Пузырчатка > Клинические протоколы МЗ РК
Войти
Открыть/Свернуть
О проекте
- Что такое MedElement
- Новости
- Наша команда
- Партнерская программа
- Принять участие, помочь проекту
- Рекламодателям
- Контакты
Электронная клиника
- Автоматизация клиник
- Автоматизация клиник ВРТ
- Автоматизация стоматологий
- Для частной практики
- Автоматизация аптек
- Автоматизация блока питания
- Войти
Для пациентов
- Поиск врача и клиники (Казахстан)
- Поиск врача и клиники (Россия)
- Поиск врача и клиники (Узбекистан)
- Поиск врача и клиники (Беларусь)
- Запись на прием онлайн
- Отзывы пациентов
- Электронный кабинет пациента
- Пользовательское соглашение
- Полезная информация
Справочники
Вульгарная пузырчатка: как передается, диагностика, лечение
Обыкновенная (вульгарная) пузырчатка — это заболевание с возникновением пузырей на слизистых оболочках и коже.
С течением болезни пузыри лопаются, образуя на пораженных участках эрозии ярко-малинового цвета. Вульгарная пузырчатка обладает аутоиммунным механизмом развития, пузыри могут увеличиваться, объединяться, образовывать крупные эрозии. Поражение кожи распространяется на окружающие ткани. Давайте рассмотрим, какие причины, пути передачи, симптомы, методы диагностики и лечения заболевания.
О вульгарной пузырчатки
Вульгарная пузырчатка – это аутоиммунная болезнь. Выражается в появлении пузырьков, локализация – слизистые кожи. Образования со временем вскрываются, становясь эрозиями ярко-красного цвета. Вульгарная пузырчатка выражается в увеличении и слиянии эрозий с появлением больших пораженных участков.
Вульгарная пузырчатка (обыкновенная) – это заболевание, при котором на внешне нормальной и неизмененной коже появляются внутриэпидермальные пузыря. Поражает как наружные кожные покровы, так и слизистые. Патологический процесс, определяющий появление пузырей при вульгарной пузырчатке называется акантолиз.
Это разрушение межклеточных связей в эпителии, что создает условия для формирования заполненной жидкостью полости.
👨🏻⚕️ Чаще всего проявляется у людей в возрасте 30-60 лет, но описаны случаи возникновения даже у маленьких детей. Если не проводить адекватную терапию в течение 1-2 лет может привести к гибели человека.
Историческая справка
Первоначально о дерматологических заболеваниях специалисты не знали практически ничего. При этом термин «пузырчатка» применялся ко всем поражениям слизистых и кожи, которые сопровождались акантолизом, образованием пузырьков и отслойкой покровов с развитием гноящихся язв. Однако в 1964 году в одном из медицинских журналов была опубликована статья, которая изменила понимание врачей о рассматриваемой болезни, а также подход к ее диагностике и лечению.
Именно с этого времени присутствие в плазме крови пациентов антител к десмоглеинам стало главным критерием выявления пузырчатки. Кстати, в 1971 году вышла еще одна статья, в которой подробно исследовалась аутоиммунная природа и механизм развития этого заболевания.
Причины развития
К развитию недуга приводит дисфункция иммунитета. Вследствие, вырабатываются антитела типа IgG, которые атакуют собственные клетки шиповатого слоя кожи. Десмосомы, которые связывают клетки кожных покровов между собой, разрушаются под влиянием воздействия аутоантител. Клетки теряют связи и это пространство наполняется межклеточной жидкостью, что становится причиной образования акантолитических пузырьков.
Причины вульгарной пузырчатки до сих пор не известны. Разные ученые предполагают, что болезнь может возникнуть вследствие:
- заболеваний нервной системы;
- нарушений водно-солевого обмена: задержки жидкости или большого количества солей в организме;
- заболевания эндокринных органов, в основном, надпочечников;
- изменения структуры ферментов, осуществляющих основные биохимические реакции;
- воздействие вредных факторов, таких как ультрафиолетовое излучение, ожоги, некот
фото, лечение у взрослых, симптомы
Пузырчатка – это группа буллезных дерматозов, при которых патогенетическая роль принадлежит циркулирующим аутоантителам, направленным против антигенов системы десмосомального аппарата многослойного плоского эпителия (кожа, слизистые оболочки полости рта, пищевода и других органов).
