосуд в области контузионных очагов.
Если гематома располагается в конвекситально-парасагиттальной зоне, то вскрытие твердой оболочки мозга можно провести основанием к верхнему сагиттальному синусу.
Если имеются очаги разможения и при наличии подлежащих внутричерепных гематом удаляют свертки крови и мозгового детрита путем ирригации и щадящей аспирации. Гемостаз проводят при помощи биполярной коагуляции, гемостатической губки или фибрин-тромбиновой клеевой композиции.
После ушивания оболочки мозга или при пластике, костный лоскуток следует уложить на место и зафиксировать швами, в случае, когда происходит выпячивание вещества мозга в трепанационное окно, костный лоскутик удаляют и консервируют, то есть операцию заканчивают резекционной трепанацией черепа.
Не все пострадавшие с субдуральной гематомой нуждаются в хирургическом вмешательстве. Если они находятся в ясном сознании и толщина их кровоизлияние не превышает 10 мм, а смещение срединных структур в пределах 3 мм, а сдавления базальных цистерн отсутствует, то обычно такие больные не нуждаются в проведении операции.

Если пациент находится в сопоре или коме и его неврологический статус стабилен, внутричерепное давление не превышает 25 мм рт. ст., а объем гематомы не больше 40 мл, то ему проводят консервативную терапию с динамическим клиническим, а также КТ — и МРТ — контроле.
- Противоотечныe медикаменты – имупрет, индoмeтaцин, диакарб, вeлoплaнт.
- Лекарства для yлyчшeния кpoвooбpaщeния гoлoвнoгo мoзгa – нифедипин, кавинтон, вepaпaмил, дилaкop, фeлoдипин.
- Пpeпapaты для yлyчшeния обмена веществ гoлoвнoгo мoзгa – цитофлавин, цepeбpoнopм, тиоцетам.
- Oбeзбoливaющиe средства – мелоксам, пенталгин, раптен, мoвaиcн.
- Пpитивopвoтныe медикаменты.
- Витамины гpyппы A, C.
Рассасывание плоскостной субдуральной гематомы происходит в течение одного месяца. В ряде случаев вокруг кровоизлияния образуется капсула, и гематома перерождается в хроническую форму травмы. Если при динамическом контроле данная трансформация субдуральной гематомы в хроническую форму провоцирует ухудшение состояния больного или нарастание головных болей, застоем на глазном дне, то возникает необходимость в срочном хирургическом вмешательстве методом закрытого наружного дренирования.
Koнcepвaтивная терапия должна прoвoдиться пoд пocтoянным кoнтpoлeм apтepиaльнoгo дaвлeния.
Последствия
Субдуральная гематома головного мозга может привести к разным негативным последствиям. Острые случаи чаще всего заканчиваются неблагоприятным исходом. Связано это с первичным тяжелым повреждением мозга, который провоцирует данная гематома и приводит к быстрому смещению головного мозга и ущемлению его стволовых структур.

Поэтому хоть для терапии патологии и применяют современные методики, острые субдуральные гематомы часто заканчиваются сравнительно высоким процентом смертности, а выжившие в большинстве случаев получают инвалидность.
Прогноз во многом зависит и от того, как быстро был поставлен диагноз и как качественно проведено удаление гематомы.
У пациентов, которым иссекли гематому в первые шесть часов после травмирования шансы на выживание гораздо выше, чем у тех, кому провели операцию в более поздние сроки.
В негативном исходе немалое значение играет возраст пострадавшего и размер кровоизлияния.
Неблагоприятный исход при такой гематоме возможен из-за развития внутричерепной гипертензии и ишемии мозга.
Так же факторами для неблагоприятного исхода служат возникающие после удаления острых гематом отеки.
Современная медицина не стоит на месте и согласно недавним исследованиям видно, что если быстро купировать давление на ткань мозга, то ишемические патологии можно обратить.
Если субдуральная гематома не была вылечена своевременно, то избежать тяжелых последствий нельзя. Постепенно происходит сгущение крови и усиление давления на структуру головного мозга. Если давление будет долго держаться, то поврежденные участки начинают отмирать и атрофироваться. Утраченные функции восстановлению не подлежат.
Важно! Даже после терапии субдуральной гематомы больной может умереть или у него произойдет тяжелое повреждение мозга. Увеличить шансы на благоприятный исход можно, при условии, что больной будет выполнять все предписания и все рекомендации своего врача.