На сегодняшний день ещё точно не установленные истинные причины, которые провоцируют прогрессирование заболевания. Поэтому лечение в большинстве случаев оказывается малоэффективным. Далее рассмотрим, что это такое за болезнь, какие симптомы у взрослых, а также как выглядит пузырчатка фото и методы лечения.
Что такое пузырчатка?
Пузырчатка – это хроническое заболевание, связанное с нарушением работы иммунной системы. Оно проявляется как пузыри разного размера на внешне здоровой коже и слизистых оболочках. По своим клиническим особенностям различают четыре формы болезни – истинную (вульгарную), листовидную, эритематозную и вегетирующую. Диагноз подтверждается в том случае, если при гистологическом исследовании мазка-отпечатка, взятого с повреждённой кожи, обнаруживаются акантолитические клетки. Для лечения используются препараты общего и местного действия с содержанием глюкокортикостероидов в сочетании с одним из методов экстракорпоральной коррекции крови (гемокоррекции) – криаферезом, гемосорбцией, плазмофорезом.![]()
Особенно опасна пузырчатка новорождённых, так как она развивается стремительно, и без своевременного и адекватного лечения может привести к развитию серьёзных осложнений или даже к летальному исходу.
Но стоит отметить, что дети болеют данным заболеванием крайне редко. Намного чаще вирусную пузырчатку полости рта и конечностей, а также прочих частей тела диагностируют у людей в возрасте от 40 и до 60 лет.
Пузырчатку можно диагностировать в случае выявления акантолитических клеток, которые выявляют во взятом мазке или в составе пузырей в самом эпидермисе (при гистологическом исследовании). Для лечения пузырчатки первым делом применяют глюкокортикостероиды (назначают целый курс приема). Последнее всегда хорошо сочетается с экстракорпоральной гемокоррекцией (плазмофорез, криоафероз, гемосорбция).
- Код по МКБ 10: L10
Механизм образования пузырей
Человеческую кожу образно можно описать как водно-пружинный «матрац», покрытый своеобразной «стенкой».
В образовании пузырей «матрац» не участвует – страдает только верхний слой, эпидермис.
Состоит эпидермальный пласт из 10-20 клеточных слоев, выглядящих под микроскопом как кирпичики. «Кирпичики» второго слоя эпидермиса связаны друг с другом своеобразными «мостиками». Сверху на «стенке» находятся пластами клетки, уже не совсем похожие на клетки, напоминающие нанесенный крем. Это – чешуйки, корнеоциты, необходимые для защиты от механических, химических и физических повреждений.
👩🏻⚕️ Если под воздействием внутренних или внешних причин формируются антитела, от которых разрушаются «мостики»-десмосомы между клетками базального слоя (это называется акантолизом и видно под микроскопом), это – истинная пузырчатка. Если тканевая жидкость проникает между базальным и верхними слоями эпидер
Вульгарная пузырчатка (клиническое наблюдение атипичного случая) — Клиническая дерматология и венерология — 2011-02
- Журналы
- Клиническая дерматология и венерология
# 2, 2011
- Вульгарная пузырчатка (клиническое на.
..
Авторы:
- Ш. М. Гайнулин
Городская клиническая больница №14 им. В.Г. Короленко Департамента здравоохранения Москвы - В. Н. Гребенюк
Городская клиническая больница №14 им. В.Г. Короленко Департамента здравоохранения Москвы - М. М. Резникова
Городская клиническая больница №14 им. В.Г. Короленко Департамента здравоохранения Москвы - М. А. Цацаниди
Городская клиническая больница №14 им. В.Г. Короленко Департамента здравоохранения Москвы
Журнал:
Клиническая дерматология и венерология. 2011;9(2): 40-44
Просмотрено:
6646
Скачано:
413
Среди пузырных дерматозов выделяют четыре основные разновидности истинной пузырчатки: вульгарную (акантолитическую), вегетирующую, листовидную и эритематозную, или себорейную. Это тяжелые заболевания, порой угрожающие жизни больного [1—4].
Вульгарная пузырчатка (ВП) — самое тяжелое из них и наиболее часто встречающееся заболевание аутоиммунной природы. ВП составляет около 10% всех кожных болезней [2, 5, 6].
Дебют ВП обычно наблюдается в возрасте 40—60 лет. В последние годы ВП стала чаще регистрироваться в возрасте 18—25 лет и крайне редко возникает у детей и подростков [3, 5, 7]. При развитии патологического процесса в эпидермисе в межклеточном пространстве накапливаются антитела к межклеточной субстанции. Образующийся комплекс антиген-антитело обусловливает лизис десмосом, что лежит в основе развития акантолиза [8—10]. Акантолиз — обязательный патологический признак ВП: вследствие дистрофическ
Клинический случай вульгарной пузырчатки в пожилом возрасте | Бахмутова Э.Г., Умерова А.Р., Ткаченко Т.А., Дорфман И.П.
Фильтр по сайту
Все статьи
Актуальная проблема
Актуальная тема
Акушерство
Аллергология
Анальгетики
Ангиология
Анестезиология
Антибиотики
Болевой синдром
Болезни дыхательных путей
Болезни органов пищеварения
Вакцинация
Вакцинопрофилактика
Венерология
Витамины
Гастроэнтерология
Гематология
Гемостаз
Генетика
Гериатрия
Гинекология
Дерматология
Детская гастроэнтерология
Детская кардиология
Детская онкология
Детская урология-андрология
Детская хирургия
Детская эндокринология
Диагностика
Диетология
Дифференциальная диагностика
Женская консультация
Заболевания костно-мышечной системы
Иммунология
Иммунопрофилактика
Интервью
Интересные факты
Инфекционные болезни
История болезни
История медицины
Кардиология
Клиническая лабораторная диагностика
Клиническая фармакология
Клинические исследования
Клинические рекомендации
Клинические тесты
Клинический опыт
Клинический разбор
Колопроктология
Косметология
Лечебная физкультура и спортивная медицина
Мануальная терапия
Мнение эксперта
Наркология
Неврология
Нейрохирургия
Неонатология
Неотложная терапия
Нефрология
Общая врачебная практика (семейная медицина)
Общая гигиена
Общие статьи
Онкология
Организация здравоохранения и общественное здоровье
Ортопедия
Остеопатия
Оториноларингология
Офтальмология
Патологическая анатомия
Педиатрия
Пластическая хирургия
Пострелиз конференции
Проктология
Промышленная фармация
Профпатология
Психиатрия
Психиатрия-наркология
Психология
Психосоматика
Психотерапия
Пульмонология
Радиология
Радиотерапия
Реаниматология
Ревматология
Рентгенология
Рентгенэндоваскулярные диагностика и лечение
Сексология
Сердечно-сосудистая хирургия
Скорая медицинская помощь
Слово редактора
Смежные проблемы кардиологии
Смежные проблемы неврологии
Смежные проблемы оториноларингология
Смежные проблемы урологии
Спортивная медицина
Стоматология
Стоматология детская
Судебно-медицинская экспертиза
Терапия
Терапия боли
Токсикология
Торакальная хирургия
Травматология
Трансфузиология
Ультразвуковая диагностика
Урология
Урология.
Библиотека пациента
Физиотерапия
Физическая и реабилитационная медицина
Фтизиатрия
Фундаментальная медицина
Функциональная диагностика
Хирургия
Челюстно-лицевая хирургия
Эндоболизм
Эндокринология
Эндоскопия
Эпидемиология
Юбилейные поздравления
определение и клиническая картина патологии, методы терапии и симптомы поражения слизистых оболочек
Пузырные дерматозы – это относительно большая группа болезней, при которых в кожных покровах пациента нарушаются связи между клетками и образуются большие пузыри, являющиеся основным симптомом и причиной тяжести состояния человека. Одной из форм пузырных дерматозов является вульгарная пузырчатка
Определение
Чаще всего проявляется у людей в возрасте 30-60 лет, но описаны случаи возникновения даже у маленьких детей. Если не проводить адекватную терапию в течение 1-2 лет может привести к гибели человека.
Причины возникновения истинной пузырчатки
Описаны случаи развития болезни после выраженного воздействия УФ-лучей, ожога, приема некоторых лекарств.
Нередко пузырчатка протекает вместе с другими аутоиммунными процессами. Следовательно мы можем сделать вывод, что болезнь не заразна и не может передаваться другим людям.