Не стоит тянуть с диагностикой и лечением заболевания!
Запишитесь на обследование у врача!
Субдуральная гематома: симптомы, диагностика и лечение
Что такое субдуральная гематома?
Субдуральная гематома возникает, когда кровь собирается на поверхности вашего мозга под черепом. Субдуральные гематомы могут быть опасными для жизни. Обычно они возникают в результате травмы головы.
Субдуральные гематомы бывают острыми или хроническими. Острые субдуральные гематомы обычно образуются из-за тяжелой травмы головы. Примерно от 20 до 30 процентов людей восстанавливают полную или частичную функцию мозга после острой субдуральной гематомы.
Хронические субдуральные гематомы возникают из-за легкой травмы головы.
Сгусток крови на поверхности мозга также называется субдуральной гематомой.
Субдуральная гематома возникает при разрыве вены между черепом и поверхностью мозга.
Острые субдуральные гематомы
Если вы получили серьезную черепно-мозговую травму, эта область может наполниться кровью и вызвать опасные для жизни симптомы. Это называется острой субдуральной гематомой. Это самый опасный вид субдуральной гематомы.
Острые субдуральные гематомы обычно вызываются:
- автомобильной аварией
- ударом по голове
- падением
Острые субдуральные гематомы образуются быстро, и симптомы появляются немедленно. Около 50-90 процентов людей, у которых развиваются острые субдуральные гематомы, умирают от этого состояния или его осложнений.
Хронические субдуральные гематомы
Хронические субдуральные гематомы обычно возникают в результате легких или повторяющихся травм головы. Это обычное явление у пожилых людей, которые неоднократно падают и ударяются головой.Некоторые хронические субдуральные гематомы возникают без видимой причины.
Более высокая частота этого состояния у пожилых людей также может быть связана с сокращением мозга с возрастом. Это создает дополнительное пространство в черепе, что позволяет легче повредить вены при травме головы. Симптомы хронических субдуральных гематом проявляются не сразу и могут не проявляться в течение нескольких недель.
Хронические субдуральные гематомы лечить легче, чем острые субдуральные гематомы. Однако они по-прежнему могут вызывать опасные для жизни осложнения.
Острые субдуральные гематомы сразу вызывают симптомы. Однако у людей с хроническими субдуральными гематомами симптомы могут отсутствовать.
Общие симптомы субдуральной гематомы:
- невнятная речь
- потеря сознания или кома
- судороги
- онемение
- сильные головные боли
- слабость
- проблемы со зрением
Вы должны немедленно обратиться к врачу если у вас есть какие-либо из этих симптомов. Эти симптомы также являются признаками других очень серьезных заболеваний.Симптомы хронической субдуральной гематомы могут быть похожи на симптомы деменции, инсульта, опухолей или других проблем в головном мозге.
Субдуральную гематому можно диагностировать с помощью визуализирующих тестов, таких как компьютерная томография или МРТ. Эти снимки позволят вашему врачу подробно изучить ваш:
- мозг
- череп
- вены
- другие кровеносные сосуды
Эти снимки также могут выявить наличие крови в вашем мозгу.
Ваш врач может также назначить анализ крови, чтобы проверить ваш общий анализ крови.Полный анализ крови измеряет количество эритроцитов, лейкоцитов и тромбоцитов. Низкий уровень эритроцитов может указывать на значительную кровопотерю.
Ваш врач может также провести медицинский осмотр, чтобы проверить частоту сердечных сокращений и артериальное давление на предмет наличия внутреннего кровотечения.
Острую субдуральную гематому можно лечить только в операционной.
Хирургическая процедура, называемая краниотомией, может использоваться для удаления большой субдуральной гематомы.Обычно он используется для лечения острых субдуральных гематом. В ходе этой процедуры хирург удаляет часть черепа, чтобы получить доступ к сгустку или гематоме. Затем они используют отсос и орошение, чтобы удалить его.
При острой субдуральной гематоме краниотомия может быть необходимой процедурой, спасающей жизнь. Но риски все же есть. В одном исследовании 18 процентов пациентов умерли в течение 30 дней после операции.
Отверстие для фрезы можно использовать для дренирования хронических субдуральных гематом, а также острых гематом меньше одного сантиметра в самом толстом месте.Сначала хирург проделывает в черепе небольшие отверстия, а затем вставляет в них резиновые трубки. Через эти отверстия вытекает кровь из гематомы. Хотя показатели выздоровления различаются, от 80 до 90 процентов пациентов испытывают значительное улучшение функции мозга после этой процедуры.