Симптомы
Несколько реже первично поражается слизистая задней стенки глотки, гортани, прямой кишки, половых органов, носа. Постепенно высыпания распространяются на остальные кожные покровы.
Локализация пузырей при типичном начале вульгарной пузырчатки:
- область рядом с зевом
- боковые поверхности языка
- мягкое и твердое небо
- слизистая под языком
- слизистая десен
- внутренняя поверхность обеих губ
Симптомы поражения слизистых оболочек
- Изначально на внешне неизмененной слизистой полости рта обнаруживаются пузыри, заполненные светлым серозным содержимым
- Чаще пузырей человек не замечает, поскольку они быстро вскрываются и образуют овальные или круглые эрозии.
Очаги поражения имеют глянцевую красную поверхность, достаточно болезненны при пальпации - На периферии эрозии видны светлые обрывки поверхностного слоя эпителия – остатки вскрывшегося пузыря. Если аккуратно потянуть пинцетом за край, то эпителий будет отслаиваться и на внешне неизмененной слизистой (симптом Никольского)
- Пациента беспокоят выраженные боли, повышенное слюноотделение. Очень трудно принимать пищу и ухаживать за полостью рта
- Постепенно присоединяется вторичная инфекция, появляются гнойные налеты на эрозиях, большие кровянистые корки на губах, неприятный запах
- Осиплость голоса – бывает при поражении слизистой гортани
- Если затронута полость носа, то постоянно подсыхающие корки затрудняют дыхание и становятся причиной частых кровотечений
Симптомы поражения кожных покровов
- Начинается все с появления пузырей на неизмененной коже туловища, головы, конечностей пузырей со светлым содержимым, которое постепенно мутнеет.
Располагаются они на теле беспорядочно. Покрышка пузырей достаточно дряблая, а самые крупные из них растягиваются в нижней части под собственным давлением – симптом груши - Желтый цвет содержимого и воспаление вокруг элемента указывают на присоединение гноеродной микрофлоры
- После вскрытия пузыря формируется красная эрозия, дно которой медленно покрывается эпителием. По краям эрозии – кайма из остатков пузыря
- В зонах, где кожа подвержена трению и давлению, размер эрозий постепенно увеличивается. Они медленно покрываются серозными и гнойными корками
- Когда поражение кожи достигает крупным масштабов, организм подвергается интоксикации, что проявляется повышенной температурой тела, отсутствием аппетита, нарушением сна и выраженными болями
Если не проводить адекватную терапию, может наступить кахексия или развиваться сепсис, что приведет к гибели пациента
Диагностика вульгарной пузырчатки
Начинается все с осмотра дерматологом, который оценивает состояние человека, характерные изменения и назначает дополнительные обследования.
- Специфические симптомы
- Симптом Никольского краевой – потягивание пинцетом обрывка покрышки пузыря приводит к отслоению эпителия на внешне неизмененной коже рядом с эрозией.
- Симптом Никольского очаговый – если потереть неизмененную кожу между пузырями или эрозиями, то верхние слои легко отслаиваются.
- Симптом Асбо-Хансена – при надавливании на пузырь сверху пальцем или предметным стеклом его площадь увеличивается за счет отслаивания эпидермиса.
- Цитологическое исследование – забираются мазки с поверхности эрозий, и материал изучается под микроскопом. При пузырчатке удается обнаружить патологически измененные акантолитические клетки Тцанка.
- Гистологическое исследование – забор небольшого фрагмента пузыря или зоны рядом с эрозией.
- Иммунологические исследования.
Лечение
Поскольку этиология заболевания неизвестна, оно носит симптоматический характер.
Глюкокортикоиды
- Начинается все с ударных доз преднизолона, которые достигают 90-120 мг в сутки.
Если пациент получает лечение в течение недели, а новые пузыри продолжают появляться и эпителизация эрозий не происходит, то она увеличивается на треть. В самых тяжелых случаях возможно удвоение начальной дозы. - При достижении положительного эффекта ударные дозы отменяются, и начинается постепенное снижение количества препарата. Применяются таблетированные формы глюкокортикоидов (преднизолон, метилпреднизолон, триамцинолон, кенакорт и т.д.).
- Достигается минимальная доза, при которой не появляются новые элементы. Она называется поддерживающей и принимается пациентом амбулаторно пожизненно.
Цитостатики
Местное лечение
- Анилиновые красители (бриллиантовый зеленый).