Ваш врач может назначить противосудорожные препараты для лечения или предотвращения судорог, которые могут быть вызваны субдуральной гематомой. Для лечения черепно-мозговой травмы также можно использовать лекарства. Кортикостероиды часто назначают для уменьшения воспаления в головном мозге.
Осложнения субдуральных гематом могут возникнуть вскоре после травмы или спустя некоторое время после ее лечения.
Эти осложнения могут включать:
- грыжу головного мозга, которая оказывает давление на ваш мозг и может вызвать кому или смерть
- судороги
- постоянная мышечная слабость или онемение
Степень осложнений зависит от степени тяжести вашего мозга травма, повреждение. Другие проблемы со здоровьем могут повлиять на хронические или острые субдуралы.Люди, принимающие антикоагулянты (разжижители крови), подвержены более высокому риску. Люди старше 65 лет также имеют более высокий риск, особенно хронического типа.
Судороги могут возникать даже после того, как вы вылечились от субдуральной гематомы и она была удалена.
Ваш прогноз на выздоровление зависит от типа травмы головного мозга и места ее расположения. Ваш врач составит лучший для вас план лечения и восстановления.
.
субдуральная гематома | Механизм, симптомы и лечение
Субдуральная гематома , кровотечение в пространство между мозгом и его внешним защитным покрытием, твердой мозговой оболочкой. Обычно это происходит, когда травматическая сила, приложенная к голове, создает значительные быстро меняющиеся скорости содержимого внутри черепа. Расширяющееся кровотечение может увеличить давление внутри черепа и сдавить подлежащую ткань мозга. Хотя субдуральные гематомы относительно редки, они представляют собой очень серьезные травмы, которые могут привести к значительной инвалидности или смерти.Раннее распознавание предупреждающих знаков и быстрая медицинская помощь имеют первостепенное значение для хорошего результата.
субдуральная гематома Компьютерная томография головного мозга, показывающая субдуральную гематому (отмечена красными стрелками). Люсьен Монфис
Британская викторина
Медицинские термины и викторина для первопроходцев
Кто открыл основные группы крови и разработал систему определения группы крови ABO, которая сделала переливание крови обычной медицинской практикой?
Анатомия
Мозг защищен внутри черепа тремя отдельными слоями ткани (мозговыми оболочками).Самый внутренний слой, мягкая мозговая оболочка, представляет собой тонкую и нежную оболочку, лежащую на поверхности мозга. Второй слой, паутинная оболочка, покрывает головной мозг и мягкую мозговую оболочку, но не повторяет контура инволюций мозга. Самый внешний слой, твердая мозговая оболочка, обеспечивает более толстый и жесткий слой защиты.
Эти слои определяют три потенциальных пространства для сбора крови: эпидуральное пространство между черепом и твердой мозговой оболочкой; субдуральное пространство между твердой мозговой оболочкой и паутинным слоем; и субарахноидальное пространство между слоями паутинной оболочки и мягкой мозговой оболочки — каждый со своими собственными потенциальными источниками кровотечения.Мягкая мозговая оболочка слишком плотно прилегает к мозгу и слишком хрупка, чтобы служить барьером для крови, и, следовательно, между мягкой мозговой оболочкой и мозгом нет потенциального пространства для образования кровоизлияния.
Механизм травмы
Сеть вен пересекает пространство между поверхностью мозга и твердой мозговой оболочкой. Эти вены, соединяющие вены, могут разорваться, если содержимое черепа внезапно изменится в скорости. Кровь, вытекающая из соединительных вен, затем собирается в субдуральном пространстве, создавая гематому.Размер гематомы и скорость, с которой она расширяется, зависят в первую очередь от количества и размера разрывов в соединительных венах. Учитывая, что кровь в соединительных венах поступает с венозной стороны системы кровообращения и, следовательно, находится под меньшим давлением, субдуральные гематомы обычно расширяются гораздо медленнее, чем гематомы, образованные из артериальной крови, такие как эпидуральные гематомы. Расширяющаяся субдуральная гематома увеличивает внутричерепное давление и может привести к повреждению основного мозга.
Britannica Premium: удовлетворение растущих потребностей искателей знаний. Получите 30% подписки сегодня.
Подпишись сейчас
Субдуральные гематомы часто классифицируют по степени остроты на острые, подострые и хронические подтипы. Острые субдуральные гематомы чрезвычайно опасны и часто приводят к летальному исходу без быстрого хирургического вмешательства. Симптомы развиваются быстро, а показатели смертности сильно различаются в зависимости от множества первичных и вторичных факторов. Подострые субдуральные гематомы становятся симптоматичными в течение нескольких часов или дней и имеют лучший прогноз.Хронические субдуральные гематомы развиваются от нескольких дней до нескольких недель и часто встречаются у пожилых людей. Часто они имеют лишь легкую симптоматику или полностью бессимптомны. В этих случаях кровотечение самоограничивается и не требуется хирургического вмешательства или экстренного вмешательства. Субдуральная гематома, вызванная физическим воздействием, чаще проявляется как острый или подострый подтип.
Факторы риска
Любой процесс, увеличивающий расстояние, которое должны пройти соединительные вены, чтобы пересечь субдуральное пространство, увеличивает риск разрыва и, следовательно, образования гематомы.Атрофия мозга, вероятно, является самым большим фактором повышенного риска. Таким образом, субдуральные гематомы становятся все более распространенными по мере того, как люди стареют, и мозг подвергается естественному процессу возрастной атрофии. Процессы, которые увеличивают атрофию головного мозга, такие как болезнь Альцгеймера или хроническое употребление алкоголя, могут еще больше повысить риск.
Хотя атрофия мозга увеличивает риск развития субдуральной гематомы, она также снижает скорость и тяжесть связанных симптомов. Это связано с тем, что атрофия головного мозга дает гематоме больше места для расширения, прежде чем она начнет повышать внутричерепное давление и влиять на функцию мозга.И наоборот, у более молодых пациентов без атрофии симптомы обычно развиваются в течение более короткого периода времени.
Признаки и симптомы
Признаки и симптомы субдуральной гематомы обычно проявляются медленнее, чем наблюдаемые при эпидуральных гематомах. В зависимости от конкретного подтипа симптомы могут развиться в течение первых 24 часов или могут появиться с задержкой на несколько дней или недель. Скорость, с которой развиваются большинство симптомов, зависит главным образом от степени разрыва мостиковых вен и количества места, доступного для гематомы, прежде чем внутричерепное давление начнет увеличиваться.Головная боль, постоянная или непостоянная, безусловно, может возникать на любом этапе процесса. Другие общие признаки или симптомы, которые могут возникать в результате субдуральной гематомы, включают, помимо прочего, потерю сознания, онемение, судороги, амнезию, дезориентацию, невнятную речь, нечеткое зрение, головокружение, тошноту и изменения личности.
Следует отметить, что имеющиеся признаки и симптомы субдуральной гематомы аналогичны таковым при других травмах головы, включая сотрясение мозга.Часто основное различие заключается во времени появления симптомов. Если новые симптомы развиваются через несколько минут после очевидного воздействия или если наблюдается какое-либо клиническое ухудшение, следует уведомить службы неотложной медицинской помощи.
Клиническая оценка
Как и при любой травме головы, следует сначала оценить «ABC» (дыхательные пути, дыхание, кровообращение) и оценить возможность травмы шейного отдела позвоночника, при необходимости применяя иммобилизацию шейного отдела. Затем следует отметить уровень сознания с помощью шкалы комы Глазго.Также следует отметить любые языковые нарушения, нарушения памяти или ориентации. Затем следует провести физикальное обследование для выявления любых очаговых неврологических аномалий, включая обследование зрачков, поля зрения и глазного дна, с последующей тщательной оценкой силы, чувствительности, рефлексов, координации и походки. Любая очаговая неврологическая аномалия требует обращения за неотложной медицинской помощью.
После первоначальной оценки следует организовать соответствующий мониторинг и серийные исследования для документирования любых изменений признаков или симптомов.Если ситуация ухудшится, пациента следует дополнительно обследовать в условиях стационара. Следует проявлять осторожность, чтобы установить точный график событий, а точная документация результатов поможет прояснить течение после травмы.
Наличие субдуральной гематомы обычно подтверждается компьютерной томографией (КТ) головы. Также можно использовать магнитно-резонансную томографию (МРТ) головного мозга. Хотя МРТ может предоставить больше информации о повреждении самого мозга, оно требует больше времени для получения изображения и доступно не в каждом медицинском учреждении.Поэтому первоначальный диагноз обычно ставится с помощью компьютерной томографии.