- Препараты типа Солкосерил и Актовегин – улучшают метаболизм и ускоряют заживление тканей.
- Аэрозоль с
Pemphigus Vulgaris у взрослых: состояние, методы лечения и фотографии — обзор
52138
36
Информация для
Атлас
подпись идет сюда .
..
Изображения пузырчатки обыкновенной
Обзор
Pemphigus vulgaris (PV) — аутоиммунное заболевание кожи и рта (слизистой оболочки). Аутоантитела атакуют молекулы, которые по существу удерживают клетки кожи вместе, заставляя их разделяться и приводя к образованию волдырей.Pemphigus vulgaris характеризуется множественными поражениями или волдырями, которые не заживают или повторяются и распространяются на более крупные части тела. В 80% случаев симптомы сначала появляются во рту, и иногда только ротовая полость оказывается единственным местом поражения.
Обычно у людей с вульгарной пузырчаткой появляются множественные язвы, которые сохраняются от нескольких недель до месяцев. Образование пузырей может сопровождаться сильной болью, зудом, жжением и покалыванием. Если образуются обширные волдыри, это может привести к опасной для жизни потере жидкости, инфекции и обезображиванию.Смертельный исход от вульгарной пузырчатки крайне маловероятен в Соединенных Штатах; однако своевременность лечения имеет решающее значение.
Pemphigus vulgaris классифицируется как крайне редкое заболевание, и, следовательно, до 80% случаев диагностируются неправильно в течение 6 месяцев. При лечении поражения могут нормально зажить без образования рубцов. У большинства пациентов, получающих лечение от пузырчатки, наступает частичная или полная ремиссия в течение 2–5 лет.
Кто в опасности?
Pemphigus vulgaris поражает мужчин и женщин примерно в равной степени.Хотя иногда симптомы появляются у более молодых людей, в среднем симптомы появляются у людей в возрасте 50–60 лет. Pemphigus vulgaris может возникать у лиц любой национальности, но заболевание имеет тенденцию появляться чаще у лиц средиземноморского происхождения, евреев-ашкенази и некоторых подтипов у людей из Бразилии и Колумбии.
Pemphigus vulgaris классифицируется как ультра-сиротское заболевание (что означает, что оно очень редко), поражающее примерно 10 000–30 000 человек в Соединенных Штатах.
Признаки и симптомы
В восьмидесяти процентах случаев симптомы начинаются во рту с мягких (вялых) волдырей или эрозий, и эти симптомы часто ошибочно принимают за другие состояния полости рта.
Две трети людей, пораженных вульгарной пузырчаткой, в конечном итоге имеют поражения как на коже, так и во рту. Если их не лечить, эрозии / волдыри постепенно распространяются по увеличивающейся площади и могут осложняться тяжелыми инфекциями, метаболическими нарушениями или потерей жидкости.
Руководство по уходу за собой
Меры по уходу за вульгарной пузырчаткой следующие:
- Держите раны в чистоте — Будьте очень осторожны и не используйте агрессивные моющие средства.
- Если необходима перевязка, используйте повязки, обеспечивающие влагу и защиту, или сохраняйте кожу влажной с помощью стерильных лосьонов. Могут быть полезны силиконовые повязки, такие как те, что используются в ожоговых очагах. Бинты должны пропускать воздух, но защищать от загрязнений.
- Не прикасаться к мази и повязкам.
- Не используйте сухие или липкие повязки.
- Избегайте острой пищи (например, чеснока и лука) и орехов, которые могут облегчить симптомы.

- Мазь или крем с антибиотиком могут помочь в лечении инфекции. Антибиотик, содержащий местное болеутоляющее, может немного облегчить боль, связанную с вульгарной пузырчаткой.
- Для уменьшения боли во рту можно использовать ополаскиватели и мази для полости рта.
Обязательно проконсультируйтесь с врачом о побочных эффектах кортикостероидов и других иммуносупрессоров.
Когда обращаться за медицинской помощью
Очень важно получить точный подтверждающий диагноз как можно скорее, поэтому обратитесь к врачу, если вы обнаружите какие-либо признаки или симптомы, описанные здесь, или подозреваете, что у вас может быть пузырчатка обыкновенная.Ранняя экспертная диагностика важна, поскольку вульгарная пузырчатка, как и другие аутоиммунные заболевания, становится более устойчивой к лечению, если ее не контролировать своевременно и надлежащим образом.