Менеджмент
Ведение пациента с субдуральной гематомой во многом зависит от степени кровотечения, его локализации и общего клинического статуса. Небольшие бессимптомные субдуральные гематомы можно лечить консервативно с помощью серийных компьютерных томографов головы для оценки любых интервальных изменений размера кровотечения. Более крупные кровоизлияния или те, которые вызывают более значительный клинический компромисс, следует срочно обследовать на предмет хирургической декомпрессии.
Эрик Э. Адельман
Джеффри С. Катчер
Редакторы Британской энциклопедии
Узнайте больше в этих связанных статьях Britannica:
.
Причины, симптомы и варианты лечения
Проверено с медицинской точки зрения Drugs.com. Последнее обновление: 1 июня 2020 г.
Что такое субдуральная гематома?

Субдуральная гематома возникает при разрыве кровеносного сосуда у поверхности мозга. Кровь накапливается между мозгом и твердой внешней оболочкой мозга. Это состояние также называется субдуральным кровоизлиянием.
В субдуральной гематоме кровь собирается непосредственно под твердой мозговой оболочкой.Твердая мозговая оболочка — это самый внешний слой мозговых оболочек. Мозговые оболочки — это трехслойное защитное покрытие головного мозга.
Субдуральная гематома представляет собой угрозу для жизни, поскольку может сдавливать мозг.
Большинство субдуральных кровоизлияний возникает в результате травм головы.Травма повреждает крошечные вены в мозговых оболочках.
У молодых, здоровых людей кровотечение обычно вызывается значительным воздействием. Этот тип удара может произойти в аварии с высокоскоростным автомобилем.
Напротив, у пожилых людей может начаться кровотечение после небольшой травмы. Например, это могло произойти при падении со стула.
Субдуральная гематома также чаще встречается у людей:
- Прием препаратов, разжижающих кровь
- Кто злоупотребляет алкоголем
- У кого есть судороги
Острое субдуральное кровоизлияние — это кровотечение, которое развивается вскоре после серьезного удара по голове.Кровь быстро накапливается, вызывая повышение давления в головном мозге. Это может привести к потере сознания, параличу или смерти.
Когда кровотечение развивается медленно, оно известно как хроническое субдуральное кровоизлияние. Кровотечение может развиваться в течение недель или месяцев
Эта форма кровотечения гораздо чаще встречается у пожилых людей. Травма головы, вызывающая хроническое субдуральное кровоизлияние, часто бывает незначительной. Многие из пострадавших не могут вспомнить травму головы.
Симптомы
Острое субдуральное кровоизлияние обычно развивается после тяжелой травмы головы.Травмы, которые приводят к этому состоянию, обычно достаточно сильны, чтобы вызвать временную потерю сознания.
Обычно через несколько минут или часов после травмы головы человек приходит в сознание. Затем человек снова постепенно теряет сознание, на этот раз от субдурального кровотечения.
Другие общие симптомы острого субдурального кровоизлияния включают:
- Сильная головная боль
- Слабость на одной стороне тела
- Изъятия
- Изменения зрения или речи
Хронические субдуральные кровоизлияния вызывают более незаметные симптомы.Эти симптомы могут продолжаться более месяца, прежде чем будет установлен диагноз.
Эти симптомы включают:
- Легкая головная боль
- Тошнота или рвота
- Изменение личности
- Потеря памяти
- Потеря равновесия или трудности при ходьбе
- Двойное зрение
- Слабость, онемение или покалывание в руках или ногах
Симптомы, вызванные хроническим субдуральным кровоизлиянием, могут имитировать другие распространенные состояния.Например, они могут напоминать инсульты и опухоли головного мозга. Иногда постепенную потерю памяти и изменения личности можно принять за деменцию.
Диагностика
Все травмы головы должны быть немедленно осмотрены врачом. Это особенно верно, если произошла потеря сознания.
Врач обычно захочет узнать:
- Как произошла травма
- Какие симптомы развились
- Были ли травмы головы в прошлом.(Повторные травмы с большей вероятностью могут привести к серьезным повреждениям.)
- Есть ли у человека другие проблемы со здоровьем
- Какие лекарства принимает человек
- Употреблял ли человек алкоголь или наркотики
- Есть ли симптомы других травм (боль в шее, одышка и т. Д.)