Процедуры, которые может назначить ваш врач
Подтверждающий диагноз вульгарной пузырчатки устанавливается путем биопсии кожи или внутренней оболочки рта (слизистой оболочки рта).
Образец ткани отправляется на тест, называемый прямой иммунофлюоресценцией. После постановки диагноза лечение начинается с периода интенсивной терапии кортикостероидами (например, преднизоном) с целью получить контроль и подавить активность заболевания до тех пор, пока не перестанут появляться новые очаги поражения.Продолжительность этой фазы колеблется от нескольких недель до месяцев. Часто добавляется второе лекарство, чтобы снизить дозу кортикостероида и уменьшить связанные с ним побочные эффекты.
После заживления всех поражений прием лекарств можно постепенно снижать, стремясь к наименьшей дозе, которая предотвращает появление новых «вспышек» поражений.
Если пузырчатка обыкновенная не реагирует на кортикостероиды, приводит к неприемлемым побочным эффектам, обширна или быстро прогрессирует, ваш врач может добавить иммунодепрессант, лечение ВВИГ, плазмаферез или биологические агенты.
Надежных ссылок
Дополнительная информация от Международного фонда пемфигусов и пемфигоидов
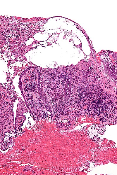
Контуры патологии — Пемфигус
Неопухоль кожи
Паттерны пузырно-пузырчатой и акантолитической реакции
Пемфигус
Тема завершена: 1 июля 2011 г.
Незначительные изменения: 11 ноября 2020 г.
Copyright: 2002-2020, PathologyOutlines
PubMed Search: Пемфигус [название] скин
просмотров страниц в 2019 г .: 19,050
просмотров страниц в 2020 г. на сегодняшний день: 16,464
Цитируйте эту страницу: Hamodat M. Pemphigus. Сайт PathologyOutlines.com. https://www.pathologyoutlines.com/topic/skinnontumorpemphigus.html. По состоянию на 18 ноября 2020 г.
Определение / общее
- Редкое ненаследственное хроническое аутоиммунное заболевание с вялыми волдырями и обнаженной кожей
- Связаны с внутренними злокачественными новообразованиями, включая тимому
Варианты:
- Краснота:
- Также называется синдромом Сенира-Ашера
- Поражает локализованную область, например, сыпь на скуловой волчанке на лице
- В остальном идентичен листовидной пузырчатке в сочетании с признаками красной волчанки
- Обычно взрослые люди среднего возраста (Clin Exp Dermatol 2009; 34: 708)
- Pemphigus foliaceus:
- Эндемик Бразилии; на португальском языке называется fogo selvagem или «дикий пожар» (Br J Dermatol 2006; 155: 446, Int J Dermatol 2005; 44: 293)
- Корки и неглубокие эрозии на здоровой коже (чаще всего туловища) с пузырями, образующимися после растирания (признак Никольского).

- Обычно щадит слизистые оболочки
- Поражения могут не выглядеть буллозными, потому что буллы заменяются корками и эрозиями
- Клинически легкая
- Паранеопластическая пузырчатка:
- Связано с лимфомой, тимомой, плоскоклеточным раком, раком бронхов, поджелудочной железы и груди
- Эрозии и пузыри кожи и полости рта
- Стоматит может быть единственным симптомом
- Лечить путем лечения опухоли
- За счет аутоантител, нацеленных на белки семейств плакинов и кадгеринов, участвующих в поддержании клеточной архитектуры и сплоченности тканей; недавно идентифицирован как альфа-2-макроглобулин-подобный-1 (A2ML1) (PLoS One 2010; 5: e12250)
- Pemphigus Vegetans:
- Редкий (1-2% случаев пузырчатки) вариант обыкновенной пузырчатки, характеризующийся бородавчатыми бляшками в области изгиба
- Полость рта обычно поражается; церебриформный или мошоночный язык является диагностическим признаком раннего вовлечения
- Сообщается о длительном употреблении героина через нос и среди ВИЧ-положительных пациентов
- Pemphigus vulgaris:
- 80% всей пузырчатки
- Слизистая оболочка полости рта; также волосистая часть головы, лицо, глаза, глотка, гортань, подмышечная впадина, пах, туловище; вовлечение ногтей
- Прямое давление на центр поражения сопровождается латеральным разгибанием по признаку Асбоэ – Хансена
- Заживление часто сопровождается поствоспалительной гиперпигментацией, но без рубцов
- Смертельно при отсутствии лечения, так как эрозии полости рта ухудшают глотание
- Смерть вызвана стафилококковой инфекцией или тромбоэмболией легочной артерии
Эпидемиология
- Возраст от 30 до 59 лет; нет гендерных предпочтений
Pemphigus vulgaris | UF Health, University of Florida Health
Определение
Pemphigus vulgaris (PV) — это аутоиммунное заболевание кожи.
Он включает образование пузырей и язвы (эрозии) на коже и слизистых оболочках.
Причины
Иммунная система вырабатывает антитела против определенных белков в коже и слизистых оболочках. Эти антитела разрывают связи между клетками кожи. Это приводит к образованию волдыря. Точная причина неизвестна.
В редких случаях пузырчатку вызывают некоторые лекарства, в том числе:
- Лекарство под названием пеницилламин, которое удаляет определенные материалы из крови (хелатирующий агент)
- Лекарства от кровяного давления, называемые ингибиторами АПФ
- Нестероидные противовоспалительные препараты ( НПВП)
Пемфигус встречается редко.Чаще всего встречается у людей среднего и пожилого возраста.
Симптомы
Примерно у 50% людей с этим заболеванием сначала появляются болезненные волдыри и язвы во рту. Затем появляются волдыри на коже. Язвы на коже могут появляться и исчезать.
Язвы на коже могут быть описаны как:
- Дренирование
- Сочленение
- Корки
- Отслаивание или легко отделяется
Они могут располагаться:
- Во рту и вниз по горлу
- На коже черепа, туловище или другие участки кожи
Осмотр и тесты
Кожа легко отделяется, когда поверхность непораженной кожи протирается сбоку ватным тампоном или пальцем.
Это называется положительным признаком Никольского.
Для подтверждения диагноза часто проводится биопсия кожи.
Лечение
В тяжелых случаях пузырчатки может потребоваться обработка ран, аналогичная лечению тяжелых ожогов. Людям с PV, возможно, придется оставаться в больнице и получать помощь в ожоговом отделении или отделении интенсивной терапии.
Лечение направлено на уменьшение симптомов, в том числе боли. Он также направлен на предотвращение осложнений, особенно инфекций.
Лечение может включать:
- Антибиотики и противогрибковые препараты для контроля или предотвращения инфекций
- Жидкости и электролиты, вводимые через вену (внутривенно), если есть серьезные язвы во рту
- Внутривенное кормление, если есть серьезные язвы во рту
- Онемение ( анестетик) леденцы для рта для уменьшения боли при язве во рту
- Обезболивающие, если местного обезболивания недостаточно
Для контроля пузырчатки необходима общая (системная) терапия, и ее следует начинать как можно раньше.
Системное лечение включает:
- Противовоспалительный препарат под названием дапсон
- Кортикостероиды
- Лекарства, содержащие золото
- Лекарства, подавляющие иммунную систему (например, азатиоприн, метотрексат, циклоспорин, циклофосфамид, микофенолят мофетил
06 или ритуксим 429
абетил). Для лечения или предотвращения инфекции можно использовать антибиотики. Иногда используется внутривенный иммуноглобулин (IVIg).
Плазмаферез можно использовать вместе с системными лекарствами для уменьшения количества антител в крови.Плазмаферез — это процесс, при котором плазма, содержащая антитела, удаляется из крови и заменяется внутривенными жидкостями или донорской плазмой.
Лечение язвы и волдырей включает успокаивающие или подсушивающие лосьоны, влажные повязки или аналогичные меры.
Прогноз (прогноз)
Без лечения это состояние может быть опасным для жизни. Тяжелая инфекция — наиболее частая причина смерти.
При лечении заболевание становится хроническим.

..
Очаги поражения имеют глянцевую красную поверхность, достаточно болезненны при пальпации
Располагаются они на теле беспорядочно. Покрышка пузырей достаточно дряблая, а самые крупные из них растягиваются в нижней части под собственным давлением – симптом груши