Врач проведет тщательное физическое и неврологическое обследование. Он или она проверит:
- Артериальное давление и пульс
- Зрение и реакция глаз на свет
- Рефлексы и равновесие
- Умение отвечать на вопросы и запоминать
Если врач подозревает кровотечение в голове, он или она назначит компьютерную томографию (КТ).КТ — лучший способ определить место и количество кровотечения. Он также может выявить любые травмы головного мозга, черепа или шеи.
Врач может заподозрить хроническое субдуральное кровоизлияние, если у пожилого пациента появляются новые неврологические симптомы. Это более вероятно в случае падения или незначительной травмы головы.
Ожидаемая длительность
Острое субдуральное кровоизлияние развивается в течение нескольких минут или часов. Если не диагностировать и не лечить вовремя, это может вызвать серьезную травму головного мозга, а иногда и смерть.
Хроническое субдуральное кровоизлияние развивается в течение многих дней или недель. Симптомы могут быть незаметными и развиваться так медленно, что человек и семья не испугаются.
Как и в случае любой травмы головного мозга, симптомы могут медленно исчезать после лечения.Некоторые симптомы могут быть постоянными.
Иногда субдуральная гематома настолько мала, что операция по удалению крови может не потребоваться. Кровь будет постепенно реабсорбироваться организмом. Этот процесс может занять несколько месяцев. Но иногда это самый безопасный план лечения.
Профилактика
Несчастные случаи, включая травмы головы, являются основной причиной смерти молодых людей. Многие из этих несчастных случаев связаны с наркотиками и алкоголем. Многие другие можно предотвратить с помощью простых мер предосторожности или защитного оборудования.
Для предотвращения травм головы:
- Если вы употребляете алкоголь, пейте умеренно. Никогда не садитесь за руль после употребления алкоголя или наркотиков.
- Если ваша работа связана с работой высоко над землей, используйте утвержденное защитное оборудование для предотвращения случайных падений.
- Никогда не работайте на высоте, если вы:
- Ощущение головокружения или неустойчивости
- Пили алкоголь
- Принимаете лекарства, которые могут вызвать головокружение или нарушить равновесие
- Регулярно проверяйте зрение.Плохое зрение увеличивает риск падений и других несчастных случаев.
- Если вы пожилой человек, очистите свой дом или квартиру от опасностей, которые могут споткнуться и упасть. К ним относятся коврики и удлинители.
- Если вы чувствуете себя неуверенно на ногах, подумайте об использовании трости или ходунков.
- Если вы занимаетесь контактным видом спорта, например футболом, и получили серьезную травму головы, дайте достаточно времени для выздоровления, прежде чем снова начать играть.После травмы головы полное заживление может занять до 15 дней. Это верно, даже если симптомы исчезнут гораздо раньше. Повторная травма головы во время этого хрупкого периода восстановления может привести к еще большему кровотечению. Это называется синдромом второго удара.
«Разжижающие кровь» препараты увеличивают риск кровотечения в голове. Примеры включают:
Лечение
Острое субдуральное кровоизлияние требует немедленной медицинской помощи.В большинстве случаев требуется экстренная операция для дренирования гематомы и остановки кровотечения.
Напротив, только некоторые хронические субдуральные кровоизлияния требуют неотложной операции. Большинство врачей рекомендуют операцию при более крупных кровоизлияниях и кровотечениях, которые вызывают неврологические симптомы. Однако в некоторых случаях может быть целесообразным постельный режим, лекарства и наблюдение. Это может иметь место в случае небольших гематом, которые вызывают минимальные симптомы или не вызывают их вовсе.
Люди, у которых развивается субдуральное кровоизлияние, подвержены риску судорог.Судороги могут возникнуть даже после лечения гематомы.
Когда звонить профессионалу
Вызовите скорую помощь, если вы обнаружите кого-то без сознания на месте происшествия.
Также немедленно обратитесь за помощью, если кто-то получил травму головы:
- Сонливость или снижение активности
- Тошнота или рвота
- Замешательство или амнезия
- Затруднения при ходьбе или плохая координация
- Невнятная речь
- Двойное зрение
- Иррациональное или агрессивное поведение
- Изъятия
- Онемение или паралич любой части тела
Даже если травма головы кажется незначительной, с легкими симптомами, некоторые люди подвергаются высокому риску серьезного кровотечения.Вызовите врача или немедленно обратитесь в пункт неотложной помощи, если человек также получил травму головы:
- Пожилой
- Принимает лекарства для предотвращения образования нежелательных тромбов
- Имеет нарушение свертываемости крови
- Имеет в анамнезе сильное употребление алкоголя
Прогноз
Перспективы острых субдуральных кровоизлияний в целом плохие, и некоторые люди умирают даже после своевременной операции.Обычно в результате травмы возникают повреждения других частей головного мозга. Как правило, это правда независимо от размера гематомы. Многие из выживших могут остаться с постоянными неврологическими проблемами.
Прогноз самый лучший у людей, которые:
- Не терять сознание и ненадолго без сознания
- При осмотре врача неврологические симптомы отсутствуют или отсутствуют
- Моложе 50 лет
- Не злоупотребляйте алкоголем
- Нет других сопутствующих повреждений головного мозга
- Получить немедленную медицинскую помощь
- Прогноз при хроническом субдуральном кровоизлиянии достаточно благоприятный.Большинство людей могут вернуться к нормальному функционированию.
- Прогноз самый лучший у тех, кто на момент оценки:
- бодрствуют бдительны
- Отсутствуют или отсутствуют неврологические симптомы
Подробнее о субдуральной гематоме
Сопутствующие препараты
Внешние ресурсы
Национальный институт неврологических расстройств и инсульта
http: // www.ninds.nih.gov/
Сеть организаций по борьбе с аллергией и астмой. Матери астматиков (AANMA)
http://www.allergyasthmanetwork.org/
Американская ассоциация неврологических хирургов
http://www.neurosurgerytoday.org/
Американская ассоциация травм головного мозга
http://www.biausa.org/
Дополнительная информация
Всегда консультируйтесь со своим врачом, чтобы убедиться, что информация, отображаемая на этой странице, применима к вашим личным обстоятельствам.
Заявление об отказе от ответственности
.
SEPS Лечение хронических и подострых субдуральных гематом
О SEPS
Система субдурального эвакуационного порта SEPS ™ — это инновационная запатентованная технология для лечения хронических и подострых субдуральных гематом, которая также показана для лечения гигром. SEPS является улучшением по сравнению с предыдущими методами, так как он может использоваться у постели больного под местной анестезией и использует меньшее отверстие заусенца, чем другие методы субдуральной эвакуации.
SEPS позволяет постепенно расширять и восстанавливать мозг, уменьшая дальнейшие травмы хрупких структур мозга при его декомпрессии.
- Процедура SEPS может выполняться у постели больного под местной анестезией
- Требуется только отверстие 5 мм
- Отверстие для эвакуации не допускает попадания в субдуральное пространство
- Не требуется ирригации, аспирации или катетера
- SEPS — закрытая система эвакуации гематом
- SEPS экстрадурально устанавливает равномерное отрицательное давление для последовательной эвакуации, постепенной декомпрессии, повторного расширения и восстановления мозга
Как работает SEPS
Минимально инвазивная система субдурального эвакуационного порта (SEPS ™ ) — это закрытая система, в которой используется равномерное отрицательное давление для постепенного удаления гигром, хронических и подострых субдуральных гематом.
В процедуре SEPS порт эвакуации не входит в субдуральное пространство. Для него не требуется операционная, и его можно установить у постели пациента под местной анестезией, используя 5-миллиметровое отверстие. Текущие методы требуют 20–30 минут для настройки по сравнению с процедурой SEPS, которая может быть выполнена за 10 минут.
Важная информация по технике безопасности
Помимо рисков, связанных с любой хирургической операцией на головном мозге, таких как кровотечение, повреждение окружающей мозговой ткани, судороги, инсульт или смерть, могут также возникнуть следующие осложнения: реакции на инородное тело; бактериальное заражение раны, раневой абсцесс, образование свищей и грыжа тканей в месте эвакуационного порта; пневмоцефалия; закупорка системы из-за перегиба трубки или закупорки трубки или порта сгустками крови или костными частицами и отсоединение системы.
Эти осложнения, а также постоянный или повторяющийся субдуральный выпот или неадекватное размещение порта для эвакуации могут потребовать последующего хирургического вмешательства, например, необходимости изменения положения порта, установки второго порта, чрескожной аспирации иглой или трепанации черепа.
Иногда общие осложнения могут представлять серьезный риск, и их следует лечить как таковые. Важно ознакомиться с маркировкой продукта, чтобы получить полную информацию о безопасности, потенциальных осложнениях и противопоказаниях, а также полное объяснение предупреждений и мер предосторожности.
.
